Fallbeispiele der operativen Behandlung der Hüftarthrose
Bei hohem Leidensdruck und stark eingeschränkter Lebensqualität ist der Einsatz eines künstlichen Hüftgelenks (Prothese) zu erwägen. Dabei entscheidet immer der Patient oder die Patientin, was er oder sie als Leidensdruck in welcher Stärke empfindet.
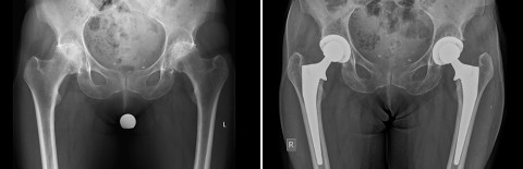
Fall 1: 74-jährige Patientin mit weit fortgeschrittener Arthrose beider Hüften
Zum Zeitpunkt der Vorstellung bei uns bestand bereits eine deutliche Einschränkung der Gehstrecke, teilweise auch nächtliches Erwachen aufgrund der Schmerzen. Die stärker schmerzende rechte Hüfte wurde über einen minimalinvasiven vorderen Zugang mit einem neuen Hüftgelenk versorgt. Aufgrund der positiven Erfahrung mit der Operation liess sich die Patientin 3 Monate später auch die Gegenseite operieren. Nach 3 Monaten war die Patientin wieder in der Lage, eine Städtereise ins Ausland mit längeren Gehstrecken beschwerdefrei zu absolvieren.

rechts: Röntgenbild 6 Wochen nach der zweiten Operation der linken Hüfte. Alle Komponenten wurden zementfrei im Knochen verankert
Fall 2: 60-jährige Patientin mit einer sekundären Arthrose der rechten Hüfte
Die sekundäre Arthrose der rechten Hüfte war durch eine Reifungsstörung des Hüftgelenkes (Dysplasie) bedingt. Die linke Seite war ebenfalls betroffen, jedoch weniger schmerzhaft. Durch die besondere Form des Oberschenkel-Knochens, welcher relativ steil zur Pfanne ansteigt (Valgus), war die Wahl eines Implantates erforderlich, das die entsprechende Anatomie berücksichtigt. Die Operation konnte in minimalinvasiver Technik erfolgen, durch die Wahl des korrekten Implantates wurde die patientenindividuelle Anatomie berücksichtigt.

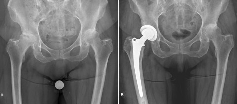
Fall 3: 60-jährige Patientin mit einer schweren rheumatoiden Arthritis (RA)
Infolge der Erkrankung kam es zu einer Durchblutungsstörung des Oberschenkelknochens. Dadurch brach dieser im Kopf-Bereich (Hüftkopfnekrose) ein, was zu stärksten Schmerzen sowie einer Verkürzung des betroffenen linken Beines von gut einem Zentimeter führte. Die Patientin war in ihrer Beweglichkeit und Mobilität nahezu komplett eingeschränkt. Nach operativer Versorgung in minimalinvasiver Technik konnte die Patientin mit vollem Körpergewicht belasten, die quälenden Schmerzen waren bereits kurz nach der Operation stark gebessert. Die Beinlänge konnte komplett ausgeglichen werden.

Fall 4: 82-jährige Patientin mit einer schweren Arthrose der rechten Hüfte
Auch hier zeigte sich wie in Fall 3 eine durchblutungsbedingte Schwächung des Knochens. Aufgrund der verringerten Knochendichte (Osteoporose) wurde die Patientin in Hybrid-Technik versorgt: Die Pfannenkomponente wurde zementfrei eingebracht, der Femurschaft wurde in zementierter Technik im Oberschenkel verankert. Die Operation wurde in minimalinvasiver Technik durchgeführt, die Mobilisation konnte mit vollem Körpergewicht erfolgen.

Fall 5: 48-jährige Patientin mit sehr komplexer Ausgangslage
Von Geburt an bestand bei der Patientin eine Reifungsstörung des Hüftgelenks, welche bereits im Kindesalter diverse Operationen notwendig machte. Im Erwachsenenalter entwickelte sich eine Hüft-Arthrose, bei welcher der entrundete Hüftkopf aufgrund der Vorerkrankung nicht mehr in der deformierten Hüftpfanne gelegen war. Gleichzeitig bestand eine deutliche Beinlängendifferenz. Während der Operation wurde der knöcherne Defekt der Hüftpfanne durch eigenen Knochen aufgefüllt und mit Schrauben stabilisiert, damit an der korrekten Position eine Pfanne implantiert werden konnte. Weiterhin wurde der Oberschenkel-Knochen um ca. 1 cm verkürzt und ein zementfreier Schaft verankert. So konnte eine anatomiegetreue Funktion der Hüfte wiederhergestellt werden.
