Diagnostik des Karpaltunnelsyndroms: Neurosonografie oder Elektrophysiologie?
Die Diagnose eines Karpaltunnelsyndroms wurde traditionellerweise mit Hilfe einer Elektroneurografie gestellt. In den letzten Jahren hat jedoch die Neurosonografie an Bedeutung gewonnen. Dr. med. univ. Christian Lanz erläutert die Vor- und Nachteile beider Verfahren.
Das Karpaltunnelsyndrom ist mit Abstand das häufigste Kompressionssyndrom eines peripheren Nervs, wobei hier der Medianusnerv betroffen ist. Ein Kompressionssyndrom entsteht dann, wenn in einem anatomischen Engpass wie beispielsweise in einem fibroossären Kanal – hier am Handgelenk - der Druck auf einen Nerv chronisch erhöht ist. Computertomografische Untersuchungen konnten zeigen, dass bei Patienten mit einem Karpaltunnelsyndrom der Querschnitt im proximalen Karpaltunnel kleiner ist als bei Kontrollen. Zusammengefasst kommt es in einem primär engen Karpalkanal durch Druckerhöhung zu Durchblutungsstörungen im Nerv und dadurch bedingt zu einer ischämischen Nervenschädigung, die sich zu Beginn mit einer Schädigung der Nervenhülle (Myelinscheide) manifestiert. Im weiteren Verlauf kann auch eine Schädigung des Achsenzylinders (Axons) eintreten. Das Karpaltunnelsyndrom kommt häufig beidseitig vor, wobei zunächst die dominante Hand betroffen ist. Frauen sind ausserdem häufiger betroffen als Männer. Patienten, die an einem Diabetes mellitus oder an einer rheumatoiden Arthrits leiden, entwickeln häufiger ein Karpaltunnelsyndrom. Auch Schwangere oder Radfahrer leiden oft an diesen Beschwerden.

Symptome
Das Karpaltunnelsyndrom manifestiert sich in den meisten Fällen durch ein vor allem nächtliches «Einschlafgefühl» der Hände. Teilweise tritt auch ein Kribbeln auf, wobei die vom Nervus medianus versorgten Finger, oft der Mittel- und Zeigefinger, später auch der Daumen und die Handfläche betroffen sind. Zudem berichten manche Patienten von ausstrahlenden Armschmerzen (Brachialgia nocturna). Der Schlaf ist durch die verschiedenen Beschwerden beeinträchtigt. Ein typisches Merkmal ist, dass sich das Kribbeln «ausschütteln» lässt. Tagsüber treten die Symptome vor allem beim Halten der Zeitung bzw. eines Buches auf, beim Lenken des Autos, beim Velofahren oder beim Arbeiten an der Tastatur. Zu Beginn treten die Beschwerden lediglich vorübergehend auf. In weiter fortgeschrittenen Stadien persistieren die sensiblen Störungen im Sinne einer Taubheit verbunden mit Störungen der Feinmotorik bis hin zur Lähmung von gewissen Fingerbewegungen. In sehr fortgeschrittenen Stadien kann es auch zu einer Atrophie der lateralen Daumenballenmuskulatur kommen, was den Patienten häufig nicht auffällt.
Auch wenn die Diagnose des Karpaltunnelsyndromes häufig bereits klinisch gestellt werden konnte, ist für die Bestätigung die Zusatzdiagnostik unerlässlich. Über Dekaden wurde die Diagnose elektrophysiologisch mit Messung der Nervenleitung bestimmt. Seit einigen Jahren bekommt die Nervensonografie zunehmende Bedeutung.
Diagnostik
Elektrophysiologie
Die motorische und sensible Elektroneurografie des N. medianus ist eine einfache und zuverlässige Methode, um eine Druckschädigung des N. medianus im Karpalkanal festzustellen. Durch die Schädigung der Nervenhülle (Myelinscheiden) lässt sich eine Verzögerung der Nervenleitung im Karpalkanal feststellen. Das Ausmass der Verzögerung liefert Hinweise über den Schweregrad der Nervenschädigung. Dabei können sowohl die sensorischen wie auch die motorischen Fasern unterschiedlich geschädigt sein. Zudem kann zwischen Schädigungen der Nervenhülle und der Nervenfasern selbst unterschieden werden, was prognostische Bedeutung hat.
Im Falle eines sehr leichten und leichten Karpaltunnelsyndroms ist die Zuverlässigkeit der elektroneurografischen Untersuchung etwas vermindert. Hier kann die Nervensonografie zusätzlich zu Klärung beitragen.


Nervensonografie
In den letzten Jahren hat die Nervensonografie neben der Elektroneurografie in der Diagnostik des Karpaltunnelsyndroms zunehmend an Bedeutung gewonnen. Lassen sich mit der Elektroneurografie die elektrophysiologischen Funktionen des Nervs bestimmen, so erhalten wir mit der Nervensonografie eine Bilddiagnostik. Die Untersuchung ist schmerzfrei und lässt sich bei einem mit der Methode erfahrenen Untersucher in kurzer Zeit durchführen. Die Interpretation der Befunde weist eine gewisse Erfahrungsabhängigkeit auf.
Empfohlen wird die Darstellung des Nervus medianus von der Mitte des Vorderarmes bis zum Ausgang des Karpalkanals.
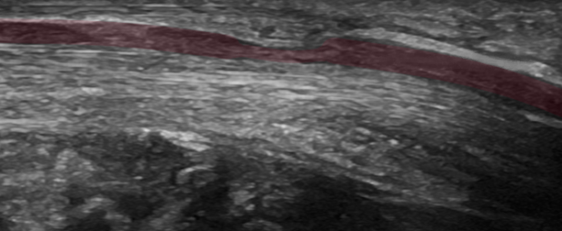
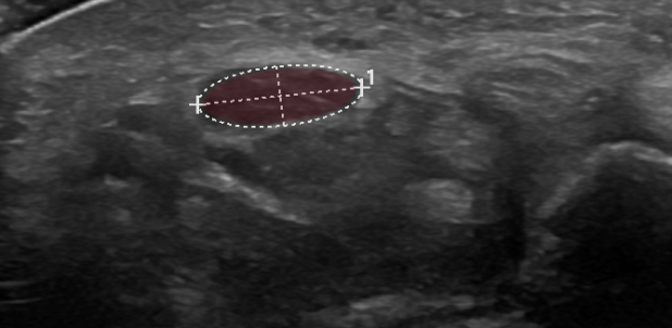
Der chronische Druck auf den N. medianus im Karpalkanal bedingt eine segmentale Nervenschwellung. Die maximale Nervenquerschnittsfläche oder Cross Sectional Area (CSA) im Bereich der Karpalkanals wird gemessen. Häufig liegt diese vor Eintritt in den Karpalkanal. Neben der Nervenschwellung ist im Bereich der Druckschädigung auch die Nervenstruktur gestört. Die normale faszikuläre Struktur des Nervs, die sich sonografisch wie eine Honigwabe darstellt, ist im Falle einer Nervenkompression meist aufgehoben und der Nerv stellt sich als homogen hypoechogen dar. Ein weiterer hilfreicher nervensonografischer Parameter beim Karpaltunnelsyndrom ist die Verhältnismessung der Nervenquerschnittsfläche am Handgelenk und in der Mitte des Vorderarmes. Neben den Nervenquerschnittsflächenmessungen wird der N. medianus im Karpalkanal im Längsschnitt dargestellt mit der Frage nach einer segmentalen (sanduhrförmigen) Kompression des Nervs. Diese Darstellung ist vor allem bei anhaltenden Symptomen trotz einer bereits erfolgten Operation des Karpaltunnelsyndroms sehr hilfreich.


Empfehlungen zur Elektrophysiologie und Nervensonografie
In einer wissenschaftlichen Arbeit (1) aus dem Jahr 2022 hat eine internationale Expertengruppe Einschätzungen und Empfehlungen zu den diagnostischen Methoden Elektrophysiologie und Nervenultraschall beim Karpaltunnelsyndrom veröffentlicht. Einige der wichtigsten Empfehlungen sind:
Elektrophysiologie und Nervenultraschall sind in der diagnostischen Zuverlässigkeit vergleichbar. Die Verwendung beider Methoden erhöht die diagnostische Treffsicherheit.
Bei der nervensonografischen Untersuchung zeigen die maximalen Querschnittsflächenmessungen (CSA) im Karpalkanal sowie das Verhältnis der Querschnittsflächenmessung Handgelenk/Vorderarm die grösste Sensitivität.
Mit beiden Methoden ist die diagnostische Sensitivität in leichten und sehr leichten Fällen deutlich geringer als bei moderater und schwerer Ausprägung.
Die Messung der CSA zeigt bei älteren Patienten (>70 J) eine geringere Sensitivität und Treffsicherheit als bei jüngeren Patienten.
Besonders hilfreich ist die nervensonografische Untersuchung bei unklaren elektrophysiologischen Befundkonstellationen.
Nervensonografisch können anatomische Varianten oder Raumforderungen im Karpalkanal festgestellt werden; dies wiederum ist für den Handchirurgen bei der Planung des Eingriffes hilfreich. Zudem kann die Zielstruktur bei Infiltrationen genauer bestimmt und Komplikationen vermieden werden.
Die Nervensonografie hat auch einen hohen diagnostischen Stellenwert bei anhaltenden Symptomen nach einer Karpaltunnelspaltung.
1: Pelosi L, Arányi Z, Beekman R, Bland J, Coraci D, Hobson-Webb LD, Padua L, Podnar S, Simon N, van Alfen N, Verhamme C, Visser L, Walker FO, Shik Yoon J, Cartwright MS. Expert consensus on the combined investigation of carpal tunnel syndrome with electrodiagnostic tests and neuromuscular ultrasound. Clin Neurophysiol. 2022 Mar;135:107-116. doi: 10.1016/j.clinph.2021.12.012. Epub 2022 Jan 6. PMID: 35074720.