Beinverlängerung mit Precice-Marknagel bei posttraumatischer Beinlängendifferenz Ein langer Weg zurück in die Funktionalität
Zertrümmerter Oberschenkel mit Weichteildefekt und folgender Pseudoarthrose und Beinlängendifferenz – erfahren Sie im folgenden Fallbeispiel, welche Behandlung einer 22-jährigen Patientin wieder zu einer sehr guten Beinfunktion verhalf.
Anamnese
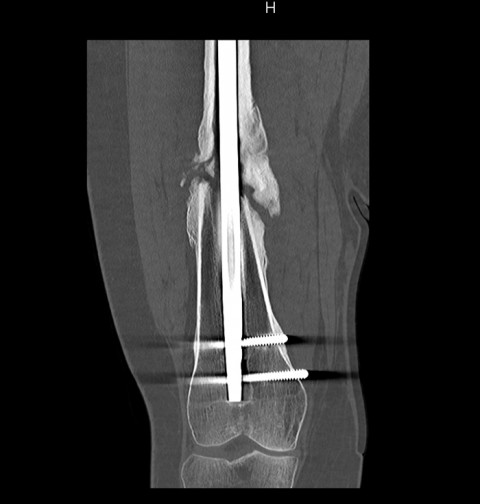
Bei einem schweren Verkehrsunfall zog sich eine 22-jährige junge Frau ein gravierendes Polytrauma zu. Durch die unverschuldete Kollision ihres Motorrades mit einem Personenwagen wurde ihr Oberschenkel auf der rechten Seite zertrümmert. Gleichzeitig kam es zu einem ausgeprägten Weichteildefekt an der Innenseite des Oberschenkels. Der Knochen wurde aufgrund der offen liegenden Knochenanteile mit einem äusseren Fixateur stabilisiert. Nach Deckung des ausgeprägten Weichteildefektes konnte ein Marknagel eingebracht werden. Leider kam es in der Folge nicht zu einer Ausheilung, sondern zu einer Auslockerung des Marknagels und einer Pseudoarthrose, welche wiederum mit einer Varusfehlstellung kombiniert war (Bild 1).
Aufgrund der komplexen Deformität mit zeitgleich vorliegender Beinlängendifferenz von -3.5 cm am rechten Oberschenkel (als Folge des ausgeprägten Knochendefektes durch die Zertrümmerung des Oberschenkelknochens) wurde die Patientin bei uns vorstellig.

Knochenheilung, Achsenkorrektur und Beinverlängerung
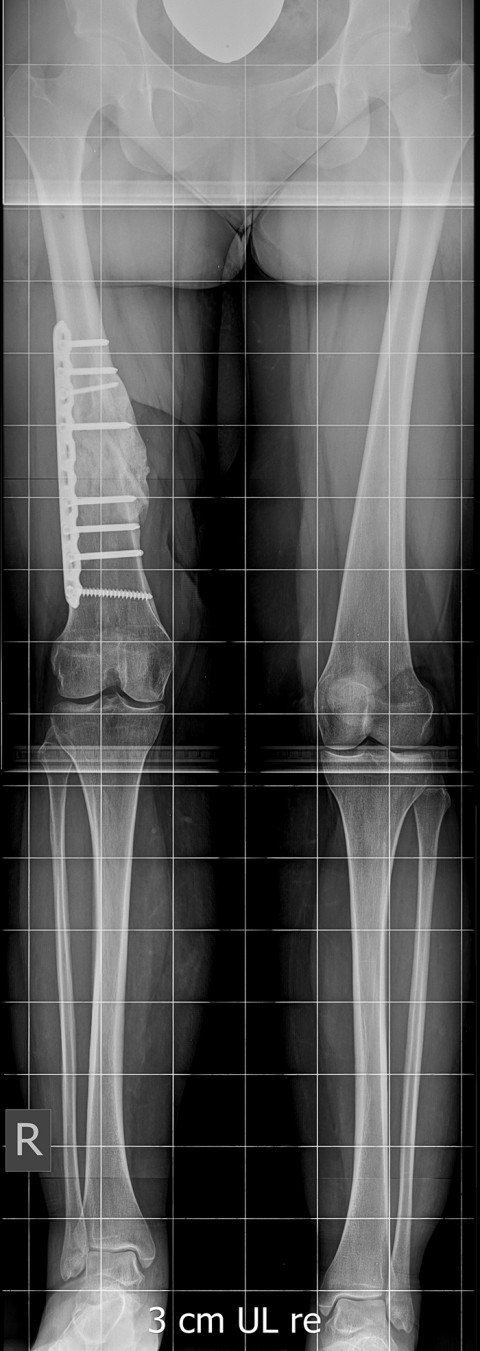
Gemeinsam mit der Patientin entschieden wir, zunächst den Nagel zu entfernen und den Oberschenkel im Bereich der Pseudarthrose zu stabilisieren, um gleichzeitig mit der Verheilung des Knochens auch die Achse korrigieren zu können. Dies gelang erfreulicherweise unkompliziert, es blieb jedoch die ausgeprägte Beinlängendifferenz aufgrund des um 3.5 cm verkürzten Oberschenkels (Bild 2).

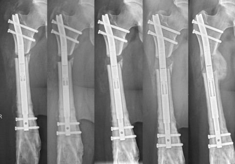
Aufgrund der nun noch persistierenden Beinlängendifferenz entschlossen wir uns zu einer Verlängerung des Oberschenkelknochens mit dem magnetgetriebenen Precice®-Marknagel. So konnten wir den Oberschenkel schlussendlich mit diesem Nagel problemlos um 3.5 cm verlängern (Bild 3).

Das Precice®-Marknagel-System
Der Precice-Marknagel der Firma Ellipse Technologies ist in diversen Längen und Breiten erhältlich, so dass er den jeweiligen anatomischen Verhältnissen angepasst werden kann. Somit sind Verlängerungen des Oberarmes, des Femurs und der Tibia möglich. Der Nagel beziehungsweise der Knochen kann bis zu 80 mm distrahiert und etwa ab dem 12. Lebensjahr eingesetzt werden.
Innerhalb des proximalen Nagelanteiles befindet sich die Magnetspindel, die mit einer Serie von Getrieben verbunden ist. Diese wiederum ist über eine Gewindestange mit dem distalen, teleskopierenden und dünneren Marknagelanteil verbunden. Die während des Verlängerungsprozesses von aussen auf einen markierten Punkt auf der Haut aufgesetzte Fernsteuerung enthält zwei rotierende Magneten. Diese werden beim Verlängerungsprozess an den im Nagel liegenden Magneten gekoppelt. Je nach Rotationsrichtung wird der Nagel in der Folge verlängert oder verkürzt.
Die Knochenverlängerung
Wir beginnen mit der Knochenverlängerung üblicherweise am 7. bis 10. Tag nach der Operation. Zu diesem Zeitpunkt ist der Patient meistens bereits aus der Spitalpflege entlassen und führt die Knochenverlängerung selbständig zu Hause durch. Üblicherweise beträgt die Verlängerungsgeschwindigkeit 1 mm pro Tag, kann aber je nach Verlauf problemlos variiert werden.
Eine anfängliche Teilbelastung an Gehstützen mit 10-15 kg ist sinnvoll, später können die Nägel auch mit vollem Körpergewicht belastet werden. Anfängliche postoperative Schmerzen minimieren sich im Verlauf, die Verlängerung ist üblicherweise nicht schmerzhaft. Erst ab etwa 3 cm Verlängerung wird der Muskelzug etwas unangenehm, eine begleitende Physiotherapie ist in jedem Fall immer erforderlich. Der Nagel wird üblicherweise ein Jahr nach der Verlängerung entfernt.

Behandlungsergebnis
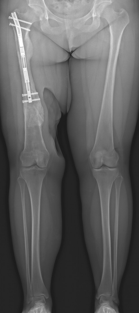
Zwar bleibt bei der Patientin an der Innenseite des Oberschenkels ein recht ausgeprägter Weichteildefekt bestehen, aber der Knochen konnte achsengerecht stabilisiert und wieder auf die gleiche Länge gebracht werden. Somit ist eine sehr gute Funktionalität des Beines wiederhergestellt (Bild 5).

Schlussfolgerung
Auch in einer komplexen posttraumatischen Situation sind mit den heutigen Möglichkeiten und einem ausgereiften Plan komplexe und schwer rekonstruierbare Problemstellungen sehr gut wieder herstellbar.