alert-checkalert-circlealert-trianglearrowassignmentbg-s-outlinesbg-sburger-whiteburgercalendarcheckclosedownloaddropdownemailFacebook iconheartinfoInstagram iconlinkLinkedIn iconlocationlocknbk_assignmentnbk_contactnbk_drivenbk_emergencynbk_servicesnbk_specialistphonesearchshow-morex_negXing iconYouTube iconyoutube2

News Kleine Korrektur mit grosser Wirkung für die Wirbelsäule

Kommt der Nacken dank einer Wirbelsäulenoperation wieder ins Lot, kann sich das positiv auf die gesamte Halswirbelsäule auswirken. Dies zeigt eine Studie unseres Wirbelsäulen-Teams.

Nackenbeschwerden betreffen selten nur eine einzelne Stelle. Gerät die Wirbelsäule aus dem Gleichgewicht, reagiert der ganze Körper: Haltung und Muskelarbeit verändern sich, andere Abschnitte der Wirbelsäule müssen mehr leisten und die «Arbeit» der beeinträchtigten Stellen kompensieren – zum Beispiel, wenn im Alter Bandscheiben abgenutzt sind oder die Wirbel kleine Knochenanbauten bilden. Diese Kompensationsarbeit an den eigentlich noch «gesunden» Stellen kann zusätzliche Beschwerden verursachen. Und im schlechtesten Fall auch dort eine Abnutzung vorantreiben.

Unsere neue Studie zeigt: Ein gezielter Eingriff an wenigen Wirbeln der Halswirbelsäule kann diese Kompensationsarbeit in Bereichen ausserhalb des Operationsfeldes reduzieren und wieder in Balance bringen.

Den schiefen Turm stabilisieren

Die Studie untersuchte Röntgenbilder von Patientinnen und Patienten, die an mehreren benachbarten Stellen der Halswirbelsäule von vorne operiert wurden. Dabei entfernten die Chirurginnen und Chirurgen verschlissene Bandscheiben, korrigierten die Stellung zueinander und verschraubten die betroffenen Wirbel stabil miteinander. 

Das Ergebnis ist klar: Nach dem Eingriff richtet sich der Nacken wieder natürlicher auf, und zwar nicht nur im operierten Abschnitt, sondern auch in den angrenzenden, nicht operierten Teilen der Wirbelsäule. Besonders spannend: Auch der Übergang von der Hals- zur Brustwirbelsäule wird harmonischer. Diese Zone spielt eine wichtige Rolle für Haltung und Stabilität. Wird sie entlastet, verteilt sich die Belastung günstiger und der Körper muss weniger Ausgleichsarbeit leisten.

Vergleichen lässt sich dies mit einem schiefen Turm: Ist ein Teil aus dem Lot, müssen andere Teile mehr tragen. Richtet man gezielt nach, wird das ganze Bauwerk stabiler. Und für Patienten heisst das: weniger aktive Muskelarbeit, um im Lot zu bleiben.

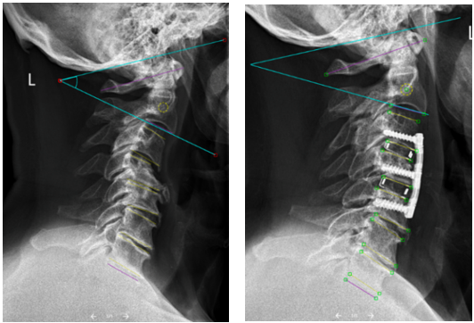
Röntgenbild Wirbelsäule
Das Röntgenbild nach der OP (rechts) zeigt weniger Kompensationsarbeit im nicht operierten Abschnitt als vor der OP (links).

KI-Tool zur präzisen Analyse

Für die Analyse nutzte das Forschungsteam Röntgenbilder aus der eigenen umfassenden radiologischen Datenbank der Schulthess Klinik. Untersucht wurden die Aufnahmen von 298 Patientinnen und Patienten – jeweils vor und nach der Operation. Zum Einsatz kam ein eigens entwickeltes KI-Tool, das die Ausrichtung der Halswirbelsäule automatisch, schnell und präzise vermisst. Diese Studie ist die erste klinische Anwendung dieses Tools. 

Mehr Orientierung für die OP-Planung

Die Ergebnisse sind nicht nur direkt für Patientinnen und Patienten relevant, sondern auch für Chirurginnen und Chirurgen. Die Studie beschreibt einen klaren, dreistufigen Analyserahmen für die Operationsplanung. Entscheidend ist dabei der Blick aufs Ganze: Nicht nur der operierte Abschnitt zählt, sondern das Zusammenspiel der gesamten Halswirbelsäule. Das unterstützt eine präzisere Planung, immer mit dem Ziel, bestmögliche Resultate zu erzielen.

Forschung, die Wissen weiterträgt

Die Arbeit entstand im Rahmen einer internationalen Zusammenarbeit. Einen zentralen Beitrag zur Studie leistete Dr. med. Marco Manzetti, der im Rahmen eines AO-Spine-Fellowships mehrere Monate an der Schulthess Klinik tätig war. Die Schulthess Klinik ist eines von fünf AO-Spine-Zentren in der Schweiz und engagiert sich aktiv in Forschung, Lehre und Weiterbildung in der Wirbelsäulenchirurgie. Prof. Dr. med. Markus Loibl, Chefarzt Wirbelsäulenchirurgie, ist zudem bei AO Spine als Education Officer für die Weiterbildung in Europa und im südlichen Afrika verantwortlich.

Zur vollständigen Studie

Unsere Spezialisten