Kinder- und Jugendorthopädie
Jahresbericht 2024

Präzision, Innovation und Teamgeist: Mit modernsten Technologien, beispielsweise der Knochenverlängerung durch magnetgetriebenen Marknagel, setzt die Kinder- und Jugendorthopädie der Schulthess Klinik neue Massstäbe in der Extremitätenrekonstruktion. Gleichzeitig stellen wir das Kind und seine individuellen Bedürfnisse in den Mittelpunkt – unterstützt durch ein motiviertes Team.
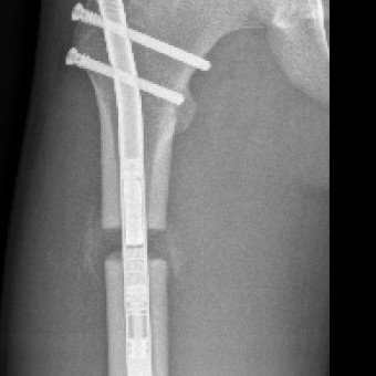
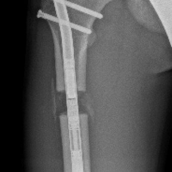
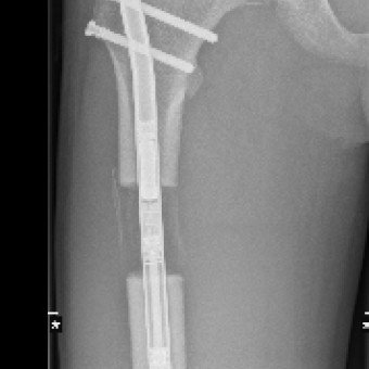
Innovation in der Knochenverlängerung
Die Knochenverlängerung mit dem magnetgetriebenen Marknagel Precice® hat sich als bedeutendste technologische Innovation in der Extremitätenrekonstruktion etabliert. Bei dieser Methode wird der getrennte Knochen durch Callusdistraktion täglich um etwa 1 mm verlängert. Im Vergleich zu externen Fixateuren ist diese vollimplantierte Lösung für Patientinnen und Patienten deutlich angenehmer und weniger schmerzhaft.
Die Ergebnisse sind ausgezeichnet und Komplikationen selten. Im schweizerischen Vergleich gehören wir auf diesem Gebiet zu den führenden Kliniken.




Hexapodfixateur: Präzision bei komplexen Fehlstellungen
Trotz der vorwiegenden Anwendung des Magnetmarknagels setzen wir bei kleinen Kindern und sehr komplexen Fehlstellungen weiterhin den Hexapodfixateur ein. Dieses externe System ermöglicht mit Hilfe einer speziellen Software die schrittweise Korrektur selbst schwierigster Fehlstellungen, ohne die Weichteilstrukturen zu gefährden.
Die operative Korrektur mit dem Hexapodfixateur erfordert ein hohes Mass an Erfahrung, Fingerspitzengefühl und sorgfältige Planung. Damit gewährleisten wir präzise Ergebnisse und höchste Sicherheit für unsere jungen Patientinnen und Patienten.

Innovativ durch Teamgeist und Pragmatismus
Eine Umfrage in unserem Team bestätigt: Innovation zeigt sich nicht nur in Technologien, sondern auch in unserer Haltung und unserer Arbeitsweise.
Einige Stärken, welche die Kinder- und Jugendorthopädie der Schulthess Klinik einmalig machen:
- Förderung von Frauen in der chirurgischen Orthopädie
- Teilzeitarbeit – auch für Chirurgen – als Teil einer modernen Arbeitskultur
- Individuelle Lösungen durch interdisziplinäre Zusammenarbeit mit den hochspezialisierten Zentren der Klinik
- Pragmatismus: Das Kind steht im Mittelpunkt – nicht die Technik oder die Diagnostik
- Teamgeist: ein junges, dynamisches Team, das sich gegenseitig unterstützt – in der täglichen Arbeit, aber auch beim Curling

Fazit
Die Kinder- und Jugendorthopädie der Schulthess Klinik vereint modernste Technologien mit einem ganzheitlichen Ansatz. Durch innovative Verfahren wie die Knochenverlängerung und die flexible Korrektur komplexer Fehlstellungen bieten wir unseren jungen Patientinnen und Patienten die bestmögliche Versorgung. Gleichzeitig fördern wir eine Kultur der Zusammenarbeit und der Menschlichkeit – für nachhaltige Erfolge und ein starkes Team.