Behandlung Gebrochene Schulter – Humeruskopffraktur – Oberarmkopffraktur
Der Bruch des Oberarmkopfes, also der Kugel des Schultergelenks, wird in den meisten Fällen durch einen Sturz direkt auf die Schulter oder auf den ausgestreckten Arm verursacht. Aber auch im Rahmen einer Auskugelung, kann ein Knochenbruch die Folge sein. Insgesamt betreffen ca. 5% aller Knochenbrüche des Menschen die Kugel des Schultergelenkes. Mit zunehmendem Alter reduziert sich die Widerstandskraft des menschlichen Knochens, wodurch das Risiko bei einem Sturz einen Knochenbruch zu erleiden deutlich steigt. Präventive Massnahmen, sei es zur Sturzvermeidung (Entfernung von Stolperfallen) oder zwecks Knochenstärkung (ausgewogene Ernährung, Osteoporose-Therapie, regelmässige Bewegung, Verzicht auf Nikotin), haben eine grosse Bedeutung.
Symptome und Diagnose
Schulternahe Knochenbrüche verursachen meist starke Schmerzen und Bewegungseinschränkungen. Eine Röntgenuntersuchung und gegebenenfalls auch Zusatzuntersuchungen wie eine Computertomographie bestätigen die Diagnose und sind unabdingbar für die Wahl der richtigen Therapie.

Konservative Behandlung
Sind die Knochenfragmente wenig verschoben, kann eine nicht-operative Therapie mit kurzzeitiger Ruhigstellung und Schonung sinnvoll sein. Die Knochenheilung braucht aber mehrere Wochen und nicht selten steift die Schulter spürbar für einige Monate ein. Diese Schultersteife, auch frozen shoulder genannt, lässt sich dann mittels Physiotherapie auskurieren. In hartnäckigen Fällen kann die Schultersteife nach Ausheilung des Knochenbruches durch eine minimal-invasive Operation (Arthroskopie) erfolgreich behandelt werden.
Operative Behandlung
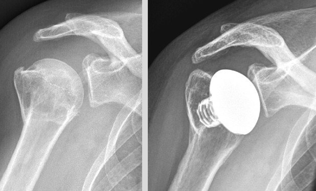
Ist es beim Unfall zu einer erheblichen Verschiebung der Knochenfragmente gekommen, sind die Chancen auf ein gutes Ausheilen und Wiedergewinnen der Schulterfunktion ohne Operation schlecht. Durch den chirurgischen Eingriff werden die einzelnen Knochenteile mittels Schrauben und Platten wieder in die korrekte Stellung und Achse zum restlichen Oberarm gebracht und fixiert. Wenige Tage nach dem Eingriff beginnt die Krankengymnastik damit das Risiko einer Einsteifung minimiert werden kann. Mit zunehmendem Alter verändert sich die Knochenqualität. Der Knochen wird fragiler und die Behandlung von Frakturen schwieriger. In gewissen Fällen kann die sichere Verankerung von Schrauben und Platten nicht mehr erreicht werden. Solchen Patienten ermöglicht das Einsetzen eines Kunstgelenks eine gute Option auf eine erfolgreiche Behandlung.

Mögliche Spätfolgen
Knochenbrüche der Oberarmkugel betreffen direkt das Schultergelenk. Daher besteht im mittel- und langfristigen Verlauf ein erhöhtes Risiko für die Entwicklung einer Schultergelenksabnützung (Arthrose). Da im Rahmen des ursprünglichen Unfalles auch die Blutversorgung der Knochenfragmente geschädigt werden kann, ist das Absterben des Knochens (Nekrose) eine weitere mögliche Komplikation. Auch in diesem Fall kann mittels Kunstgelenkversorgung eine gute Schmerzbefreiung und Wiedergewinnung der Beweglichkeit und Schulterfunktion erzielt werden.
