Rückenschmerzen sind nicht immer gutartig
Vier von fünf Menschen haben mindestens einmal im Leben Rückenschmerzen. Jede dritte Arztkonsultation in der Allgemeinpraxis ist auf Rückenschmerzen zurückzuführen. In unserer Abteilung sind es zwei von drei Patienten.
Über 90 Prozent der Beschwerden sind mechanischen Ursprungs, davon rund 60 bis 70 Prozent sogenannte funktionelle Rückenbeschwerden, welche durch Überbelastung, muskuläre Dysbalance oder durch Überbeanspruchung der Bänder bedingt sind. In etwa 20 Prozent der Fälle handelt es sich um Veränderungen aufgrund von Abnützungen. Weitere fünf Prozent sind eine Folge von Frakturen bei Osteoporose oder eine Folge von Traumata. Nicht-mechanische Ursachen wie Infektionen oder entzündliche rheumatische Erkrankungen sind deutlich seltener. Neoplasien, d. h. Metastasen oder Primärtumore, bilden in ein bisschen weniger als einem Prozent der Fälle den Grund für eine Konsultation.
Warnzeichen bei Rückenschmerzen: «red flags»?
- Unerklärter Gewichtsverlust
- Keine Schmerzabnahme in Ruhe
- Nachtschmerz
- Fieber
- Nachtschweiss
- Alter > 50 oder < 20
- Blasen-Mastdarmfunktionsstörung
- Malignom in der Anamnese
Fallbeispiel
55-jähriger Patient, der seit mehreren Jahren über immer wiederkehrende Beschwerden im Bereich der Lendenwirbelsäule klagt. Die Beschwerden äussern sich in Form von blockadeähnlichen Schmerzzuständen alle sechs bis sieben Wochen. Die Schmerzen sind im Rücken lokalisiert, können auch in die Beine ausstrahlen. Nachts findet der Patient kaum Schlaf. In der Untersuchung zeigt er eine leicht verminderte globale Beweglichkeit der Lendenwirbelsäule. Beim Vornüberneigen sind die Beschwerden leicht zurückgehend, die direkte Palpation der Wirbel auf Höhe L4 / L5 ist schmerzhaft. Die neurologische Untersuchung der unteren Extremitäten fällt, ausser eines leicht abgeschwächten Achillessehnenreflexes, normal aus. Die provisorische Diagnose lautet: chronischer lumbaler Rückenschmerz bei Arthrosen der Intervertebralgelenke Höhe L4 / 5, leichtgradige Spinalkanalstenose L2 / 3 und L4 / 5.


Therapie
- Facettengelenkinfiltration unter Bildverstärker
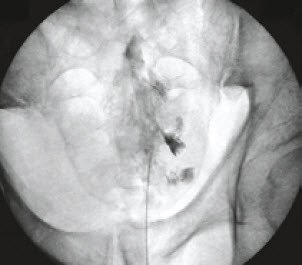
- Sakralblockade (Abb.1) unter Bildverstärker und Einleitung einer Physiotherapie
Trotz dieser Interventionen persistieren die Rückenschmerzen. Sie bereiten vor allem in Ruhe Probleme.
Da der Patient auf die bis anhin durchgeführten Therapien nicht anspricht, wird eine Blutuntersuchung durchgeführt. Sie gibt Hinweise auf einen myeloproliferativen Prozess, ein sogenanntes multiples Myelom. Wir leiten den Patienten an ein dafür spezialisiertes Spital weiter, das die Diagnose eines Knochenmarkkrebses (multiples Myelom) bestätigt.
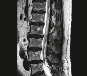
Aufgrund dieser Diagnose leiten wir eine chemotherapeutische Behandlung ein, was zu einer vollständigen Remission der Krankheit führt. In der Folge jedoch persistieren die belastungsabhängigen Rücken- / Bein-Beschwerden. Ein erneutes MRI (oben rechts) der Lendenwirbelsäule zeigt eine deutliche Einengung des Spinalkanals aufgrund von Abnützungserscheinungen bei einer sich neu gebildeten Zyste und epiduralem Fett. Drei Monate später wird der Patient in unserer Klinik mit einer Entlastungs- und Versteifungsoperation auf dem Niveau L4 / 5 operativ behandelt.
Der Patient wird weiter nachkontrolliert. Die Rücken- und Beinschmerzen sind auf ein erträgliches Mass reduziert worden.
Fazit
Nicht jedem Rückenschmerz liegt eine mechanische Ursache zugrunde. Glücklicherweise treten Tumore und Infektionen an der Wirbelsäule als Schmerzursache deutlich seltener auf. Bevor eine physikalische Therapie oder eine Schmerztherapie eingeleitet wird, muss bei über 50-jährigen Patienten mit Auftreten von Warnsymptomen bei länger andauerndem Rückenschmerz eine seltene Ursache ausgeschlossen werden.