Symptomatische Coxarthrose bei fortgeschrittenem Parkinson Ein Fallbeispiel aus der Hüftchirurgie
Ein 70-jähriger Parkinson-Patient litt an einer ausgeprägten Coxarthrose (Hüftarthrose). Erfahren Sie im folgenden Fallbeispiel, wie ihm in dieser komplexen Ausgangslage ein künstliches Hüftgelenk helfen konnte. Voraussetzung dafür war, neben der Expertise des Operateurs, vor allem die enge interdisziplinäre Zusammenarbeit mit der Neurologie und der Anästhesie.
1994 wurde beim heute 70-jährigen Patienten die Diagnose eines Parkinson-Syndroms gestellt. Ab ca. 2010 kam es beim Patienten zu zunehmenden Behinderungen beim Gehen, welche durch Schmerzen im rechten Bein ausgelöst wurden. Diese besserten auch unter Physiotherapie nicht. Im Verlauf kam es trotz regelmässiger Therapie zu einer Zunahme der Blockaden und Neigung zu Stürzen. 2018 war der Patient zu Hause mit dem Rollator mobil, ausser Haus benutzte er zwei Unterarmgehstöcke.
Die Mobilität gestaltete sich aufgrund der Unsicherheit und Steuerungsschwierigkeiten bei fortschreitendem Morbus Parkinson zunehmend schwierig, sodass der Patient im Verlauf auf einen Rollstuhl angewiesen war. Zudem wurde ein Pisa Syndrom (zunehmende Körperneigung auf eine Seite mit damit verbundener Sturzneigung) diagnostiziert, welche beim Parkinson-Syndrom auftreten kann. Im Verlauf traten beim Patienten vor allem nachts progrediente starke Schmerzen im Gesäss mit Ausstrahlung bis in den Oberschenkel rechts auf. Die Hüftbeweglichkeit war zunehmend eingeschränkt. Es erfolgte die Zuweisung in die Schulthess Klinik.
Hüftarthrose mit komplexer Ausgangssituation
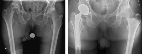
In der Schulthess Klinik diagnostizierten wir in der Abteilung Hüftchirurgie in der durchgeführten Röntgenuntersuchung (Beckenübersicht und Hüfte axial) eine weit fortgeschrittene Coxarthrose rechts. Der Femurkopf (Hüftkopf) war deformiert und bereits subluxiert . In der klinischen Untersuchung zeigte sich eine stark eingeschränkte, schmerzhafte Beweglichkeit. Mit dem Patienten und seiner Frau besprachen wir die Befunde und Therapiemöglichkeiten. Aufgrund der Beschwerden sowie der zunehmenden Immobilität stellten wir die Indikation für einen prothetischen Gelenkersatz.
Interdisziplinäre Zusammenarbeit
Bei dieser komplexen Situation mit dominierendem Morbus Parkinson zogen wir Dr. med. Andreas Eggspühler-von Orelli, Leitender Arzt Neurologie, hinzu, um die Situation aus orthopädisch-neurologischer Sicht zu beurteilen und einen Therapieplan zu erarbeiten.
Mit dem Patienten und seiner Frau sowie den behandelnden Neurologen des Universitätsspitals Zürich wurde in interdisziplinärer Zusammenarbeit mit der Orthopädie, Neurologie und Anästhesie der Schulthess Klinik ein Konzept für eine optimale Planung der Operation sowie der peri- und postoperativen Phase erarbeitet. Komplikationen galt es bei der komplexen Situation möglichst zu vermeiden. Unter anderem erfolgte peri-operativ die Anpassung der Medikation mit Adjustierung der Madopardosis und eine internistische Abklärung mit Optimierung des Hämoglobins sowie der Elektrolyte. Zudem konnte die Ehefrau den Patienten postoperativ im Aufwachraum in Empfang nehmen. Mit all diesen Massnahmen konnten wir das Risiko eines postoperativen Delirs, welches der Patient nach anderen Eingriffen mehrfach erlitten hatte, erfolgreich vermindern.
Maximale Stabilität des Kunstgelenkes
Die Operation erfolgte durch Prof. Dr. med. Michael Leunig, Chefarzt Hüftchirurgie, über einen direkten, vorderen Zugang zum Hüftgelenk. Bei diesem Zugang werden die wichtigen beckenstabilisierenden Hüftmuskeln geschont und eine rasche Rehabilitation ermöglicht. Es handelt sich hierbei um eine standardisierte Routineoperation. Bei genanntem Patienten musste jedoch aufgrund der komplexen Situation mit Morbus Parkinson, Pisa Syndrom und Sturztendenz besonders auf eine maximale Stabilität des Kunstgelenkes geachtet werden. Daher erfolgte die Implantation einer dual-mobilen Pfanne. Dieses System kombiniert einen erweiterten Bewegungsumfang mit geringerer Luxationsrate. Da der Patient eine gute Knochendichte aufwies, konnten wir die Implantate zementfrei fixieren und somit das Risiko einer Knochenzementreaktion vermeiden.
Intraoperativ achteten wir klinisch wie auch radiologisch auf eine korrekte Ausrichtung des Schaftes sowie der Pfanne, um einen möglichst grossen, stabilen Bewegungsumfang zu erreichen. Zudem legten wir grossen Wert auf eine minutiöse Blutstillung, um den Blutverlust so gering wie möglich zu halten, und arbeiteten bei implantiertem Neurostimulator mittels Bipolar.

Glücklich über die wiedererhaltende Mobilität
Der postoperative Verlauf zeigte sich komplikationslos. Am ersten postoperativen Tag begann bereits die physiotherapeutische Behandlung mit Mobilisation des Patienten. Während des stationären Aufenthalts betreuten wir den Patienten weiterhin interdisziplinär.
5 Tage nach durchgeführter Operation konnten wir den Patienten in die Rehabilitation entlassen. Es erfolgte ein multimodales Therapieprogramm mit Rekonditionierung, sodass der Patient nach der Rehabilitation selbstständig eine Gehstrecke von 200 Metern am Rollator gehen und mit einer Hilfsperson 12 Treppenstufen bewältigen konnte. 6 Monate postoperativ beschreibt der Patient seine rechte Hüfte als « tadellos» und ist glücklich über die wiedererhaltene Mobilität und damit Aufwertung seiner Lebensqualität.
Nicht nur die Expertise des Operateurs, sondern auch die enge interdisziplinäre Zusammenarbeit zwischen Neurologie, Anästhesie und Orthopädie ermöglichte bei diesem komplexen Patienten mit fortgeschrittenem Morbus Parkinson eine erfolgreiche und komplikationslose Versorgung einer schweren Coxarthrose mit Wiedergewinn an Selbständigkeit, Mobilität und damit Lebensqualität.