Behandlung Stosswellentherapie bei Erkrankungen am Fuss und Sprunggelenk
Stosswellen sind energiereiche Schallwellen, die mit einem speziellen Apparat erzeugt und in gebündelter Form auf die zu behandelnde Stelle am Körper abgegeben werden.
Stosswellen setzen mechanische Reize frei, verursachen lokal Veränderungen am Zellmetabolismus und führen zu einer verbesserten Gefässversorgung und Durchblutung. Verkalkungen können dadurch aufgelöst und Reparaturmechanismen in degenerativ veränderten Geweben wie z. B. Sehnen angestossen werden. Auch die Knochenheilung kann durch Stosswellen angeregt werden.
In der Fusschirurgie der Schulthess Klinik kommen vor allem fokussierte Stosswellen zum Einsatz. Durch die Fokussierung der hochenergetischen Stosswellen wird die maximale Energie im Zielgebiet gebündelt – tiefer gelegene Regionen können effizient erreicht werden. Radiäre Stosswellen wirken hauptsächlich an der Hautoberfläche und kommen bedarfsweise zusätzlich zur Anwendung.
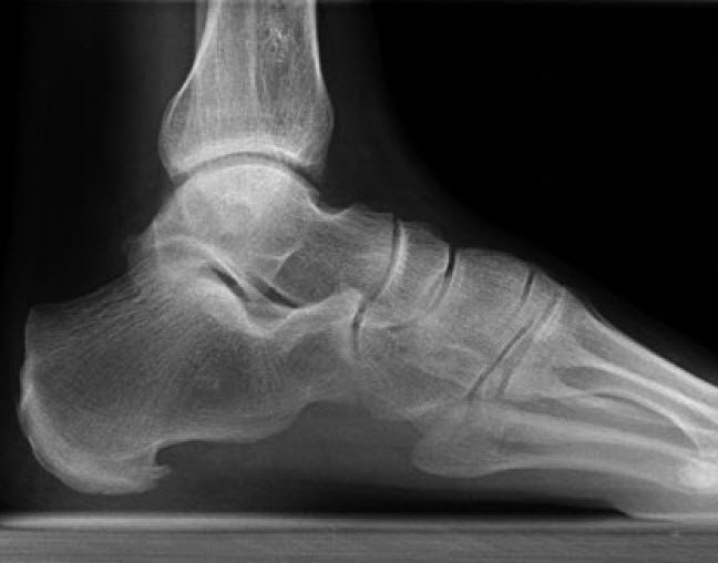
Fersensporn und Fasciitis plantaris
Beide Begriffe werden benutzt, um dasselbe Krankheitsbild zu umschreiben. Die Patienten leiden an Fersenschmerzen, hervorgerufen durch eine Entzündung oder degenerative Veränderungen am Ansatz der Sehnenplatte am Fersenbein.
Die Schmerzen treten unter Belastung auf und erschweren das Anlaufen am Morgen und nach Sitzpausen. Eine verkürzte Wadenmuskulatur ist sehr oft die Ursache – eine Überlastung, z. B. bei sportlichen Aktivitäten, der Auslöser.
Begünstigend wirken sich Fussfehlstellungen und Übergewicht aus. Oft treten die Schmerzen aber auch spontan und ohne erkennbare Ursache auf. Anders als oft angenommen ist der Fersensporn selbst nicht Ursache der Schmerzen, sondern entwickelt sich im Laufe der Zeit aufgrund der Entzündungsvorgänge bzw. des chronischen Zugs auf die Sehnenplatte.

Haglund-Ferse
Mit diesem Begriff werden Entzündungen an der Rückseite der Ferse umschrieben. Im Röntgenbild erkennt man häufig einen knöchernen Vorsprung. Ursache der Schmerzen sind entzündliche und / oder degenerative Veränderungen am Achillessehnenansatz oder eine Schleimbeutelentzündung.
Die Beschwerden treten bei Belastung und beim Anlaufen auf. Häufig bereitet das Tragen geschlossener Schuhe aufgrund der lokalen Druckausübung Probleme.
Achillodynie (Achillessehnenschmerzen)
Ursache sind degenerative Veränderungen und / oder eine Entzündung mit schmerzhafter Schwellung der Achillessehne. Typisch ist eine druckschmerzhafte spindelförmige Auftreibung am mittleren Sehnendrittel. Schmerzen werden unter Belastung und vor allem beim Anlaufen verspürt.
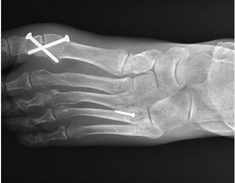
Pseudarthrose
Pseudarthrose ist der Fachbegriff für eine verzögerte oder fehlende Knochenheilung nach einem Knochenbruch. Auch nach Versteifungs- oder Korrekturoperationen kann die Knochenheilung ausbleiben. Die Stosswellentherapie regt die Bildung frischer Knochenzellen an, wodurch sie in den Spalt einwandern und sich vermehren können. In vielen Fällen, vor allem im Mittel- und Vorfussbereich, kann der instabile Knochen so geheilt werden.

Behandlung
Nach einem ersten Gespräch mit unseren Patienten in der Sprechstunde wird der schmerzhafte Bereich untersucht. Zur Ergänzung der Diagnostik wird, falls erforderlich, ein Röntgenbild angefertigt. Computer- oder Kernspintomographien sind nur selten erforderlich.
Die Stosswellentherapie wird ambulant in der Fusschirurgie der Schulthess Klinik durchgeführt. Für die Behandlungen werden 3 – 5 Termine im Abstand von 7 – 10 Tagen vereinbart. Die Behandlung ist etwas schmerzhaft, jedoch gut ohne Betäubung möglich.
Wie bei einer Ultraschalluntersuchung wird der Schallkopf auf den zu behandelnden Bereich aufgesetzt. Je nach Krankheitsbild variiert die Anzahl der abgegebenen Impulse. Begonnen wird mit einer niedrigen Energiestufe, die individuell – je nach Schmerzempfinden – variiert und gesteigert werden kann. Eine Behandlung dauert etwa 10 – 15 Minuten.

Nachbehandlung
Es ist möglich, dass es nach der Stosswellentherapie vorübergehend zu einer Rötung, Überwärmung und – sehr selten – zu einer Schwellung im therapierten Bereich kommt. Sollten die Schmerzen, was ebenfalls sehr selten ist, nach der Behandlung zunehmen, kann ein Schmerzmittel eingenommen werden. In der Regel ist der Fuss nach der Therapie normal belastbar und Sie sind fahrtüchtig.
Je nach Erkrankung ist aber eine spezifische Nachbehandlung erforderlich. Dies gilt insbesondere für Pseudarthrose-Behandlungen mit Ruhigstellung und Entlastung des Fusses, damit der Knochen ausheilen kann. Die Einzelheiten werden im ersten Gespräch im Detail erläutert.
Bei Sehnen- und insbesondere Achillessehnen-Behandlungen ist die Ausübung von Lauf- und Sprungsportarten während einiger Wochen nicht zu empfehlen, da die Gefahr eines Sehnenrisses oder -teilrisses leicht erhöht ist. Die meisten Patienten sind aber aufgrund ihrer Erkrankung ohnehin nicht in der Lage, sich in stärkerem Masse sportlich zu engagieren.

Erfolgschancen
Bei den meisten Patienten tritt nach einigen Wochen eine Beschwerdebesserung ein. Da die Stosswellentherapie Reparaturvorgänge im Körper anstösst, benötigt die Heilung Zeit.
Die Erfolgsrate kann, je nach Krankheitsbild, mit bis zu 75 Prozent beziffert werden. Es gibt aber auch Patienten, die gar nicht auf die Behandlung ansprechen. Bei anderen lassen die Schmerzsymptome zwar deutlich nach, eine komplette Beschwerdefreiheit tritt aber nicht ein.
Sollten Sie zu den wenigen Patienten gehören, die nicht auf diese Behandlungsform ansprechen, werden wir versuchen, zusammen mit Ihnen eine weiterführende Therapie zu finden und in die Wege zu leiten.