Meniskustransplantation bei symptomatischem Scheibenmeniskus
Erfahren Sie im folgenden Fallbeispiel, warum bei einer jungen Patientin mit Scheibenmeniskus und Korbhenkelläsion der Entscheid für eine Meniskustransplantation fiel und wie eine solche Operation abläuft.
Bei der heute 21-jährigen Patientin fiel im Alter von 6 Jahren eine zunehmend eingeschränkte Kniestreckung auf. In der durchgeführten Diagnostik fand man damals einen grossvolumigen Scheibenmeniskus lateral.
Der Scheibenmeniskus ist eine angeborene anatomische Variante des Meniskus, welcher sich bei 3 bis 5 Prozent der Bevölkerung findet. Der ansonsten sichelförmige Meniskus ist dabei grösser und in Form einer Scheibe angelegt. Bei zunehmender Belastung des Kniegelenkes im Wachstum (6. bis 12. Lebensjahr) bei entsprechender Gewichtszunahme kann ein Scheibenmeniskus symptomatisch werden.
Es erfolgte damals eine offene Teilmeniskektomie mit Reduktion des zentralen Anteils und damit Formen eines anatomischen, sichelförmigen Meniskus. Anschliessend kam es zu einer deutlichen Funktionsverbesserung, aber die Patientin war nie ganz beschwerdefrei. Sport konnte sie normal ausüben.
Korbhenkelläsion sorgte für erneute Beschwerden
2015 im Alter von 15 Jahren kam es erneut zu vermehrten Beschwerden, vor allem im Bereich der Knieaussenseite. Diese waren im Verlauf konstant zunehmend unter Belastung. Es erfolgte die Diagnostik mittels MRT, wo sich eine Korbhenkelläsion des Aussenmeniskus zeigte mit Dislokation des Korbhenkelfragmentes nach intrakondylär.
Bei einer Korbhenkelläsion kommt es zu einer Rissbildung längs durch den Meniskus in Hauptrichtung der Faser, ohne dass eine Verbindung zum freien Rand des Meniskus besteht. Das vordere und hintere Fragment ist in Kontinuität zum Restmeniskus. Dieser Korbhenkel kann zur Mitte des Knies (intrakondylär) einschlagen und zu entsprechenden Blockaden oder Bewegungseinschränkungen führen.
Extern empfahl man eine Teilmeniskektomie mit Entfernung des Fragmentes. Zur Zweitmeinung stellte sich die Patientin in der Schulthess Klinik vor. In der klinischen Untersuchung fanden sich diskrete Schmerzen bei der endgradigen Streckung, welche nicht vollständig durchgeführt werden konnte. Eine positive Testung des Meniskus zeigte sich nicht. Leichte Schmerzen fanden sich über dem lateralen Kniebereich.
Die konventionelle radiologische Untersuchung zeigte eine gerade Beinachse mit ansonsten unauffälligen Befunden der Knochen. Im durchgeführten MRT zeigte sich eine wahrscheinlich ältere Korbhenkelverletzung des Aussenmeniskus mit praktisch vollständigem Meniskusverlust im Vorderhorn und Corpus-Bereich. Zudem fand sich eine beginnende Knorpelausdünnung im lateralen Kompartiment ohne höhergradige Schäden als Zeichen eines schon länger bestehenden funktionellen Verlusts des Meniskus.
Entscheid für eine Meniskustransplantation
Bei frischer Korbhenkelverletzung und jungen Patienten ist die Indikation für eine operative Versorgung mit Naht des Meniskus gegeben. Da es sich in diesem Fall jedoch um eine ältere, chronische Läsion handelte, war nicht davon auszugehen, dass eine Naht noch durchführbar war aufgrund der plastischen Verformung (Schrumpfung) und Vernarbung des Meniskus.
Im Team der Kniechirurgie besprachen wir den Fall. Unbehandelt würde diese Situation aufgrund des funktionellen Verlustes des Meniskus zu einem Kollaps des lateralen Kompartiments mit frühzeitiger Arthroseentwicklung bei der damals 17-jährigen Patientin führen. Aufgrund dieser Tatsache stellten wir die Indikation zur Meniskustransplantation mittels eines deep-frozen Allograft-Meniskus (Spender-Meniskus).
Nach Einholung der Kostengutsprache durch die Versicherung erfolgte ein MRT zum Ausmessen des Meniskus. Dieses sendeten wir der entsprechenden Firma, um ein passendes Transplantat zu finden. Nachdem ein passendes Spendertransplantat gefunden wurde, führten Dr. med. Stefan Preiss, Chefarzt Kniechirurgie, und Prof. Dr. med. Gian Salzmann, Leitender Oberarzt Kniechirurgie, die Operation durch.

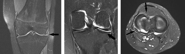
Mitte und rechts: Nach der Transplantation (Pfeil zeigt auf Implantat)
Der operative Eingriff zur Transplantation des Meniskus
Hier handelt es sich um einen arthroskopisch gestützten Eingriff. Zuerst findet eine Spiegelung des Gelenkes statt, um die Gelenksverhältnisse, sprich Kreuzbänder, Innen-, Aussenmeniskus und Knorpel, zu sichten. Anschliessend wird der Restmeniskus präpariert, bis ein stabiler Rand von 2 mm geschafft ist. Es folgt die Präparation der hinteren- und vorderen Meniskuswurzel. Um das Transplantat transossär zu fixieren, erfolgt die Anlage von zwei Bohrlöchern durch die Tibia im Bereich der vorderen und hinteren Meniskuswurzel.
Das Transplantat wird zwischenzeitlich auf dem Tisch mit Nähten im Bereich des vorderen und hinteren Endes vorbereitet. Anschliessend wird der Meniskus-Allograft eingezogen, in die anatomische Position gebracht und mit mehreren Nähten an die vorher präparierte Randleiste refixiert. Die Fäden, welche durch die Tibia gehen, werden mit 2 Schrauben festgemacht und somit das Transplantat auch im Knochen fixiert. Eine Perforation mit einer Ahle im Bereich der Naht sorgt für eine Einblutung in das Transplantat und damit eine bessere Einheilung.

Rechts: intraoperatives Arthroskopiebild der Meniskustransplantation
Volle Belastung, uneingeschränkt arbeitsfähig und Minderung des Arthroserisikos
Nach der Operation durfte die Patientin für 6 Wochen das Knie nur teilbelasten mit auch anfänglich eingeschränktem Bewegungsumfang bis 60°und täglicher CPM-Behandlung (passive Gelenkmobilisation). Nach 6 Wochen erfolgte der Belastungsaufbau und Steigerung der Beweglichkeit. 3 Monate postoperativ hatte die Patientin die volle Belastung und eine Beweglichkeit von Flexion/Extension 100/0/0° erreicht und die Arbeit wieder aufgenommen.
Ein Jahr nach der Operation berichtet die Patientin über eine bereits deutliche Verbesserung im Vergleich zu vor der Operation. Sie konnte wieder voll belasten und war uneingeschränkt arbeitsfähig bei vor allem stehender beruflicher Tätigkeit.
Der Eingriff und die Expertise der Operateure half der jungen, sportlichen Patientin mit jahrelangen Beschwerden aufgrund des fortgeschrittenen Meniskusschadens nachhaltig: Die Kniefunktion war deutlich verbessert, die Meniskusfunktion wieder hergestellt und somit das Arthroserisiko gemindert. Somit konnte sie einen grossen Teil an Lebensqualität zurückgewinnen und für die Zukunft erlangen.
Behandelndes Ärzteteam:
- Dr. med. Stefan Preiss, Chefarzt Kniechirurgie
- Prof. Dr. med. Gian Salzmann, Leitender Oberarzt Kniechirurgie