alert-checkalert-circlealert-trianglearrowassignmentbg-s-outlinesbg-sburger-whiteburgercalendarcheckclosedownloaddropdownemailFacebook iconheartinfoInstagram iconlinkLinkedIn iconlocationlocknbk_assignmentnbk_contactnbk_drivenbk_emergencynbk_servicesnbk_specialistphonesearchshow-morex_negXing iconYouTube iconyoutube2

News

Read more about Untersuchungskurs für ETH-Medizinstudierende
ETH Untersuchungskurs Schulthess Klinik

Untersuchungskurs für ETH-Medizinstudierende

Bereits zum zweiten Mal führt die Schulthess Klinik im Auftrag der ETH Zürich vom 18.–22. März 2019 den praktischen Kurs «Körperliche Untersuchung des Bewegungsapparates und des Nervensystems» durch. Rund 100 Medizinstudierende der ETH erlernen von unseren Ärztinnen und Ärzten die klinische Untersuchung am gesunden Menschen. Auf diese Weise erhalten sie aus erster Hand wertvolle Grundlagen für ihre spätere Tätigkeit mit den Patienten.

Read more about Untersuchungskurs für ETH-Medizinstudierende
Read more about 3. Interdisziplinäres Symposium
Interdisziplinäres Symposium Schulthess Klinik

3. Interdisziplinäres Symposium

Das «3. Interdisziplinäre Symposium» der Schulthess Klinik ging am 17. Januar 2019 äusserst erfolgreich über die Bühne. Weit über 200 Teilnehmende erhielten im Austausch mit unseren Fachärzten praxisnahe Tipps & Tricks und wurden in interaktiven Workshops über neue Diagnosemöglichkeiten, Therapien oder Operationstechniken im Bereich der Orthopädie aufgeklärt.

Read more about 3. Interdisziplinäres Symposium
Read more about Fall des Monats – Arthrose im unteren Sprunggelenk
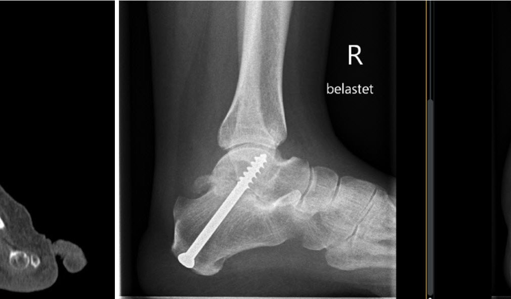
Arthrose unteres Sprunggelenk vorher nachher

Fall des Monats – Arthrose im unteren Sprunggelenk

Eine 33-jährige Verkäuferin stellt sich im Rahmen unserer Sprechstunde mit belastungsabhängigen Rückfussschmerzen vor. Diese bestünden seit sie sich bei einem Treppensturz  8 Monate zuvor eine kleine Fraktur des Fersenbeins zugezogen habe. In der mitgebrachten MRI-Untersuchung sieht man degenerative Veränderungen des unteren Sprunggelenkes, welches sich zwischen Sprungbein und genanntem Fersenbein befindet. 

Read more about Fall des Monats – Arthrose im unteren Sprunggelenk