Extrakorporale fokussierte Stosswellentherapie (ESWT) Erfolgreicher Einsatz bei ausbleibender Knochenheilung am Fersenbein
Die 59-jährige, sportliche Patientin litt seit längerem an starken Druckbeschwerden in geschlossenen Schuhen sowie belastungsabhängigen Schmerzen an der Rückseite der rechten Ferse. Ursache war ihr ausladendes Fersenbein mit nun chronischer Entzündung im Ansatzbereich der Achillessehne, was als Haglund-Ferse bezeichnet wird.
Nach Versagen der konservativen Therapien und mittlerweile grossem Leidensdruck wurde als Lösung die Durchführung einer Kelly-Keck-Osteotomie vorgeschlagen. Hierbei handelt es sich um eine Operation, bei welcher zur Verkleinerung des Fersenbeins ein Knochenkeil aus diesem entnommen wird. Die Druckentlastung leitet das Abheilen der Entzündung ohne Eingriff an der Achillessehne selbst ein, was in der Regel zur Beschwerdefreiheit führt.
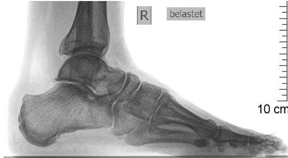
Nach diesem Eingriff ist eine Ruhigstellung des Fusses in einer Unterschenkelschiene mit Teilbelastung von 15 kg an Gehstöcken für sechs Wochen notwendig, damit der mit Klammern fixierte Knochen zusammenwachsen kann. (Abb. 2) Der Eingriff, der in Lokalanästhesie (Fussblock) durchgeführt werden kann, verlief komplikationslos; die Patientin konnte plangemäss nach zwei Nächten im Spital entlassen werden.


Nach gut zwei Wochen kam es unglücklicherweise zu einem Misstritt auf einer Treppe mit vollem Abstehen auf dem operierten Fuss. Aufgrund Schmerzen im Fersenbereich wurde eine Röntgenaufnahme durchgeführt, und eine leichte, aber noch akzeptable Verschiebung des hinteren Knochenfragments festgestellt. Die Klammern waren noch im Knochen verankert, so dass entschieden wurde, die Situation so zu belassen und nicht erneut zu operieren.

Die im Verlauf angefertigten Röntgenbilder dokumentierten eine gleichbleibende Stellung des Knochens mit langsamer Auffüllung des entstandenen Spalts mit sogenanntem Kallus (= neugebildeter Knochen). Aufgrund der verzögerten Knochenheilung als Folge der Verschiebung durfte die Patientin die Belastung erst mit vier Wochen Verspätung aufnehmen, wobei im Verlauf erneut Beschwerden auftraten. Ein weiteres Röntgenbild offenbarte, dass die Knochenheilung wider Erwarten nicht vorangeschritten und der Spalt bei unveränderten, im Prinzip guten Stellungsverhältnissen erneut deutlich sichtbar war.
Es wurde deswegen entschieden, das Fersenbein mit extrakorporalen fokussierten Stosswellen (ESWT) zu behandeln, welche die Knochenheilung anregen – die Erfolgsaussichten in dieser speziellen Situation konnten als gut eingestuft werden.
Die ESWT, welche als schmerzhaft empfunden werden kann, wurde in Lokalanästhesie durchgeführt; die Behandlung selbst dauerte etwa 10 Minuten und fand im Fusszentrum statt. Nach der ESWT wurde Schonung empfohlen; die Belastung des Fusses in einem Schuh mit stabiler Sohle war aber weiterhin erlaubt.
Nach vier Wochen erschien die mittlerweile fast beschwerdefreie Patientin vereinbarungsgemäss zu einer Röntgenkontrolle: Erfreulicherweise zeigte sich nun eine vollständige knöcherne Durchbauung des Knochenschnitts, womit auf eine zweite Behandlung, wie diese zunächst vorgesehen worden war, verzichtet werden konnte. Im weiteren Verlauf traten keine Probleme mehr auf, die sportlichen Aktivitäten konnten ohne Einschränkungen aufgenommen und der Fall letztlich mit gutem Ergebnis abgeschlossen werden.
