alert-checkalert-circlealert-trianglearrowassignmentbg-s-outlinesbg-sburger-whiteburgercalendarcheckclosedownloaddropdownemailFacebook iconheartinfoInstagram iconlinkLinkedIn iconlocationlocknbk_assignmentnbk_contactnbk_drivenbk_emergencynbk_servicesnbk_specialistphonesearchshow-morex_negXing iconYouTube iconyoutube2

Praxistipps für den Arztalltag Von unseren Spezialisten zusammengestellt

Hier finden Sie konkrete Tipps für den Praxisalltag, zusammengestellt von unseren Spezialisten.

Read more about Sinnvolle Bildgebung bei Schulter- und Ellbogenverletzungen
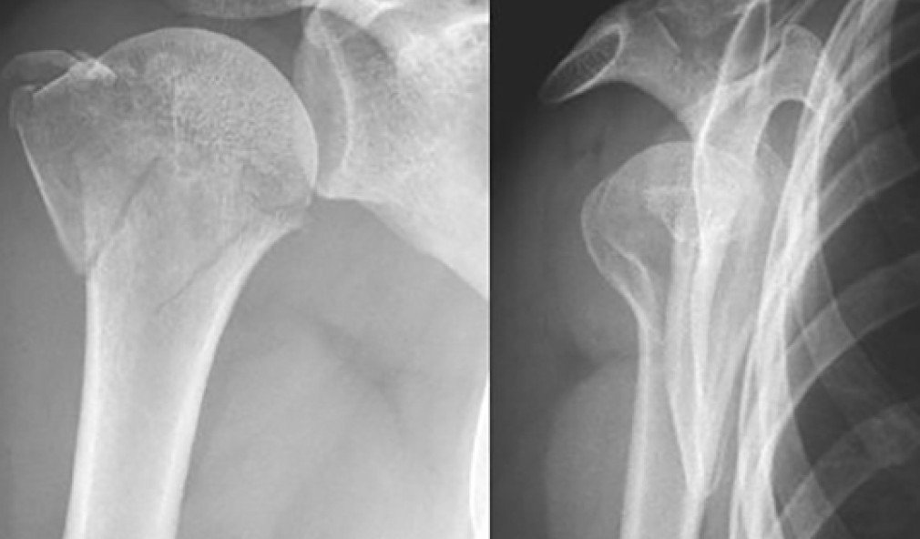
Röntgenbild proximale 3-Fragmenthumerusfraktur

Sinnvolle Bildgebung bei Schulter- und Ellbogenverletzungen

Mögliche Verletzungen an Schulter oder Ellbogen sind vielfältig. Umso wichtiger ist eine sorgfältige Diagnose, um den Patienten richtig zu versorgen. Welche initiale Bildgebung ist sinnvoll? Welche Röntgenaufnahmen braucht es, um keine Verletzung zu verpassen? Wann sind MRI- oder CT-Aufnahmen nötig? Dieser Praxistipp ist eine Wegleitung, die sowohl im Hausarztalltag hilft, den Fall von Anfang an richtig einzuschätzen, als auch allfälligen folgenden Spezialisten, die nötigen weiteren Schritte aufzugleisen.

Read more about Sinnvolle Bildgebung bei Schulter- und Ellbogenverletzungen
Read more about Return to play postcovid
Sportmedizin Schulthess Klinik

Return to play postcovid

Im Alltagsleben und Beruf ist für die meisten Patienten nach einer Erkrankung mit dem pandemischen Coronavirus (SARS-CoV-2-Virus) die Rückkehr in die Normalität durch die behördlichen Anordnungen sowie das subjektive Empfinden geregelt. Beim Leistungs- und Gesundheits-Sportler dagegen stellt sich oft die Frage, ab wann und in welcher Form die sportlichen Aktivitäten wieder aufgenommen werden können. Dies führt verständlicherweise zu Verunsicherungen. Unser Praxistipp soll Ihnen einen Leitfaden sein, um solche Patienten zielführend zu beraten.

Read more about Return to play postcovid
Read more about Meniskusverletzungen: Heutige Strategie in der Behandlung der Knorpelscheiben
Mann fasst sich ans Knie

Meniskusverletzungen: Heutige Strategie in der Behandlung der Knorpelscheiben

Im Laufe der letzten 30 bis 40 Jahre hat sich in der Strategie der Behandlung von Meniskusverletzungen einiges grundlegend geändert. Nicht zuletzt haben zu diesem Fortschritt Erkenntnisse in der Biomechanik des Kniegelenkes, die Entwicklung der arthroskopischen Chirurgie und die MRI-Diagnostik beigetragen. Unser Praxistipp zeigt, warum Meniskusriss nicht gleich Meniskusriss ist und welche Behandlungsmöglichkeiten heute infrage kommen.

Read more about Meniskusverletzungen: Heutige Strategie in der Behandlung der Knorpelscheiben
Read more about Rückenschmerzen: ein akuter Notfall? 3 Fragezeichen, 4 Red Flags und «The Big 5»
Wirbelsäulenchirurg erklärt Wirbelsäulenmodell

Rückenschmerzen: ein akuter Notfall? 3 Fragezeichen, 4 Red Flags und «The Big 5»

Notfälle in der Wirbelsäulenchirurgie sind selten. Bei welchen Rückenproblemen ist aber sofortiges Handeln oder dringend eine Operation nötig? An welchen Alarmsignalen erkennt man diese? Unser Praxistipp gibt Ihnen eine Wegleitung, wann und wie Sie im Praxisalltag sofort handeln sollten. 

Read more about Rückenschmerzen: ein akuter Notfall? 3 Fragezeichen, 4 Red Flags und «The Big 5»
Read more about Glukokortikoid induzierte Osteoporose (GIOP)

Glukokortikoid induzierte Osteoporose (GIOP)

Glukokortikoide werden auch heute noch oft zur Behandlung verschiedener muskuloskelettaler Erkrankungen eingesetzt. Dabei ist Medizinern die «Steroid-Osteoporose» als Komplikation gut bekannt, bei wiederholten Infiltrationen aber oft zu wenig bewusst. Insbesondere, wenn durch verschiedene Ärzte Glukokortikoide infiltriert werden, ist die Übersicht der kumulativen Interventionen durch den Hausarzt entscheidend, um eine Osteoporoseabklärung einzuleiten und rechtzeitig eine entsprechende Therapie oder Prophylaxe zu etablieren.

Read more about Glukokortikoid induzierte Osteoporose (GIOP)
Read more about Sturz auf die Hand: Zuerst Röntgen – wann CT oder MRI?
Bildgebung Fraktur der Basis des Hamulus ossis hamati

Sturz auf die Hand: Zuerst Röntgen – wann CT oder MRI?

Auf was ist bei einer Röntgenaufnahme bei einem Trauma an Finger, Mittelhand oder Handgelenk zu achten? Und in welchen Fällen machen eine CT- oder MRI-Aufnahme Sinn? Ein kurzer Ratgeber, wie im Einzelnen vorgegangen werden kann und wie bereits in der Praxis eine erste sinnvolle Bildgebung in die Wege geleitet wird.

Read more about Sturz auf die Hand: Zuerst Röntgen – wann CT oder MRI?

Möchten Sie regelmässig solche Praxistipps und auch weitere Informationen unserer Spezialisten rund um den Bewegungsapparat erhalten? Dann abonnieren Sie InsideInfo, unseren Newsletter speziell für zuweisende Fachpersonen.

Ich bin Zuweiser und möchte einen Patienten anmelden.

Ich bin Patient und möchte einen Termin vereinbaren.