Behandlung Hallux valgus
Der geläufige Begriff Hallux ist der lateinische Ausdruck für Grosszehe. Redet man vom Krankheitsbild des Hallux, sollte korrekterweise von «Hallux valgus» gesprochen werden, was einer Fehlstellung der Grosszehe im Sinn einer Abknickung nach aussen, weg von der Körpermitte, entspricht.
Ursachen
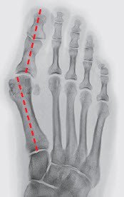
Die Ursachen für die Entstehung einer Hallux-valgus-Deformität sind vielseitig, wobei eine erbliche Veranlagung die Hauptrolle spielt. Die Grosszehe knickt nach aussen ab, der Mittelfussknochen weicht, wie im Bild (Abbildung 1) ersichtlich, zunehmend nach innen, d. h. zur Körpermitte hin, und bildet das augenfällige und schmerzhafte Überbein.
Dabei handelt es sich nicht um ein echtes Überbein, sondern um das Köpfchen des ersten Mittelfussknochens, das sich durch die Verlagerung nun als schmerzhafte Vorwölbung präsentiert. Der über dem Mittelfussknochen an diesem Ort verlaufende Nerv der Grosszehe kann im Schuh gereizt werden und ist verantwortlich für die häufig vorkommende Taubheit oder einen lästigen, brennenden Schmerz an der Grosszehe; dieser tritt vor allem nachts oder in Ruhe auf.
Durch diese Fehlstellung verliert die Grosszehe einen Teil ihrer wichtigen Stützfunktion und der benachbarte zweite Mittelfussknochen (Abbildung 2) wird chronisch überbelastet. Die Überlastung zeigt sich in der häufig beobachteten, schmerzhaften Hornhautverdickung unterhalb des zweiten (oft auch dritten) Mittelfussköpfchens. Die dort stark strapazierten Bänder und die Gelenkkapsel der zweiten (und dritten) Zehe können einreissen, sodass die Zehe keinen Halt mehr hat und sich eine Hammerzehe bildet (Abbildung 3).



Operative Behandlung
Ein Hallux valgus ist keine gefährliche Krankheit. Solange er nicht oder nur wenig stört, wird eine Operation nicht empfohlen. Auch ein vorbeugender Eingriff ist nicht sinnvoll, weil eine spätere Korrektur immer möglich sein wird. Auch wenn die Fehlstellung stark zugenommen hat, bleiben die Erfolgsaussichten gut. Kommt es aber zu regelmässigen Beschwerden und steigt damit der Leidensdruck, dann ist die Operation eine gute und gerechtfertigte Lösung.
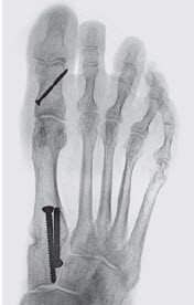
Ziel der Chirurgie ist die möglichst exakte Wiederherstellung einer normalen Anatomie, wie sie vor dem Auftreten der Deformität bestanden hat. Der schräg stehende Mittelfussknochen, der nach innen drückt, muss also aufgerichtet und in der korrekten Stellung stabilisiert werden. Die Grosszehe steht dann wieder gerade auf dem Mittelfussknochen und entfaltet ihre volle Stützfunktion, was die Überlastungsschmerzen an der Fusssohle zum Verschwinden bringt. Das bei uns am häufigsten angewandte Operationsverfahren ist die sogenannte «Scarf»-Osteotomie, die hier dargestellt wird. Diese Korrektur erfolgt durch einen Knochenschnitt (Osteotomie), der mit zwei bis drei kleinen Schrauben in der korrekten Stellung bis zur Heilung (sechs bis acht Wochen) fixiert wird. Die später funktionslos gewordenen Schrauben spürt man nicht, sie müssen nur ausnahmsweise entfernt werden.

Diese Operation, die ohne Weiteres in alleiniger Betäubung des Fusses durchgeführt werden kann, dauert in der Regel weniger als eine Stunde. Auch wenn Komplikationen nie ganz ausgeschlossen werden können, sind sie bei der Hallux-valgus-Chirurgie selten und so gut wie nie schwerwiegend.


Schwere Fehlstellungen
Schwerste Fehlstellungen lassen sich nur mit etwas aufwendigeren Operationsverfahren korrigieren. Je nach Situation erfolgt dabei die Korrektur der Fehlstellung des ersten Mittelfussknochens durch eine Achsenkorrektur auf dem Fussrist oder manchmal durch eine achsenkorrigierende Versteifung der Grosszehe selbst (weniger als 10 Prozent). Für diese Verfahren ist eine andere Nachbehandlung als die unten beschriebene notwendig.


Nachbehandlung und Rehabilitation
Die Schmerzen nach der Operation können mit einfachen Schmerzmitteln effizient behandelt werden. Die Vollbelastung des operierten Fusses ohne Gehstöcke ist bereits unmittelbar nach der Operation mit einem Spezialschuh (Barouk-Schuh) möglich. Allerdings sollte das Aufstehen anfänglich auf ein Minimum reduziert werden, um Nachblutungen zu vermeiden. Die von uns verwendeten Fäden lösen sich selbst auf und brauchen nicht entfernt zu werden. Sobald die Naht trocken ist (in der Regel nach sieben Tagen), dürfen Sie wieder ohne Schutz der Wunde duschen.
Bis zur ersten Röntgenkontrolle bei uns in der Fusschirurgie oder bei Ihrem Hausarzt (ca. vier Wochen später) ist Gehen nur mit dem verordneten Spezialschuh (Barouk-Schuh) erlaubt. Im Regelfall dürfen Sie im Anschluss an diese Kontrolle wieder mit normalen Schuhen gehen, wobei diese anfänglich wegen der noch bestehenden Schwellung des Fusses weich und breit sein sollen. Eine feste Sohle bietet ausserdem einen gewissen Schutz für den operierten Fuss. Ungefähr drei Monate später sind die meisten Aktivitäten wieder möglich, auch wenn die Tendenz zur Schwellung noch für einige Monate bestehen wird.
Erfolgschancen
Zu Unrecht wird die Chirurgie des Hallux valgus häufig als eine schmerzhafte, wenig erfolgversprechende Behandlung betrachtet – leider nicht zuletzt aufgrund von konkreten Erfahrungen im eigenen Bekanntenkreis. Die Hallux-valgus-Korrektur gehört zur anspruchsvollen Chirurgie, die viel Übung und Erfahrung verlangt. In unserer Klinik zählt diese Behandlung zu den erfolgreichsten Routineeingriffen (über 500 Hallux-Operationen pro Jahr) und wird von unseren Patienten nach der Operation auch entsprechend bewertet. In unserem Patientenkollektiv erreichte die durchschnittliche Patientenzufriedenheit 9,2 Punkte auf einer von 0 bis 10 Punkte reichenden Zufriedenheitsskala.


Risiken
Ein spezifisches Risiko für die Hallux-valgus-Operation ist die Überkorrektur. Diese recht seltene Komplikation tritt meistens früh auf (einige Wochen nach der Operation) und muss durch einen zusätzlichen Eingriff korrigiert werden.
Weitere Informationen
Ich bin Zuweiser und möchte einen Patienten anmelden.
Ich bin Patient und möchte einen Termin vereinbaren.
¹Rippstein P., Zünd T. Die Scarf-Osteotomie bei Hallux Valgus. Operat Orthop Traumatol, 2001; 2: 107–120.