Behandlung Operation der degenerativen Halswirbelsäule
Die Abnützung an der Halswirbelsäule kann Schmerzen verursachen als Folge von arthrotischer Veränderung der Gelenke oder von Einengungen und Deformitäten, welche die Funktion der Nerven und des Rückenmarks stören. Eine operative Behandlung drängt sich auf, wenn sich Schmerzen, offenkundige oder drohende neurologische Störungen nicht anders behandeln lassen, so bei Gefühlsstörungen oder Kribbeln in den Händen, Steifigkeit der Glieder, unsicherem Gangbild oder Ungeschicklichkeit der Hände.

A: Gelenk normal, rechts arthrotisch verändert
B: Die Verschraubung führt zu Schmerzlinderung
Operative Behandlung
Bei Abnützungserscheinungen, die lediglich Schmerzen ohne Störung der Nerven und Rückenmarkfunktion verursachen, ist die Operation ein Versuch zur Verbesserung der Lebensqualität. Eine zwingende Situation liegt hier also höchstens bei unerträglichen Schmerzen vor.
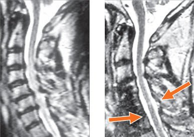
Bei Einengung des Nervenkanals ist das Rückenmark mit seiner wichtigen Steuerungsfunktion bedroht. Hier ist die Operation notwendig, um mögliche Lähmungen abzuwenden. Allerdings kann auch im Fall einer erfolgreichen Entlastung des Rückenmarks keine sichere Aussage über die Erholung der vorhandenen Störungen gemacht werden. Diese ist im Einzelfall abhängig von Ausmass und Dauer der Druckwirkung.
Operation von hinten
Bei schmerzhaften Veränderungen der Gelenke oder Einengung des Nervenkanals kann ein hinterer Zugang gewählt werden. Dabei wird die Nackenmuskulatur nach entsprechendem längs verlaufenden Hautschnitt in der Mitte durchtrennt und von der Wirbelsäule abgelöst. Die schmerzhafte Stelle wird dann mit einem Titanimplantat sorgfältig versteift.
Um die Halswirbel definitiv zu stabilisieren, benötigt man einen Knochenspan, der aus dem Beckenkamm gewonnen wird oder in Form von Knochenersatz-Material Anwendung findet. Liegt eine ausgeprägte Verengung des Nervenkanals vor, muss dieser erweitert werden. Dazu gibt es zwei Möglichkeiten, indem entweder die gesamten Wirbelbögen entfernt oder die Wirbelbögen aufgeklappt werden. Beim zweiten Vorgehen kann eine gewisse Beweglichkeit der Halswirbelsäule erhalten werden. Werden die Wirbelbögen dagegen entfernt, folgt in der Regel eine Stabilisierung der Halswirbel.
Der Vorteil ist, dass vom hinteren Zugang aus einzelne oder mehrere Halswirbel versteift werden können. Das Rückenmark kann so selbst bei ausgeprägten langstreckigen Verengungen des Nervenkanals wirksam entlastet werden.
Mögliche Nachteile / Komplikationen
Mögliche Nachteile/Komplikationen: Die empfindliche, kräftige Nackenmuskulatur wird abgelöst, was gelegentlich hartnäckige Muskelverspannungen und Ermüdungsgefühle im Nackenbereich nach sich ziehen kann.
Bei der Fixation von Schrauben und Platten besteht eine gewisse, wenngleich geringe Gefahr, dass das Rückenmark und die Halswirbelarterie verletzt werden. Beides ist extrem selten, kann aber ernsthafte Folgen haben.
Wundheilungsstörungen, Infektionen und ausbleibende Verknöcherung mit schmerzhafter Instabilität sind seltene Komplikationen, die gewöhnlich ohne bleibende Nachteile korrigiert werden können.

Operation von vorne
Ist bei der degenerativen Halswirbelsäule geplant, die Stellung der Halswirbelsäule zu korrigieren oder das Rückenmark zu entlasten, weil der Nervenkanal von vorne eingeengt ist, wird ein vorderer Zugang gewählt. Durch einen quer oder längs verlaufenden Hautschnitt kann dabei auf die Vorderseite der Halswirbelsäule eingegangen werden. Dadurch kommen die Vorderseiten der Wirbelkörper und die Bandscheiben ins Blickfeld. Je nach Eingriff wird hier die Bandscheibe isoliert oder zusammen mit dem Wirbelkörper entfernt. Dies ermöglicht den Zugang zum Nervenkanal. In dieser Phase muss besonders auf die Schonung des Rückenmarks geachtet werden.
Um Form und Stabilität der Halswirbelsäule zu erhalten, wird die Bandscheibe oder der Wirbelkörper ersetzt, und zwar mit geeigneten künstlichen Implantaten, Beckenknochen oder Knochenersatz. Sie haben die Funktion eines Platzhalters anstelle der entfernten Bandscheibe oder des Wirbelkörpers. Eine Plattenfixation kann erforderlich sein, wenn es darum geht, die Stabilität der Halswirbelsäule zusätzlich zu verbessern.


Als neuere Methode kann in gewissen Fällen die Bandscheibe mit einer beweglichen Prothese ersetzt werden. Damit wird eine Versteifung vermieden, und die potenzielle Überbelastung der angrenzenden Bandscheiben und Gelenke entfällt.
Mögliche Komplikationen
Durch das verschieben von Luft und Speiseröhre während des Eingriffs kann nach der Operation eine vorübergehende Schluckstörung auftreten. Aus dem gleichen Grund kann eine Reizung des Stimmband-Nervs zu Heiserkeit führen, die in der Regel ebenfalls vorübergehender Natur ist und sich nach einigen Wochen wieder normalisiert hat. Eine Schwellung unmittelbar nach der Operation kann die Atmung beeinträchtigen. Diese Situation kann eine Wiedereinführung des Beatmungsschlauchs in die Luftröhre mit künstlicher Beatmung für einige Zeit erfordern.
Wie bei allen Versteifungsoperationen besteht eine geringe Gefahr, dass die Versteifung nicht knöchern zusammenwächst. In solchen Fällen ist eine zusätzliche Stabilisierung durch erneute Operation der Halswirbelsäule nötig. Andere Komplikationen wie Wundheilungsstörungen oder Infektionen, wie sie vor allem bei Übergewichtigen und Zuckerkranken gehäuft auftreten können, sind zwar lästig und gelegentlich langwierig, aber ohne Dauerfolgen behandelbar.


