alert-checkalert-circlealert-trianglearrowassignmentbg-s-outlinesbg-sburger-whiteburgercalendarcheckclosedownloaddropdownemailFacebook iconheartinfoInstagram iconlinkLinkedIn iconlocationlocknbk_assignmentnbk_contactnbk_drivenbk_emergencynbk_servicesnbk_specialistphonesearchshow-morex_negXing iconYouTube iconyoutube2

Behandlung Schultersteife – Frozen Shoulder – Adhäsive Kapsulitis

Die Frozen shoulder ist eine schmerzhafte Einschränkung der aktiven und passiven Beweglichkeit der Schulter. Ursächlich hierfür ist eine Entzündung der Gelenkschleimhaut und Gelenkkapsel. Im weiteren Verlauf kommt es zur Kapselverdickung mit anschliessender Kapselschrumpfung. Unterschieden wird die primäre oder idiopathische Schultersteife von der sekundären Form. Die Erkrankung tritt häufig zwischen dem 40. und 70. Lebensjahr auf und Frauen sind etwas häufiger betroffen als Männer.

Symptome und Ursachen

Die Ursache der primären Form ist nicht bekannt, gehäuft tritt diese in Verbindung mit Diabetes, Schilddrüsenerkrankungen oder Fettstoffwechselstörungen auf. Die sekundäre Form ist Folge einer anderen Schultererkrankung (z. B. Kalkeinlagerung, Sehnenverletzung, Impingement, Arthrose, Knochenbrüche oder Infektionen).


Typisch ist ein langsamer Beginn, bei dem anfänglich der Schmerz (Tag und Nacht) im Vordergrund steht. Anschliessend entwickelt sich eine Bewegungseinschränkung, vor allem das Heben des Armes und die Aussenrotation ist betroffen. Die Erkrankung verläuft in 3 Stadien: Entzündungsphase, Einsteifungsphase und Auftauphase. Der Zeitraum der einzelnen Phasen ist individuell sehr unterschiedlich und kann 12 bis 36 Monate dauern.

Diagnose

Die Diagnose der Frozen shoulder wird häufig durch das ärztliche Gespräch (Anamnese) gestellt. Sonographisch und radiologisch müssen sekundäre Ursachen ausgeschlossen werden. Im MRI (Magnet-Resonanz-Tomogramm) kann die Entzündung der Gelenkschleimhaut/-kapsel sowie die Kapselschrumpfung gesehen werden.

MRI Befund Frozen Shoulder
Das MRI-Bild zeigt einen normalen Befund: Die beiden Pfeile markieren das normale Verteilvolumen des Kontrastmittel im Gelenk
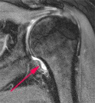
MRI Frozen Shoulder
Dieses MRI-Bild zeigt eine deutliche Verringerung des Volumens, in dem sich das Kontrastmittel verteilen kann. Die Kapsel ist geschrumpft und schränkt dadurch die Beweglichkeit des Gelenkes stark ein

Konservative Behandlung

Therapeutisch steht in der ersten Phase die Entzündungshemmung im Vordergrund. Diese kann mit oralen Entzündungshemmern oder mit einer Kortisoninfiltration erreicht werden. In der zweiten Phase ist die Verbesserung der Beweglichkeit (mit Physiotherapie oder Heimübungen) anzustreben.

Operative Behandlung

Erst bei Versagen der konservativen Therapie und anhaltender Bewegungseinschränkung ohne Schmerzen ist eine operative Therapie (arthroskopische Kapselspaltung) möglich.

Ihre Spezialisten für Schultersteife

Ich bin Zuweiser und möchte einen Patienten anmelden.

Ich bin Patient und möchte einen Termin vereinbaren.