Behandlung Die Knie-Teilprothese / Schlittenprothese – Die unikompartimentale Kniearthroplastik
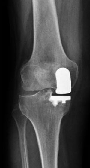
Es müssen nicht immer alle Bereiche des Kniegelenks von Arthrose betroffen sein. Ist von der Abnutzung nur der Kniescheibenteil oder der innere oder äussere Teil des Kniegelenks betroffen, kommt eventuell eine Knie-Teilprothese (auch Schlittenprothese genannt) in Frage. Eine Teilprothese bietet im Vergleich zur Totalprothese grösstenteils eine bessere Beweglichkeit sowie ein natürlicheres Kniegefühl.
Das Kniegelenk ist ein grosses Gelenk und sehr komplex aufgebaut. Es erlaubt Streck-, Beuge- und in geringem Masse auch Drehbewegungen. Kniescheibe, Gelenkkapsel, Bänder (Seitenbänder, Kreuzbänder) und Aussen- sowie Innenmeniskus gewährleisten dabei die Stabilität. Die Gelenkflächen sind von einer glatten Knorpelschicht überzogen, die ein reibungsloses Gleiten der Gelenkteile ermöglicht. Weil das Kniegelenk starken Belastungen ausgesetzt ist, ist es aber auch stark verletzungsgefährdet.
Knieprothese
In der Schweiz werden pro Jahr rund 16 000 künstliche Kniegelenke implantiert. Der Einsatz einer Knieprothese ist somit eine Routineoperation und in der Regel sehr erfolgreich. Nachdem das künstliche Gelenk implantiert ist, wird es durch die eigenen Kniebänder stabil zusammengehalten. Die Kraft der eigenen Muskulatur sorgt dabei für eine freie Streckung und Beugung des Kniegelenks. Erfahren Sie hier generell mehr über den Einsatz von Knieprothesen.


Indikation
Die Arthrose, eine degenerative und meist altersbedingte Abnützung der Knorpeloberflächen, löst Entzündungen und damit Schmerzen im Knie aus. Allmählich wird die Knochenstruktur weiter geschädigt und die Beweglichkeit stark eingeschränkt. Eine Arthrose kann nicht heilen, sie schreitet in der Regel fort, bis das Kniegelenk komplett zerstört ist. Die Abnützung des Kniegelenks ist die häufigste Ursache für den Kniegelenkersatz.
Die Arthrose kann sich auch als Folge eines entzündlichen Rheumatismus oder Jahre nach Knieverletzungen und nach Meniskusoperationen entwickeln. Für die Patientinnen und Patienten sind das Ausmass der Knieschmerzen, das Hinken und die damit verbundene Behinderung ausschlaggebend, den Arzt aufzusuchen.
Dieser Leidensdruck, weniger das Alter, ist im Entscheidungsprozess zur Implantation eines künstlichen Kniegelenks massgebend. Eine wichtige Voraussetzung ist, dass alle heute zur Verfügung stehenden konservativen und therapeutischen (nicht operativen) Massnahmen ausgeschöpft sind oder keine Wirkung mehr zeigen.


Teilprothese vs. Totalprothese
Ist von der Abnutzung nur der Kniescheibenteil oder der innere oder äussere Teil des Kniegelenks betroffen, kann ein teilweiser Gelenkersatz (Schlittenprothese / unikompartimentelle Kniearthroplastik) eingesetzt werden. Wichtige Voraussetzungen für die Indikation sind, dass sich die Arthrose hauptsächlich auf einen Abschnitt des Kniegelenks beschränkt und dass die Kniebänder noch funktionell sind.
Eine Teilprothese bietet im Vergleich zur Totalprothese grösstenteils eine bessere Beweglichkeit sowie ein natürlicheres Kniegefühl. Der Eingriff ist ausserdem weniger invasiv, da alle Bandstrukturen und die noch gesunden Gelenkteile erhalten bleiben, was die rasche Erholung nach der Operation begünstigt.
Operative Behandlung
Der Spitaleintritt erfolgt in der Regel am Operationstag. Die Operation kann entweder in Vollnarkose oder Teilnarkose durchgeführt werden und dauert in der Regel rund 60 Minuten.
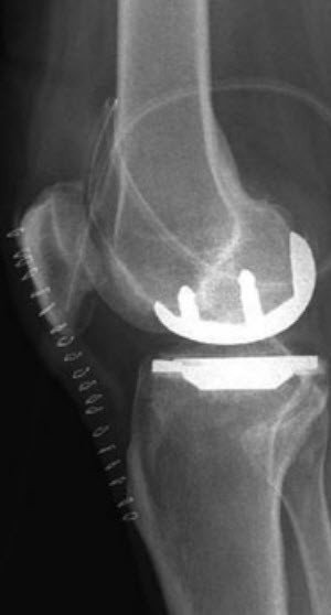
Das Kniegelenk muss dazu vorn durch einen Hautschnitt von ca. 15 cm Länge eröffnet werden. Die abgenutzten Gelenksoberflächen werden nach einem speziellen Schnittplan bearbeitet und so für den künstlichen Oberflächenersatz vorbereitet. Die exakte Grösse und die Art der Prothese werden anhand der präoperativen Röntgenbilder und der Vermessung während der Operation ausgewählt. Das Kunstgelenk wird anschliessend meist mit Knochenzement im Knochen verankert.
Arthrosebedingte Beinachsenabweichungen wie X- oder O-Beine werden während der Operation teilweise korrigiert.
Es ist unvermeidbar, dass es während und vor allem nach der Operation zu einem leichten Blutverlust kommt. Dieser ist allerdings selten so ausgeprägt, dass Bluttransfusionen notwendig sind, ausschliessen kann man einen Einsatz von Transfusionen jedoch nicht hundertprozentig.
Metallunverträglichkeit
Bei bekannter und ausgeprägter Nickel- oder Metallunverträglichkeit wird gemeinsam besprochen, ob eine allergologische Untersuchung auf eine Unverträglichkeit des verwendeten Metalls sinnvoll ist. Bei einer Teilprothese ist diese Problematik jedoch eher unbekannt. Trotzdem besteht bei einer Metallunverträglichkeit die Möglichkeit, auf eine antiallergene Knie-Teilprothese auszuweichen.
Nachbehandlung und Rehabilitation
In der Phase unmittelbar nach der Operation stehen Schmerzbekämpfung und Bewegungstherapie im Vordergrund. Eine erfolgreiche Schmerzbehandlung liegt uns sehr am Herzen. Die Schmerztherapie nach der Operation erfolgt interdisziplinär in Zusammenarbeit mit Anästhesie, Physiotherapie, Pflege und dem behandelnden Arzt. Am Schluss der Operation wird eine Lokalanästhesie injiziert, damit die Schmerzen nach dem «Aufwachen» des Gelenks bereits gedämpft sind. Mit einer konsequenten Schmerzmedikation unmittelbar nach der Operation werden die Schmerzen kontrolliert weiterbehandelt.
In der Regel erfolgt der Spitalaustritt 4 bis 6 Tage nach der Operation. Falls der Patient oder die Patientin nach der Entlassung zuhause allein auf sich gestellt ist oder viele Treppen steigen muss, empfehlen wir, unsere Nachsorgelösung oder die Hilfe von Familienangehörigen in Anspruch zu nehmen.
Eine Rehabilitation unter stationären Bedingungen ist in der Regel nicht notwendig. Auf eine ambulante Fortsetzung der Physiotherapie sollte aber auf keinen Fall verzichtet werden. Bei Fragen zu einem stationären Aufenthalt in einer Rehabilitationsklinik oder einer Kur im Anschluss an den Aufenthalt in der Schulthess Klinik steht unser Case Management gerne zur Verfügung. Eine rechtzeitige Klärung der Kostendeckung für eine solche Rehabilitation ist dringend zu empfehlen.
Physiotherapie und Bewegung
Dank der Schmerztherapie ist eine Mobilisation durch die Physiotherapie noch am Tag der Operation möglich. Mit einer aktiven und passiven Bewegungstherapie werden Verklebungen der Gleitschichten im Kniegelenk und damit eine mögliche Einschränkung der Beweglichkeit verhindert. Patientinnen und Patienten werden während des Klinikaufenthalts täglich durch die Physiotherapie betreut.
Der Gebrauch von Gehstöcken wird für 4 bis 6 Wochen empfohlen, wobei das operierte Knie in der Regel bis zur Schmerzgrenze belastet werden darf. Die Physiotherapie findet nach dem Spitalaufenthalt in der Regel zweimal pro Woche während 3 bis 4 Monaten statt.
Autofahren ist erst nach Rücksprache mit Ihrer Ärztin oder Ihrem Arzt erlaubt. Mit Krafttraining, Fitness oder Sport können Sie nach Absprache mit der Physiotherapie oder Ihrem Arzt wieder beginnen.

Keine Zahnsanierung nach Knieoperation
Absehbare Zahnsanierungen sollten vor einer Knieoperation durchgeführt werden. Eine gute und regelmässige Zahnhygiene ist wichtig. In den ersten 3 Monaten nach der Knieoperation sollten keine Zahnsanierungen durchgeführt werden, es sei denn es handle sich um eine Infektion. Vor zahnärztlichen Eingriffen ist eine gut durchgeführte Mundspülung mit einem Antiseptikum wichtig. Eine Prophylaxe mit Antibiotika vor dem Zahnarztbesuch ist nur in seltenen Fällen, bei Vorliegen einer Immunsuppression zu erwägen. (Empfehlung gemäss Übersichtsartikel Expertengruppe Infektionen swiss orthopaedics, Sendi et al, J. Bone Joint Infect 2016; 1: 42)
Erfolgschancen
Die Langzeitresultate zeigen, dass ein korrekt eingesetztes und gut eingeheiltes künstliches Kniegelenk problemlos mehr als 15 bis 20 Jahre funktionieren kann.
Die Statistiken bestätigen, dass in über 90 Prozent der Fälle die Patientinnen und Patienten mit dem künstlichen Kniegelenk sehr zufrieden sind und damit ein normales, unbeschwertes Leben führen können. Nach dieser Zeit sind es meist Verschleisserscheinungen, die zum Wechsel einzelner Teile oder des ganzen künstlichen Kniegelenks führen.
Das Ziel der Knieprothesenoperation ist, dass die Patienten wieder ohne Schmerzen und ohne zu hinken gehen können. Zudem sollen gewisse körperliche Aktivitäten wieder schmerzfrei möglich sein. Dieses Ziel wird auch in den meisten Fällen erreicht.
Von Beginn an ist wichtig, dass der Bewegungsumfang zurückgewonnen wird. Wir streben eine Beugung von über 120° an. Ein mehr oder weniger definitives Heilergebnis ist allerdings erst nach 12 bis 18 Monaten nach der Operation vorhanden.
Mit einem künstlichen Teil-Kniegelenk kann ein normales, aktives Leben geführt werden. Risikosportarten, dazu gehören auch Kontaktsportarten wie z. B. Fussball und Aktivitäten, die mit zu hohen Belastungen des Kniegelenks verbunden sind (z. B. Joggen), sollten aber gemieden werden. Viele Patienten treiben danach wieder Sport wie z. B. Velofahren, Golfspielen, Wandern und Skifahren.
Risiken
Die Knie-Teilprothesen-Operation ist keine Notfalloperation, sondern ein Wahleingriff. Sie kann in aller Ruhe vorbereitet werden. Allfällige Risiken und Komplikationen können somit auf einem Minimum gehalten werden.
Trotz guter Planung und vorbeugender Massnahmen gibt es wie bei jeder Operation auch bei der Implantation einer Knie-Teilprothese gewisse Risiken. Zu den möglichen Operationsrisiken zählen unter anderem Thrombosen, Embolien, Infektionen, Wundheilungsstörungen, Blutergussbildungen und Nachblutungen, Verletzungen von Nerven, Gefässen und anderen anatomischen Strukturen, Verklebungen mit schlechter Beweglichkeit und Funktion des Kniegelenks sowie einige Restschmerzen.
Im Aufklärungsgespräch mit Ihrer Ärztin oder Ihrem Arzt werden Sie ausführlich darüber aufgeklärt. All diese Risiken treten in weniger als 1 Prozent der Fälle auf und sollen in keiner Weise vor einer Knieprothesenoperation abschrecken.
Selten kann es nach einem Teilgelenkersatz zu einer Arthroseentwicklung in einem der nicht ersetzten Teile des Knies kommen. Dies kann durch konservative Massnahmen in den meisten Fällen verbessert werden. Bleibt der Leidensdruck trotz konservativer Massnahmen gross, kommt in speziellen Fällen der Wechsel auf eine Totalprothese infrage.