Behandlung Fingergelenksarthrose
Die Arthrosen der Fingermittel- und -endgelenke sind die häufigste Form von Arthrose am Bewegungsapparat überhaupt. Sie können entweder isoliert auftreten oder im Rahmen einer sogenannten Polyarthrose, das heisst einer Arthrose, die mehrere Gelenke an der Hand und am Körper betrifft. Am Fingergrundgelenk sind die Arthrosen eher selten. Meist liegt bei einer solchen Gelenkzerstörung eine entzündliche Ursache vor (z. B. eine rheumatoide Arthritis). Eine Arthrose ist eine Abnutzung des Gelenkknorpels und führt letztlich zu dessen Zerstörung, was Schwellungen, Bewegungseinschränkung und Schmerzen zur Folge hat.
Symptome
Bei der Arthrose kommt es zur Schwellung der betroffenen Gelenke, häufig auch zu Schmerzen und zu einer Bewegungseinschränkung. Im Anfangsstadium können diese Symptome von selber wieder abklingen, sie treten aber in der Regel erneut auf, dann meist auch in kürzeren Intervallen. Im fortgeschrittenen Stadium bei Arthrose an den Fingern kann es zu einer erheblichen Bewegungseinschränkung und zu damit verbundenen Schmerzen kommen. Selten gibt es Formen dieser Arthrose, bei der die Finger spontan einsteifen und so schmerzfrei werden.
Ursache
Die Ursache für die Abnutzung der Fingermittel- und -endgelenke ist unklar. Man vermutet aber eine gewissen Vererbungsprozess, der für eine familiäre Häufung von Arthrosen an den Händen verantwortlich sein kann. Frauen sind rund zehnmal häufiger von dieser Arthroseform betroffen als Männer. Seltener können solche Zerstörungen an den Gelenken auch nach Unfällen auftreten.
Diagnose
Es handelt sich häufig um eine Blickdiagnose: Die Mittel- und Endgelenke der Finger sind geschwollen und spindelförmig aufgetrieben, die Endgelenke weisen manchmal eine typische Knotenbildung auf. Teilweise kommt es auch zu einer leichten Achsabweichung im betroffenen Gelenk. Eine gezielte Röntgenaufnahme kann die Diagnose bestätigen. Zusätzliche Untersuchungen sind in der Regel nicht notwendig.
Konservative Behandlung
Im Anfangsstadium, in dem vor allem die entzündliche Veränderung im Vordergrund steht, können lokal abschwellende Medikamente oder lokal wirkende Kortisoninfiltrationen für eine bestimmte Zeit eine Beruhigung bringen.
Leider können diese Arthroseformen nicht geheilt werden – ist ein Gelenkknorpel einmal abgenutzt, erholt er sich nicht mehr. Bei fortgeschrittener Gelenkzerstörung, Bewegungseinschränkung und bei nicht mehr behandelbaren Schmerzen kann eine Operation eine sehr gute Alternative darstellen.
Operative Behandlung / Ersatz des Fingergelenks
Bei der operativen Behandlung unterscheidet man zwischen Fingergrund- / -mittelgelenken und Fingerendgelenken.
Arthrose an den Fingergrund- und Fingermittelgelenken
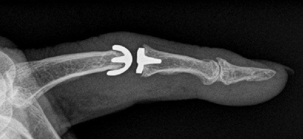
Die Fingergrund- und -mittelgelenke stellen wichtige Elemente in der Gesamtbeweglichkeit eines Fingers dar. Wenn immer möglich bevorzugen wir deshalb einen bewegungserhaltenden Eingriff. Dabei haben sich Silikonkunstgelenke als präferierte Wahl herausgestellt – sie bewähren sich seit über fünfzig Jahren sehr gut. Mit dem Kunstgelenk bleibt eine gewisse Beweglichkeit erhalten, was zusammen mit der Schmerzbefreiung eine erhebliche Verbesserung der Lebensqualität für den Patienten bedeutet.
Neuentwicklungen als Oberflächenersatz (ähnlich einem Kunstgelenk für ein Knie) zeigen ebenfalls vielversprechende Resultate mit einer gegenüber Silikon verbesserten Stabilität. Deren Einsatz ist jedoch nur bei guter Knochenqualität möglich und muss im Einzelfall besprochen werden.
In eher seltenen Ausnahmen (z. B. im Rahmen einer entzündlichen Zerstörung des Gelenks) kann eine Gelenkversteifung in einer funktionell günstigen Position diskutiert werden.


Arthrose an den Fingerendgelenken
An den Fingerendgelenken präsentiert sich die Situation etwas anders: Frühformen der Arthrose sind hier nicht selten und können mit lokalisierten Schwellungen und Zystenbildungen über dem Endgelenk verbunden sein. Bei grossen Zysten und bei Schmerzfreiheit reicht gelegentlich schon die Entfernung der Zyste allein. Meist muss dann ein kleiner Hautschwenklappen zur Deckung des Hautdefekts eingenäht werden. Da die Arthrose dadurch aber nicht ausgeschaltet oder behandelt wird, können solche Zysten theoretisch auch erneut auftreten.
Bei einer deutlich sichtbaren Gelenkzerstörung empfiehlt sich jedoch ein solcher Eingriff nicht mehr. Da die Endgelenke nicht unbedingt auf Beweglichkeit angewiesen sind und das Gelenk sehr klein ist, empfehlen wir in diesem Fall meist die Versteifung in einer möglichst gestreckten Position. Damit wird das schmerzhaft erkrankte Endgelenk ausgeschaltet. Weil das Endgelenk nicht so stark auf Beweglichkeit angewiesen ist und der Patient häufig bereits vor der Operation eine massiv eingeschränkte Beweglichkeit aufweist, stellt die Versteifung des Endgelenks kein grösseres Handicap dar. In bestimmten Situationen können jedoch auch an den Endgelenken Silikonkunstgelenke zum Einsatz kommen.
Den Zeitpunkt einer operativen Intervention bestimmen in der Regel die Beschwerden des Patienten. In diesem Sinne gibt es keinen idealen Operationszeitpunkt.


Nachbehandlung
Im Anschluss an einen Kunstgelenkersatz an einem Fingergelenk wird dieses Gelenk sehr früh durch gezielte Handtherapie (Ergotherapie) mobilisiert. Die Intensität der selbstständigen Therapie und der intensive selbstständige Einsatz des Fingers bestimmen in der Regel das Ausmass der langfristig erzielten Beweglichkeit. Nach einer Versteifung eines Gelenks muss dieses für sechs bis acht Wochen geschützt und ruhiggestellt werden, bis die zu versteifenden Knochenanteile vollständig verheilt sind.
Erfolgsaussichten
Der Gelenkersatz am Fingermittelgelenk führt zu einer bedeutenden Milderung der Beschwerden, wenn nicht gar zur Beschwerdefreiheit. Etwas unsicherer ist das Resultat bezüglich Beweglichkeit: Eine normale Fingergelenkbeweglichkeit kann nicht erwartet werden – Nachkontrollen haben gezeigt, dass ein Kunstgelenk im Durchschnitt zwischen 50 und 60 Grad beweglich ist. Das Resultat ist aber auch von Grundvoraussetzungen wie dem intakten Gleiten der Sehnen abhängig.
Die meisten Patienten empfinden jedoch auch eine eingeschränkte Beweglichkeit funktionell deutlich günstiger als die Alternative einer Gelenkversteifung am Fingermittelgelenk.
Die Versteifung der Fingerendgelenke wird funktionell kaum negativ wahrgenommen. Hingegen sind die Schmerzfreiheit sowie das ästhetisch deutlich schöner aussehende Endgelenk häufig eine mehr als gute Entschädigung für die Aufgabe der Restbeweglichkeit.



eines anatomischen Oberflächenersatzes (rechts)

