Knorpelschaden nach Mountainbike-Sturz
Knorpelschäden im Kniegelenk sind häufig. Unbehandelt führen diese zu einer starken Belastung des Gelenks und erhöhen die Gefahr der Entwicklung einer Arthrose. Mit einer Knorpeltransplantation kann der verfrühte Gelenkverschleiss verhindert und die schmerzfreie Funktion des Kniegelenks wieder hergestellt werden.
Der artikuläre Knorpel erlaubt uns unter normalen Bedingungen eine unlimitierte, reibungsfreie Fortbewegung. Die Hauptaufgabe liegt in seiner stossdämpfenden Funktion des unterliegenden Knochens. Dabei leistet der Knorpel biomechanische Höchstleistungen und ist dazu in der Lage, Spitzendruckkräfte von bis zum 25-Fachen unseres Körpergewichts auszuhalten, ohne strukturelle Schäden davonzutragen. Diese biomechanische Funktion wird jedoch erkauft durch ein sehr schwaches Regenerationspotenzial. Das hängt damit zusammen, dass nach der Pubertät im Knorpel keine Durchblutung mehr vorhanden ist. Kommt es zu einer Schädigung, kann der eigene Körper in der Regel eine Regeneration des Schadens nicht mehr bewerkstelligen. Es stellt sich eine Beschwerdesymptomatik ein. Diese zeigt sich durch Schmerzen, Blockaden und Schwellungszustände während und nach vermehrter Belastung. In den meisten Fällen verbleibt die Symptomatik und verschlimmert sich im Verlauf. Des Weiteren zeigt sich eine strukturelle Verschlechterung des Knorpelschadens. Dieser wird grösser in seiner Flächenausdehnung und auch tiefer. Durch die vorliegenden Schäden entsteht ein hohes Risiko, im späteren Leben eine Arthrose (Gelenkverschleiss) zu entwickeln. Daher sollten symptomatische Knorpelschäden möglichst früh nach deren Entstehung und effektiv behandelt werden. Ziel ist es, wieder eine schmerzfreie volle Funktion zu erlangen und einen verfrühten Gelenkverschleiss zu verhindern.
Fallbeispiel
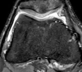
Ein 26-jähriger, sportlich aktiver Patient, der zuvor keine Kniebeschwerden hatte, erlitt bei einem Mountainbike-Sturz ein direktes Anpralltrauma des rechten Kniegelenks. Zunächst entwickelten sich eher leichte Beschwerden. Trotzdem war der Sportler in den Wochen nach dem Unfall in seiner sportlichen Aktivität und auch im Alltag aufgrund von Schmerzen und Schwellungszuständen am rechten Kniegelenk eingeschränkt. Da temporär durchgeführte physiotherapeutische Massnahmen keine Besserung der Symptomatik erbrachten, stellte sich der Patient bei seinem Hausarzt vor. Dieser liess folgerichtig eine Magnetresonanztomographie (MRI) des betroffenen Kniegelenks erstellen. Darin zeigte sich ein ausgedehnter Knorpelschaden im Bereich der Kniescheibenrückfläche (Abb. 1) bei ansonsten unauffälligem Binnenbefund des Kniegelenks.
Die Wassereinlagerung (Knochenmarködem) hinter dem Knorpelschaden weist auf einen frischen, unfallbedingten Knorpelschaden hin. Der Patient wurde an unsere Abteilung überwiesen. Sowohl klinische als auch bereits vorliegende radiologische (MRI) Untersuchungen wiesen in Zusammenschau der Anamnese auf den Knorpelschaden als Ursache der beschriebenen Symptome hin. Wir empfahlen einen operativen Eingriff zur Sanierung des Knorpelschadens.

Die Belastung des Gelenkknorpels ist im Bereich des Kniescheibengelenks die grösste im gesamten Körper. Dementsprechend ist der Knorpel im Bereich der Kniescheibe (Patella) besonders dick, in Einzelfällen bis zu acht Millimeter. Eine effektive Rekonstruktion des patellaren Knorpels stellt aus diesem Grund eine besondere Herausforderung an den behandelnden Arzt.1 Gerade an dieser Lokalisation spielt die Qualität des Knorpels eine besonders grosse Rolle, um der biomechanischen Belastung auf lange Zeit standzuhalten. Es existieren verschiedene Techniken, defekten Knorpel zu rekonstruieren. Darunter bringt die autologe Knorpelzelltransplantation (ACT) wahrscheinlich die höchste Regeneratqualität hervor. Diese Technik wird nun schon seit fast 30 Jahren weltweit eingesetzt, nachdem sie in den späten 1980er-Jahren in Schweden etabliert worden ist.2 In der Literatur sind sehr zufriedenstellende Langzeitresultate vorzufinden.3, 4 Zur Realisierung erfolgt eine initiale Arthroskopie des Kniegelenks zur Erhebung des Binnenstatus und eine Evaluation des vorliegenden Knorpelschadens.
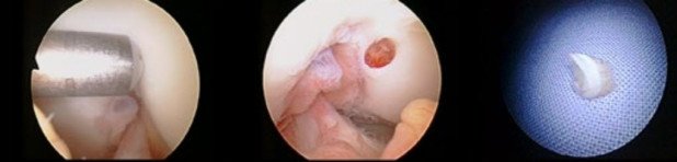
In diesem Fall bestätigte sich der Verdachtsbefund und es zeigte sich an der Patellagelenkfläche ein ausgedehnter und vollschichtiger Knorpelschaden (Abb. 2). In der gleichen Arthroskopie wurden Knorpelzellproben aus einer nicht belasteten Stelle des Gelenks entnommen (Abb. 3). Solche Proben werden jeweils zu einer Tissue-Engineering-Firma gesendet. Dort werden die Knorpelzellen in eine Zellkultur transferiert, um deren Zahl zu erhöhen.


Etwa drei bis vier Wochen nach der Entnahme können die Zellen wieder eingesetzt werden. Dies geschieht in einer zweiten, dann offenen Operation, bei der die eigenen Knorpelzellen, bereits auf einer dreidimensionalen Matrix besiedelt und passgenau auf die Defektgrösse zugeschnitten, eingesetzt und mit einem sehr feinen Faden am umliegenden Knorpel befestigt werden (Abb. 4). Nach Ablauf der Regenerationszeit konnte der Patient wieder schmerzfrei den Alltag bewältigen und im späteren Verlauf auch die volle sportliche Aktivität wieder aufnehmen. Es bestanden keine Beschwerden mehr im Bereich des rechten Kniegelenks. Das Kontroll-MRI ein Jahr nach der Operation zeigte eine wiederhergestellte Knorpeloberfläche mit guter Integration des Transplantates sowohl in den umliegenden Knorpel als auch in den unterliegenden Knochen. Dabei wies das Transplantat selbst eine dem umliegenden Knorpel vergleichbare Signalgebung auf – als Zeichen der physiologischen Regeneratqualität.

Fazit
Schäden des Gelenkknorpels sind häufig. Unbehandelt führen diese zu einer starken Belastung des Patienten und erhöhen die Gefahr der Entwicklung einer Arthrose des Gelenks. Die operative Behandlung hat das Ziel, eine höchstmögliche Regeneratqualität hervorzubringen, um der jeweiligen Belastung standhalten zu können. In diesem Fallbeispiel konnten wir durch eine Knorpelzelltransplantation dieses Ziel erreichen und die Funktion des Kniegelenks wiederherstellen.

Weitere Informationen
Ich bin Zuweiser und möchte einen Patienten anmelden.
Ich bin Patient und möchte einen Termin vereinbaren.
Literatur
- Mouzopoulos G, Borbon C, Siebold R (2011). Patellar chondral defects: a review of a challenging entity. Knee Surg Sports Traumatol Arthrosc 19: 1990 –2001.
- Brittberg M, Lindahl A, Nilsson A, Ohlsson C, Isaksson O, Peterson L (1994). Treatment of deep cartilage defects in the knee with autologous chondrocyte transplantation. N Engl J Med 331: 889–895.
- Niemeyer P, Porichis S, Steinwachs M, Erggelet C, Kreuz PC, Schmal H, Uhl M, Ghanem N, Sudkamp NP, Salzmann G (2014). Long-term outcomes after first-generation autologous chondrocyte implantation for cartilage defects of the knee. Am J Sports Med 42: 150–157.
- Salzmann GM, Erdle B, Porichis S, Uhl M, Ghanem N, Schmal H, Kubosch D, Sudkamp NP, Niemeyer P (2014). Long-term T2 and Qualitative MRI Morphology After First-Generation Knee Autologous Chondrocyte Implantation: Cartilage Ultrastructure Is Not Correlated to Clinical or Qualitative MRI Outcome. Am J Sports Med 42: 1832–1840.