Behandlung Sprunggelenksarthrose – Operationsmethoden bei Arthrose des oberen Sprunggelenks
Das obere Sprunggelenk bildet die bewegliche Verbindung zwischen dem Unterschenkel (Schienbein und Wadenbein) und dem Sprungbein (Talus). Die Beweglichkeit des Rückfusses ist aber nicht nur durch dieses eine Gelenk gegeben, sondern durch die Summe eines komplexen Zusammenspiels sämtlicher Rückfussgelenke. Die zunehmende Abnützung des Gelenkknorpels, als Folge eines Unfalls oder im Rahmen einer entzündlichen Gelenkerkrankung, führt zur Arthrose im betroffenen Gelenk. Schmerzen und Bewegungseinschränkung sind die Folgen.

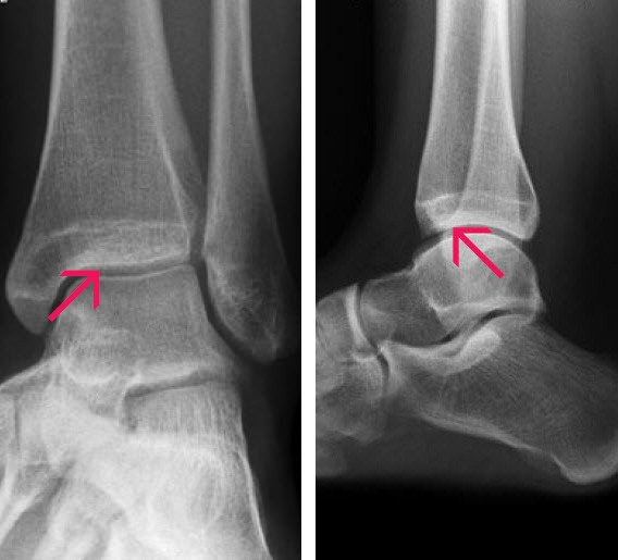
Diagnose

Links: Frontansicht
Rechts: Seitenansicht

Links: Frontansicht
Rechts: Seitenansicht
Operative Behandlung
Bei schwerer Arthrose kommt in der Regel die Versorgung durch ein Kunstgelenk oder die Versteifungsoperation infrage. Beide Operationstechniken haben ihre Vor- und Nachteile. Faktoren wie das Ausmass der Arthrose, Fehlstellung und Knochenqualität spielen ebenso eine Rolle, wie Alter, Beruf und Freizeitaktivitäten.
Der Zeitpunkt für eine Operation ist gekommen, wenn Beschwerden im Sprunggelenk durch Knorpelverlust (Arthrose) trotz medikamentöser Behandlung und Schuhanpassungen zunehmen und damit die Belastungsfähigkeit und auch die Lebensqualität nicht mehr gegeben sind.
Versteifung
Bei einer Arthrose an kleinen Gelenken des Fusses (vor allem an der Grosszehe oder an den Mittelfussgelenken) wird auch heute noch die Versteifung als Therapie praktiziert. Auch die Versteifung des Sprunggelenks (Arthrodese) liefert in der Regel gute und dauerhafte Resultate.
Die Gehfähigkeit ist durch die Blockierung des oberen Sprunggelenks nicht wesentlich beeinflusst, da die Nachbargelenke des Rückfusses einen grossen Teil der verloren gegangenen Bewegung kompensieren können. Dadurch kommt es aber zu einer vermehrten Beanspruchung dieser Nachbargelenke, die über kurz oder lang ebenfalls Schaden nehmen und schmerzhaft werden können. Erfahrungsgemäss ist aber mit diesem Verschleiss in der Regel frühestens nach zehn bis fünfzehn Jahren zu rechnen.

Links: Seitenansicht
Rechts: Frontansicht
Kunstgelenk
Zur Behandlung der Arthrose an grossen Gelenken wie Hüfte, Knie, Schulter oder Ellbogen hat sich der Gelenkersatz seit Jahrzehnten etabliert. Weil es funktionell zu den grossen Gelenken zählt, wurde schon früh versucht, auch im Sprunggelenk Kunstgelenke einzusetzen. Verschiedene Gründe haben aber noch bis Mitte der 70er-Jahre fast konstant zum Versagen dieser Kunstgelenke geführt. Neuere Designüberlegungen haben schliesslich die Weiterentwicklung der Sprunggelenkprothese hervorgebracht, wie wir sie heute kennen.



Nachbehandlung und Rehabilitation
Versteifung
Das Resultat der Versteifungsoperation hängt von der Verheilung des Knochens ab. Das ursprünglich bewegliche Gelenk muss stabil verwachsen. Dazu ist eine Ruhigstellung wichtig, die ergänzend zu den verwendeten Schrauben mit einem Gips oder einer Schienenbehandlung erfolgt.
Bei guten Heilungsfortschritten darf nach etwa 6 bis 8 Wochen zunehmend voll belastet werden. Bis dahin erfolgt eine Mobilisation an Gehstöcken. Von der Physiotherapie werden Sie entsprechend instruiert. Eine vollständige Verheilung ist auf dem Röntgenbild meist nach drei Monaten zu erkennen. Danach ist das Tragen von normalen Konfektionsschuhen wieder erlaubt.
Kunstgelenk
Die Nachbehandlung für Patienten mit einem Kunstgelenk erfordert eine wesentlich intensivere Betreuung: Sobald es die Wundverhältnisse erlauben (in der Regel nach ca. 1 Woche), wird unter Anleitung der Physiotherapie das Gelenk mobilisiert. In dieser Phase ist zwei- bis dreimal pro Woche Physiotherapie erforderlich. Sie werden ausserdem über Übungen zur Mobilisation für zuhause instruiert.
Auch wenn in vielen Fällen eine Vollbelastung des Kunstgelenks bereits früh erlaubt werden kann, empfiehlt es sich, die Gehstöcke für ebenfalls etwa sechs Wochen zu benützen. Das Endresultat wird nach vier bis sechs Monaten erreicht, in Einzelfällen dauert die Rehabilitation bis zu einem Jahr. Mit verschiedenen manuellen Techniken werden die Weichteile behandelt und das Sprunggelenk mobilisiert. Dies fördert die rasche Wundheilung und verbessert die Beweglichkeit des neu implantierten Gelenks.


Erfolgschancen
Für beide Operationstechniken sind ganz spezifische Probleme und Risiken bekannt:
Versteifung
Das Hauptrisiko bei der Versteifungsoperation ist die sogenannte Pseudarthrose. Im Normalfall verheilt eine Versteifung nach zwei bis drei Monaten. Wenn nach sechs Monaten die Knochen nicht zusammengewachsen sind, spricht man von einer Pseudarthrose. Es bleibt dann oft nichts anderes übrig, als die Operation mit erneuter Verschraubung und meist auch Anlagerung von Knochen (z. B. vom Becken) nochmals durchzuführen.
Kunstgelenk
Die Haltbarkeit eines Kunstgelenks ist durch seine mechanische Abnützung beschränkt. Auch wenn grosse Langzeitstudien noch fehlen, gehen wir aber davon aus, dass die Ergebnisse mit denen des Kniegelenkersatzes vergleichbar sind. So ist damit zu rechnen, dass nach durchschnittlich zehn bis fünfzehn Jahren bei etwa 30 Prozent der Patienten eine Wechseloperation nötig sein wird. Je nach Situation ist allenfalls die Versteifungsoperation die bessere Revisionsmethode.
Etwa ein Viertel der Patienten mit einem künstlichen Sprunggelenk gibt ausserdem an, noch gewisse Restschmerzen zu verspüren, insbesondere beim Anlaufen oder nach längerer Belastung.
Sport nach der Operation
Versteifung
Die Versteifung des Sprunggelenks (Arthrodese) ist mechanisch betrachtet die stabilere Lösung. Abgesehen von einer im Alltag kaum bemerkten Bewegungseinbusse ist die Belastbarkeit nicht eingeschränkt. Auch stärkere körperliche Belastungen oder verschiedene Sportarten sind möglich.
Kunstgelenk
Beim Kunstgelenk wird von schweren körperlichen Arbeiten in unebenem Gelände oder auch von Sportarten mit erhöhtem Risiko eines Verdrehtraumas oder von Schlägen eher abgeraten. Eine zu starke Belastung und auch Kippbewegungen führen zu einer rascheren mechanischen Abnützung. Wandern, Schwimmen oder Radfahren sind in der Regel aber wieder gut möglich.