alert-checkalert-circlealert-trianglearrowassignmentbg-s-outlinesbg-sburger-whiteburgercalendarcheckclosedownloaddropdownemailFacebook iconheartinfoInstagram iconlinkLinkedIn iconlocationlocknbk_assignmentnbk_contactnbk_drivenbk_emergencynbk_servicesnbk_specialistphonesearchshow-morex_negXing iconYouTube iconyoutube2

Stechende Grosszehenschmerzen, die Sport und Alltag einschränken – Osteophyt Richtung Fusssohle Ein Fallbeispiel aus der Fusschirurgie

Eine gesunde, sportlich aktive Patientin litt an starken stechenden Schmerzen unter dem Grosszehenballen. Jeder Schritt, jede Belastung führte zu Schmerzen, sodass sie keinen Sport mehr treiben konnte und im Alltag von den Schmerzen zunehmend eingeschränkt war.
Erfahren Sie im folgenden Fallbeispiel, wie es zur Diagnose kam und wie wir in unserer Fusschirurgie der Patientin helfen konnten.

Die 65-jährige Patientin litt seit mehreren Jahren an einem punktuellen, sehr starken, stechenden Schmerz unter dem Grosszehenballen. Sobald sie Druck auf die schmerzhafte Stelle brachte, also zwangsläufig bei jedem Schritt, trat der Schmerz auf. Sie war daher in physiotherapeutischer Behandlung, lief in stabilen Sportschuhen, trug polsternde Schuheinlagen, schluckte entzündungshemmende Medikamente. 
Die Ursache des Schmerzes blieb aber unklar und der Schmerz unverändert. Sie reduzierte daher nicht nötige Belastungen, stoppte sportliche Aktivitäten. 

Kleines Überbein als Übeltäter

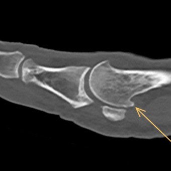
Als die Patientin bei uns in der Fusschirurgie vorstellig wurde, konnte sie den Schmerz gut an der Innenseite des Grosszehenballens lokalisieren. Bei der Untersuchung liess sich an dieser Stelle eine spitzige, feste Struktur tasten. Bei Durchsicht des mitgebrachten MRI vermuteten wir ein kleines Überbein. Dies tritt typischerweise Richtung Fussrücken auf, wurde in diesem Fall aber Richtung Fusssohle vermutet. 

Plantarer Osteophyt
Fragliche Darstellung des Überbeines im MRI
Plantarer Osteophyt
Fragliche Darstellung des Überbeines im MRI

Zur genaueren Untersuchung und Darstellung machten wir daher ein CT, das die Knochen besser darstellt.

Plantarer Osteophyt
3D-Darstellung des Fusses mit Überbein
Plantarer Osteophyt
3D-Darstellung des Fusses mit Überbein

Solche Überbeine werden in der Fachsprache als Osteophyten bezeichnet und bilden sich bei beginnenden Arthrosen. Dass diese in eine schmerzhafte Richtung nach unten wachsen ist sehr selten. 

Aufgrund des starken Leidensdrucks schlugen wir der Patientin vor, diesen Befund baldmöglichst entfernen zu lassen. Den kleinen Eingriff konnten wir ambulant in Lokalanästhesie, d.h. im Fussblock durchführen.

Intraoperativ konnten wir das Überbein problemlos darstellen und komplett entfernen. 

Entfernung des Überbeins bringt Schmerzbefreiung

Nach Abheilung der kleinen Operationswunde war die Patientin bereits 3 Wochen nach der Operation schmerzfrei und konnte wieder Sport treiben.