Handchirurgie – Kurzinformation der Spezialisten
Das breite medizinische Angebot beinhaltet die Behandlung erkrankungsbedingter, chronischer Veränderungen der Hand. Zudem werden Verletzungsfolgen und gewisse frische Verletzungen wie Vorderarm- oder Fingerfrakturen kompetent behandelt. Die handchirurgische Abteilung arbeitet eng mit anderen Disziplinen wie mit der Neurologie oder der Rheumatologie und der Ergotherapie zusammen, was eine rasche und breit abgestützte Diagnosestellung und Therapie ermöglicht. Röntgen, Untersuchungen unter dem Bildverstärker, MRI und Ultraschall können hausintern ergänzend eingesetzt werden.


Zu den Hauptspezialitäten gehören der Kunstgelenkersatz an der Hand, komplexe Handgelenkchirurgie und die Behandlung des Morbus Dupuytren, wobei hier auch eine neue konservative Therapie mittels Kollagenase-Infiltration zum Einsatz kommt. Die Patienten der Handchirurgie profitieren von einer umfassenden fachspezifischen Betreuung, die auf langjähriger Erfahrung, kontinuierlicher Lehrtätigkeit und wissenschaftlicher Forschung basiert. Neben Erstbehandlungen werden auch detaillierte Zweitmeinungen und Gutachten angeboten.
Qualitätskontrolle und Wissenschaft
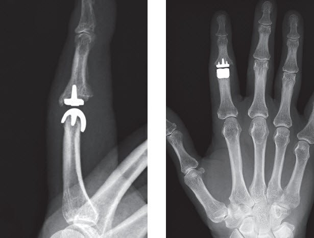
Um eine breite Dokumentation und Nachkontrolle neuer Prothesen und Behandlungsmethoden zu gewährleisten, arbeiten wir eng mit der wissenschaftlichen Abteilung zusammen. Dies erlaubt uns, Früh- und Spätkomplikationen zu erfassen und bei Bedarf entsprechende Massnahmen zu ergreifen oder die Wirksamkeit neuer Operations- / Therapiemethoden zu belegen. Hierfür werden neben der klinischen Kontrolle auch international anerkannte Patientenfragebogen, wie zum Beispiel den Michigan Hand Outcomes Questionnaire, abgegeben. Diese werden von den Patienten vor und nach einem Eingriff ausgefüllt und geben einen Überblick über die Beschwerden und Fähigkeiten, bestimmte Tätigkeiten auszuführen. Die Zusammenarbeit mit der Forschungsabteilung ermöglicht uns auch die Entwicklung und die Nachkontrolle eigener Kunstgelenke, wie zum Beispiel der seit 2010 eingesetzten Oberflächenersatzprothese für Fingermittelgelenke (CapFlex®).
Zudem sind wir bestrebt, den Patienten mit unserer wissenschaftlichen Tätigkeit den Alltag zu erleichtern. So wird in enger Zusammenarbeit mit der Industrie an Verpackungen gearbeitet, die für Menschen mit Handproblemen einfacher zu öffnen sind. Unter dem Label «easy to open» werden so Lebensmittelverpackungen lanciert, die den Bedürfnissen unserer Patienten angepasst sind.

Spektrum Handchirurgie
Konservative Handtherapie
Viele Erkrankungen der Hand können primär konservativ behandelt werden. Oftmals werden dabei Infiltrationen durchgeführt. Bei Bedarf finden diese unter Ultraschall oder Bildverstärkerkontrolle statt. Ergänzt wird die Behandlung durch handspezifische Ergotherapie, die ein breites Spektrum an Therapiemöglichkeiten bietet.
Operative Handtherapie
Zu unseren operativen Spezialgebieten zählen insbesondere der Kunstgelenkersatz, Weichteileingriffe, Revisionsoperationen und Rückzugsoperationen sowie die Behandlung von Patienten mit rheumatoider Arthritis.
- Behandlung der Daumensattelgelenkarthrose
- Gelenkersatz an Hand- und Fingergelenken
- Rheumachirurgie von Hand und Handgelenk
- Teil- und Vollversteifungen des Handgelenks und Versteifungen am Finger
- Frakturbehandlungen an Hand und Unterarm
- Rekonstruktionen von Knochen bei Pseudarthrosen (z. B. Kahnbein) und Fehlstellungen
- Dupuytren-Operationen
- Behandlung von Engpasssyndromen wie Carpaltunnelsyndrom / Cubitaltunnelsyndrom, auch endoskopische Eingriffe
- Geschwulstentfernungen (Tumor, Ganglion, Überbein)
- Sehneneingriffe und Korrektur von Weichteildefekten
- Bandrekonstruktionen und Bandspaltungen
- Korrektur von angeborenen Fehlbildungen der Hand