Behandlung Handgelenksarthrose
Die Abnutzung von Knorpel in Gelenken wird als Arthrose bezeichnet. Dies bedeutet, dass der Gelenkknorpel und damit die Gleitschicht eines Gelenks zerstört werden. Diese Knorpelzerstörung kann durch altersbedingte Abnützung eines Gelenks oder auch durch entzündliche Erkrankungen (Arthritis, z. B. chronische Polyarthritis) entstehen. Nicht selten führt ein Unfall dazu, dass ein Knorpel abgesprengt wird. Fehlverheilte Knochenbrüche und Bandverletzungen können dazu führen, dass es im betroffenen Gelenk zu einer gestörten Biomechanik kommt. Das dadurch gestörte Gelenkspiel kann den Knorpelverlust beschleunigen. Auch am Handgelenk finden sich die hier beschriebenen krankhaften Veränderungen, die zu einer Handgelenkarthrose führen können.
Symptome
Im Anfangsstadium einer Handgelenkarthrose finden sich meist belastungsabhängige Beschwerden, die durch einen dumpfen Schmerz, eventuell auch ein Brennen, in der Tiefe des meistens daumenseitigen Handgelenkes ausgelöst werden. Nicht selten findet sich auch ein Morgenschmerz mit relativer Gelenksteife, der im weiteren Tagesverlauf etwas zurückgehen kann. Im fortgeschrittenen Stadium kommt es vermehrt zu belastungsabhängigen Beschwerden, die zunehmend auch in Ruhestellung wie nachts auftreten können. Die Gelenkzerstörung führt dazu, dass die Bewegung allmählich eingeschränkt wird und Schmerzen verursacht. Häufig schwellen die Weichteile um das Gelenk an.
Ursachen
Fehlverheilte Knochenbrüche können genauso Ursache für eine Handgelenksarthrose sein wie schwere Bandverletzungen, altersbedingte Abnützungen, entzündliche Leiden (z. B. Gelenkrheumatismus) oder Kristallablagerungen.
Diagnose
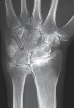
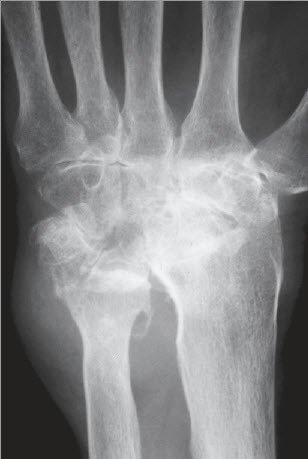
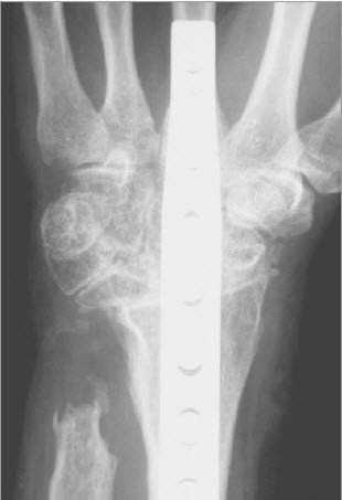
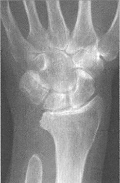
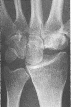
Eine Verdachtsdiagnose kann bereits durch die Patientenbefragung und das aktuelle Beschwerdebild gestellt werden. Gesichert wird die Diagnose einer Arthrose dann durch ein Röntgenbild. Findet sich nur eine leichte Arthrose, müssen möglicherweise Zusatzuntersuchungen durchgeführt werden. Bei fortgeschrittenen Arthrosen mit Gelenkzerstörung findet sich im Röntgenbild nur noch ein schmaler oder auch gänzlich fehlender Gelenkspalt (Abb. 1a bis 1c).



Konservative Behandlung
Prinzipiell muss die Ursache einer Arthrose diagnostiziert und dann behandelt werden. Je nach Ursache muss eventuell eine spezifische medikamentöse Therapie eingeleitet werden. Eine gesicherte medikamentöse Therapie, mit der sich der Knorpel wiederherstellen liesse, gibt es leider bis heute keine. Ein einmal zerstörter Knorpel erholt sich in der Regel nicht mehr. Unterstützend können ergo- und physiotherapeutische Massnahmen (Handbäder, Umschläge usw.) sowie Medikamente eingesetzt werden, die als Tabletten verabreicht oder gespritzt werden.
Operative Massnahmen kommen immer dann zum Einsatz, wenn durch die konservative Therapie die Gelenkschmerzen nicht mehr kontrolliert werden können. Je nach Situation und Arthrosestadium sind verschiedene Operationsverfahren möglich.
Operative Behandlung
Prinzipiell sollte eine Arthrose des Handgelenks erst operiert werden, wenn die Schmerzsituation trotz anderer Massnahmen nicht mehr befriedigend gelöst werden kann. Es besteht immer die Möglichkeit, dass eine spontane Versteifung eines Gelenks eintritt, meistens verbleibt aber eine minimale schmerzhafte Restbeweglichkeit.
Gelenkversteifung (Arthrodesen)
Eine fortgeschrittene Arthrose mit Gelenkzerstörung führt in jedem Fall dazu, dass die Beweglichkeit spontan verloren geht. Häufig kommt es zu einer Einsteifung, wodurch nur noch schmerzhafte Wackelbewegungen im Gelenk möglich sind. Durch eine Gelenkversteifung wird die Restbeweglichkeit im betroffenen Gelenk aufgehoben; dadurch wird eine stabile, schmerzfreie Situation erreicht. Während der Operation werden die zerstörten Gelenkflächen entfernt und eine Verbindung der beiden Gelenkpartner zu einem einzelnen Knochenblock hergestellt. Die Nachbargelenke sind von diesem Eingriff nicht betroffen, sodass für die Gesamtfunktion einer Extremität keine schwer wiegenden Nachteile entstehen. Eine Gelenkversteifung wird vor allem für Bewegungssegmente in Betracht kommen, bei denen der Verlust der Beweglichkeit im Alltag gut toleriert werden kann. Die Umwendbewegungen am Handgelenk sind davon nicht betroffen und können nach wie vor durchgeführt werden.
Die operative Fixation wird in der Regel mit Platten, Schrauben oder Spezialnägeln erreicht. In den seltenen Fällen grosser Knochendefekte als Folge einer erheblichen Gelenkzerstörung ist es angezeigt, Knochen vom Beckenkamm zu entnehmen und am Handgelenk anzulagern.
Teilversteifungen
Nicht verheilte Bandverletzungen zwischen den einzelnen Handwurzelknochen und nicht verheilte Knochenbrüche können chronische Instabilitäten zur Folge haben. Diese führen im Spätverlauf dazu, dass die Gelenkflächen zerstört werden. In einigen Fällen ist es möglich, lediglich die betroffenen Handgelenkabschnitte zu versteifen und so eine Restbeweglichkeit zu erhalten.


Totale Handgelenkversteifung
Sind alle Kompartimente des Handgelenks zerstört, wie dies bei der rheumatoiden Arthritis oder nach Unfällen recht häufig der Fall ist, bleibt lediglich die Versteifung des gesamten Handgelenks. Das Handgelenk lässt sich nach verschiedenen Verfahren versteifen, welches je nach Arthrosetyp und Knochenqualität ausgewählt wird.



Bewegungserhaltende Operationen (Arthroplastiken)
Die Medizin versteht unter Arthroplastiken einen Vorgang, bei dem eine zerstörte Gelenkfläche entfernt und Weichteilgewebe eingeschoben oder mit einem Kunstgelenk oder einer Gelenkprothese ersetzt wird. Am Handgelenk sind grundsätzlich beide Verfahren möglich. Der Vorteil einer biologischen Arthroplastik ohne Verwendung eines künstlichen Implantats besteht darin, dass es zu keinen Komplikationen wie der Lockerung der implantierten Prothesenkomponenten kommen kann.
Entfernung des Ellenköpfchens («Caput ulnae-Resektion»)
Bei dieser Form der Arthroplastik im Handgelenkbereich wird das Ellenköpfchen entfernt und die distale Elle mit einer Weichteilfesselung stabilisiert. Bei zwei Patientengruppen kann die Ulnaköpfchenresektion (Entfernung des Ellenköpfchens) als zentraler Teil des Eingriffes durchgeführt werden: bei der rheumatoiden Arthritis und nach fehlverheilten distalen Speichenbrüchen.
Bei der rheumatoiden Arthritis kann es bereits im frühen Verlauf zu einer markanten Synovitis (Gelenkschwellung) und Destabilisierung des kleinfingerseitigen Handgelenks kommen, wobei sich das so genannte Caput ulnae-Syndrom herausbildet.
Neben der schmerzhaften Einschränkung der Vorderarm-Rotation sind insbesondere die Strecksehnen des Klein- und Ringfingers gefährdet. in diesen Fällen ist es möglich, das Ellenköpfchen in Kombination mit dem entzündlichen Gewebe oder einem weiteren Eingriff am Handgelenk zu entfernen (Teil- oder komplette Versteifung des Hand- oder Kunstgelenks).
Anders sieht es nach fehlverheilten Speichenbrüchen aus. Durch eine Verkürzung und einem Nach-hinten-Kippen der Speiche kann es zu Überlastungsschmerzen im Handgelenk kommen. Wenn gleichzeitig auch das Drehgelenk zwischen Eile und Speiche zerstört worden ist, kann unter Umständen eine Ellenköpfchenentfernung in Frage kommen. Eine Versteifung des unteren Speichen-Ellen-Gelenks nach Sauvé-Kapandji (siehe Teil 1) ist die mögliche Alternative. Ein Unterschied besteht vor allem in der Nachbehandlung, welche bei der Arthrodese nach Sauvé-Kapandji etwas aufwändiger ist. Welches Verfahren zum Einsatz kommt, muss je nach Befund und Gelenkzerstörung entschieden werden.
Bei der Nachbehandlung geht es darum, die Weichteile um die Elle bis zur Ausheilung zu schützen, da diese wesentlich zur Stabilität beitragen. Deshalb ist eine äussere Schienung während rund sechs Wochen nach der Operation erforderlich. Die Prognose bei diesen Operationsverfahren ist sehr günstig. Meist muss aber mit einem leichten Kraftverlust in der Hand gerechnet werden.

Entfernung der vorderen Handwurzelreihe («Proximal Row Carpectomyn»)
Die Proximale Row Carpektomie (PRC) stellt eine Sonderform der biologischen Handgelenk-Arthroplastik dar, indem die gesamten Knochen der ersten Handwurzelreihe entfernt werden. Durch die günstige Form des grössten Knochens der zweiten Handwurzelreihe (Kopfbein) entsteht eine gute Korrespondenz mit der Speiche. Aus einem zweireihigen Gelenk wird so ein einreihiges.
Diese Form der Arthroplastik kommt ausschliesslich nach Unfällen mit Teilzerstörung des Handgelenkes und bei der Durchblutungsstörung des Mondbeines (Lunatummalazie) in Betracht. Voraussetzung ist, dass die Gelenkflächen der Speiche und des Kopfbeines nicht zerstört sind. Nach einer Operation ist eine kurze äussere Ruhigstellung während drei bis vier Wochen erforderlich, wobei das Gelenk aus der Schiene heraus unter ergotherapeutischer Anleitung bereits eingesetzt werden kann.
Hauptsächlich wegen der Verkürzung des gesamten Handgelenks muss eine Kraftminderung zu Gunsten der Schmerzfreiheit in Kauf genommen werden. Langfristig bleibt die Beweglichkeit im Handgelenk auf rund die Hälfte des ursprünglichen Zustandes eingeschränkt, dies aber bei freier Vorderarm-Rotation.

Künstliches Handgelenk («Handgelenkprothesen»)
Bei zerstörtem Handgelenk kommt neben der Versteifung auch der bewegungserhaltende prothetische Ersatz des Handgelenks in Frage. Da der Funktionsverlust durch eine Handgelenkversteifung meist gut toleriert wird, kommen Kunstgelenkoperationen vor allem bei Patienten mit beidseitiger Handgelenkzerstörung in Frage. Die Belastbarkeit einer Handgelenkprothese ist beschränkt. Deshalb gelangt die Gelenkprothese vor allem in jenen Situationen zur Anwendung, in welchen der Erhalt der Beweglichkeit wichtiger ist als die Kraftentfaltung. Man muss sich jedoch bewusst sein, dass auch mit einer Handgelenkprothese keine normale Beweglichkeit des Handgelenks erzielt werden kann.
Voraussetzung für eine Implantation einer Prothese ist eine gute Knochenqualität Die Komponenten der Prothese werden sowohl in den Handwurzelknochen als auch in der Speiche verankert und müssen dort in den darauffolgenden Wochen mit dem Knochen verwachsen. Nur so kann über einen längeren Zeitraum ein Auslockern des Gelenks vermieden werden. Im Anschluss an die Operation wird das Handgelenk kurze Zeit ruhiggestellt und dann unter ergotherapeutischer Anleitung aus einer Schiene heraus bewegt.


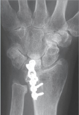
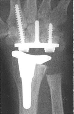
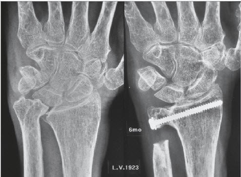
Die Arthrose des unteren Speichen-Ellen-Gelenks (DRUG=Distales Radio-Ulnar-Gelenk)
Bei einer isolierten Arthrose des unteren Speichen-Ellen-Gelenks (DRUG) findet sich vor allem eine schmerzhafte und eingeschränkte Vorderarm-Rotation. Die Beugung und Streckung im Handgelenk ist nicht oder nur minimal betroffen. In diesen Fällen wird eine isolierte Teilversteifung des Gelenkes nach Sauvé- Kapandji durchgeführt (Abb. 2). Bei diesem Eingriff wird das Ellenköpfchen mit der Speiche verbunden. Um die Vorderarm- Drehbewegung gleichwohl erhalten zu können, ist es erforderlich, ein Knochenstück der Elle herauszunehmen. Dieser Eingriff hat sich bewährt in Fällen, in denen das Gelenk isoliert zerstört worden ist. Eine solche Zerstörung kommt bei gewissen Formen der chronischen Polyarthritis vor, ferner auch als Folge von Speichenbrüchen.
Das Ellenköpfchen wird meistens mit einer Schraube zur Speiche fixiert. Diese Fixation ist nur bedingt übungsstabil, weshalb eine zusätzliche äussere Fixation in Form einer abnehmbaren Schiene erforderlich ist. Nach der Operation bleiben sowohl die Handgelenkbeweglichkeit als auch die Unterarm-Rotation in der Regel erhalten.

Nachbehandlung
Nach der Operation benötigt das Handgelenk eine äussere Schienung. Die Dauer dieser Schienung ist abhängig von der Stabilität der Fixation und der Knochenqualität. Bis zur vollständigen knöchernen Heilung dauert es mehrere Wochen.
Erfolgschancen
Die Prognose für einen günstigen Heilungsverlauf ist abhängig von der Knochenqualität der zu verbindenden Knochenblöcke und der Fixation. Wenn sich bei der Heilung ein stabiler Knochenblock zu bilden beginnt, darf von einer weitest gehenden Beschwerdefreiheit ausgegangen werden. In seltenen Fällen kann es dazu kommen, dass die Knochenheilung (Pseudarthrose) ausbleibt. Raucher haben statistisch das grössere Risiko für das Ausbleiben der Knochenheilung.