alert-checkalert-circlealert-trianglearrowassignmentbg-s-outlinesbg-sburger-whiteburgercalendarcheckclosedownloaddropdownemailFacebook iconheartinfoInstagram iconlinkLinkedIn iconlocationlocknbk_assignmentnbk_contactnbk_drivenbk_emergencynbk_servicesnbk_specialistphonesearchshow-morex_negXing iconYouTube iconyoutube2

Exostose Talushals

Eine 22-jährige Elite-Rhönrad-Gymnastin stellt sich aufgrund seit 2 ½ Monaten bestehenden Schmerzen am rechten oberen Sprunggelenk vor. Damals erlitt sie bei der Ausübung ihrer Sportart ein Supinationstrauma. Die Schmerzen treten nach längerem Gehen und Rennen auf.

Es werden physiotherapeutische Massnahmen Entzündungsbehandlung und zur Stabilisierung des oberen Sprunggelenkes verordnet. Etwa einen Monat später erlitt die Patientin bei der Ausübung ihrer Sportart ein abermaliges Umknicken des rechten Fusses. Trotz nachfolgender Intensivierung der Physiotherapie konnten die belastungsabhängigen Schmerzen im oberen Sprunggelenk nicht gelindert werden. Die Patientin beschreibt bei gutem Stabilitätsgefühl eine Schmerzauslösung bei maximaler Streckung im rechten oberen Sprunggelenk. 

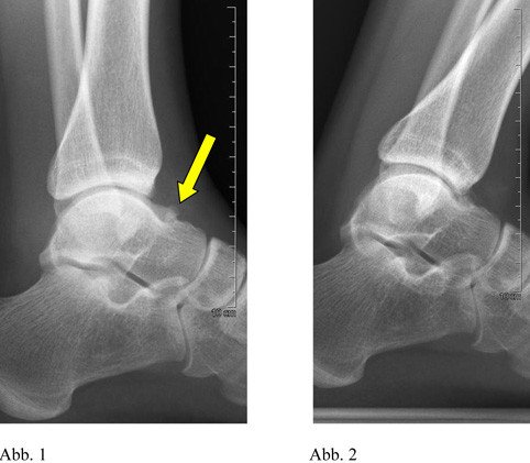
Bei der klinischen Untersuchung fällt eine normale seitengleiche Beweglichkeit im rechten oberen Sprunggelenk auf. Dabei ist eine Druckdolenz im vorderen oberen Sprunggelenksspalt auslösbar. Eine Funktionsaufnahme des Sprunggelenkes in maximaler Streckung zeigt einen knöchernen Konflikt zwischen Sprung- und Schienbein im vorderen Anteil des oberen Sprunggelenkes auf. Dieser Konflikt wird durch einen wahrscheinlich angeborenen Knochensporn verursacht (Pfeil, Abb. 1 und 2).  

Röntgenbild Knochensporn

Aufgrund dessen stellten wir die Indikation für eine arthroskopische Entfernung des störenden Knochensporns. Der Sporn konnte im Rahmen des Eingriffes, welcher nur zwei kleine ca. 3 mm lange Hautschnitte benötigte, problemlos entfernt werden (Pfeil, Abb. 3 und 4). 

arthroskopische Entfernung Knochensporn

Bereits unmittelbar nach der Operation durfte die Patientin nach Massgabe der Beschwerden belasten. Die zuvor bestandenen Beschwerden waren nicht mehr vorhanden. Bereits nach 6 Wochen konnte sie das Training wieder aufnehmen. Nach 3 Monaten konnte sie wieder vollständig am Rhönrad trainieren. 

Patientin Rhönrad

Ich bin Zuweiser und möchte einen Patienten anmelden.

Ich bin Patient und möchte einen Termin vereinbaren.