Beinverlängerung ohne externe Fixation – eine neue Technik
Die interne Knochenverlängerung mit dem magnetgetriebenen Marknagel Precice (Nuvasive) hat sehr viele Vorteile gegenüber der Behandlung mit dem Fixateur externe. Sie kann aber die Korrekturmöglichkeiten mit dem Fixateur von komplexen mehrdimensionalen Fehlstellungen nicht ersetzen. Mit unserer Erfahrung – sowohl auf dem Gebiet der inneren wie auch der äusseren Knochenverlängerung – kann man diese aber sinnvoll kombinieren.
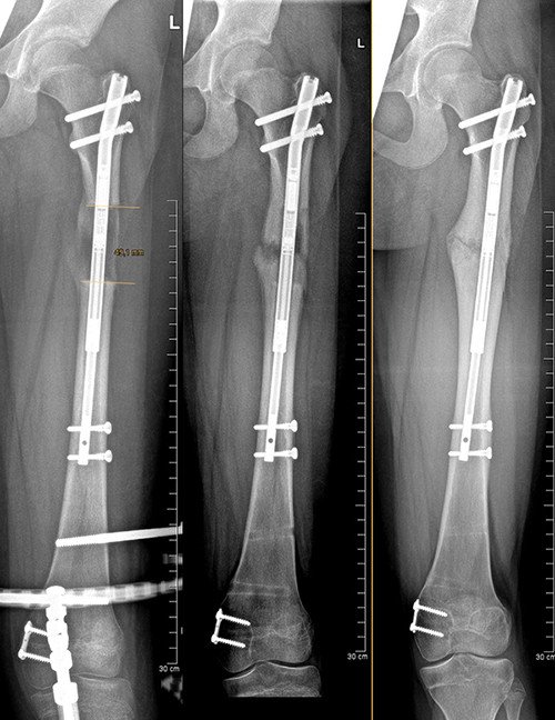
Dieses Beispiel zeigt eine bisher nicht beschriebene Kombination dieser Techniken. Bei diesem Mädchen besteht eine angeborene Längsfehlbildung des rechten Oberschenkels mit einer Differenz von 5 cm und eine X-Beinfehlstellung sowie auch eine Aussendrehung des Knochens. Zudem besteht eine beträchtliche Instabilität des Kniegelenkes aufgrund seit Geburt nicht vorhandener Kreuzbänder. Dies würde bei einer Verlängerung des Beines zu einer Luxation (Verrenkung) des Kniegelenkes führen können, die kaum behandelbar wäre.
Wir haben in dieser Situation daher den Oberschenkel mit dem Precice Nagel verlängert und gleichzeitig die Torsion korrigiert. Gleichzeitig haben wir aber auch das Knie mit einem Fixateur vor der Luxation geschützt und ein kleines Plättchen zur Wachstumslenkung an der Wachstumsfuge am Oberschenkel angebracht. So konnten die jeweiligen Vorteile der Verfahren perfekt genutzt werden, mit einem hervorragenden Resultat und grösstmöglichem Komfort für die Patientin.

