Teilabriss des Hüftmuskels bei Hüfttotalprothese
Bei der 73-jährigen Patientin wurde aufgrund einer Hüftarthrose vor 1 1/2 Jahren auf der linken Seite eine Hüfttotalprothese eingesetzt. Nach anfänglich gutem Verlauf, kam es zu einem Stolpersturz mit anschliessend persistierenden Schmerzen auf der Hüftaussenseite und schmerzhaftem Hinken.
Bei der 73-jährigen Patientin wurde aufgrund einer Hüftarthrose vor 1 1/2 Jahren auf der linken Seite eine Hüfttotalprothese eingesetzt. Nach anfänglich gutem Verlauf, kam es zu einem Stolpersturz mit anschliessend persistierenden Schmerzen auf der Hüftaussenseite und schmerzhaftem Hinken.
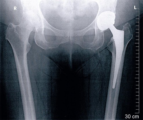
Die weiteren Abklärungen zeigten, dass die Hüftmuskulatur teilweise abgerissen war. Die Hüfte wurde revidiert. Der Teilabriss des Hüftmuskels (Musculus glutaeus medius) konnte intraoperativ bestätigt werden. Deshalb wurde die Hüftprothese wieder ausgebaut. Der Ausbau eines zementfreien Schaftes macht zumeist die Längsspaltung des Oberschenkelknochens nötig. Der Muskel wird mit starken Fäden gefasst, die durch den Oberschenkelknochen gezogen werden. Die Nähte werden zusätzlich über eine Schraube gesichert. Meistens wird auch die Hüftpfanne entfernt. Zum einen kommt es sonst zu einem schmerzhaften Reiben zwischen dem Oberschenkelknochen und der Pfanne und zum andern wird die Pfanne meist sicherheitshalber entfernt, um eine evtl. vorhandene Infektion antibiotisch wirkungsvoll behandeln zu können (mit einem zurückgelassenen Implantat ist eine antibiotische Behandlung meistens schwierig).
Die Hüfte wird dann 8 Wochen in diesem Zustand belassen. Während dieser Zeit kann ein Patient, je nach Alter, einige Schritte gehen oder ist manchmal auch auf einen Rollstuhl angewiesen. Falls er im Rollstuhl nach Hause kann, wird dies nach ca. 2 Wochen der Fall sein. Ansonsten bemüht sich unser Case Management, einen Platz zu finden bis eine gewisse Selbstständigkeit erreicht ist oder bis zum Wiedereinbau.
Beim Wiedereinbau wurde bei der Patientin erneut ein zementfreier Schaft eingesetzt. Die Pfanne, welche meistens ein luxationssicheres Modell ist, wurde hier mit Knochenzement im Beckenknochen fixiert. Bei der Revisions-Operation zeigte sich, dass der Muskel wieder vollständig angewachsen war. Die Hüfte ist dann sofort voll belastbar. Zwei Monate später ist die Patientin mit dem Verlauf zufrieden, sie ist gut gehfähig, es ist kein Hinken mehr vorhanden.


