Sinnvolle Bildgebung bei Schulter- und Ellbogenverletzungen
Mögliche Verletzungen an Schulter oder Ellbogen sind vielfältig. Umso wichtiger ist eine sorgfältige Diagnose, um den Patienten richtig zu versorgen. Welche initiale Bildgebung ist sinnvoll? Welche Röntgenaufnahmen braucht es, um keine Verletzung zu verpassen? Wann sind MRI- oder CT-Aufnahmen nötig? Dieser Praxistipp ist eine Wegleitung, die sowohl im Hausarztalltag hilft, den Fall von Anfang an richtig einzuschätzen, als auch allfälligen folgenden Spezialisten, die nötigen weiteren Schritte aufzugleisen.
Die Vielfalt der Verletzungen an Schulter und Ellbogen verlangt unterschiedliche Abklärungsverfahren. Für die Auswahl der entsprechenden Diagnose-Verfahren sind eine Mindestkenntnis der zu erwartenden Verletzung eine Voraussetzung. Die Anamnese und eine klinische Untersuchung sind wegweisend für die weitere zu wählende Diagnostik. Verletzungen der knöchernen Strukturen an der oberen Extremität werden primär radiologisch abgeklärt.
Schulterverletzungen
Basisdiagnostik mit Röntgen in mindestens 2 Ebenen
Das konventionelle Röntgen in mindestens 2 Ebenen stellt die Basisdiagnostik bei der Abklärung der proximalen Humerusfraktur dar. Die Traumaserie hat sich durchgesetzt und beinhaltet eine True-ap-Aufnahme Y oder axiale Aufnahme.
Die True-ap-Aufnahme wird mit einer Oberkörperdrehung von 30 Grad zur untersuchten Seite durchgeführt. Dadurch lässt sich der Humeruskopf und das Glenoid überlappungsfrei mit gutem Blick in den Gelenkspalt darstellen (Abb. 1).
Die Y-Aufnahme entsteht senkrecht zur ap-Aufnahme. Hierbei lässt sich die Abkippung des Kalottenfragmentes oder eine Dislokation darstellen (Abb.2).

Die axiale Aufnahme zeigt im Vergleich zur y-Aufnahme weniger Überschneidungen der knöchernen Konturen. Bei akuten Verletzungen ist aber die Aufnahme erschwert, da der Arm in 60 bis 90 Grad abduziert werden muss (Abb. 3).


Weiterreichende Bildgebung wie Computertomografie
Eine weiterreichende Bildgebung wie die Computertomografie inklusive 3-D-Rekonstruktion kommt in der Regel dann zum Einsatz, wenn es darum geht zu entscheiden, ob die knöcherne Verletzung konservativ oder operativ behandelt werden soll.

Ellenbogenverletzungen
Röntgen, MRI, CT – je nach Fall
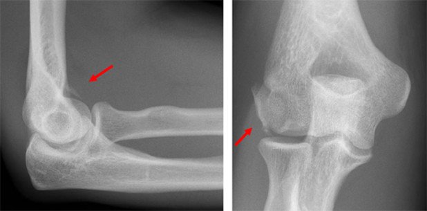
Frakturen am Ellenbogengelenk gehören auch in 2 Ebenen abgeklärt. Eine Röntgenaufnahme in der ap- und seitlichen Projektion sind zu fordern. Hiermit lassen sich die häufigsten Frakturen darstellen. Radiuskopffrakturen, Olecranon-Frakturen und distale Humerusfrakturen.
MRI-Untersuchungen kommen bei ligamentären Verletzungen zum Einsatz und sind dann zu fordern, wenn der hochgradige Verdacht auf Verletzungen der Kapselbandstrukturen besteht.


Wie an diesem Beispiel (Abb. 8) dargestellt zeigt sich eine mehrfragmentäre Radiuskopf-Fraktur, welche letztendlich zur Resektion des Radiuskopfes führte, da sie nicht rekonstruierbar war. Die intraoperative Darstellung zeigt die mehrfragmentäre Radiuskopffraktur.
Eine junge Patientin erlitt eine Ellbogenluxation, welche geschlossen in Narkose reponiert wurde. Die Bildgebung nach der Reposition zeigt keine strukturellen ossären Läsionen (Abb. 9).
Eine klinische Untersuchung der Stabilität in Narkose ist zu fordern, wurde jedoch unterlassen und die Patientin mit einer hinteren Gipsschiene nach Hause entlassen.

Bei der Vorstellung in unserer Klinik zeigte sich eine erhebliche Weichteilverletzung und in Kenntnis der Vorgeschichte und des klinischen Befundes bestand der hochgradige Verdacht auf eine komplexe ligamentäre Kapselbandverletzung. Die Indikation zur notfallmässigen MRI-Untersuchung des Ellbogens wurde gestellt.
Die komplex erlittene kapsuloligmantäre Verletzung wurde in den axialen frontalen und sagitalen Schnittbildern bestätigt. Sowohl die Flexoren als auch die Extensoren waren abgerissen; zudem waren die medialen und lateralen Kapselbandstrukturen verletzt, was in einem hochinstabilen Gelenk resultierte (Abb. 10).
Die Verdachtsdiagnose einer komplexen Kapselbandläsion konnte bestätigt werden, welche dann zur Stabilisierungsoperation führte.

Links: ulnohumerale Inkongruenz, Flexoren-/Extensoren-Abriss
Mitte: LUCL-Ruptur, MCL-Ruptur
Rechts: radiocapitelläre Instabilität, posterolaterale Rotationsinstabilität (PLRI)
Fazit für die Praxis
Die Anamnese und die klinische Untersuchung bei Schulter- und Ellbogenverletzungen sind wegweisend für die zu wählende Bildgebung.
Zusatzbildgebungen wie CT und MRI sind für spezielle Fragestellungen vorbehalten. Sie kommen dann zum Einsatz, wenn zusätzliche Informationen gewonnen werden sollten, welche die Therapie dann beeinflussen.
Autor: Dr. med. Fabrizio Moro, Stv. Chefarzt Schulter- und Ellbogenchirurgie