Zehenverlängerung bei Brachydaktylie
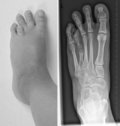
Vor der Operation

Es besteht eine angeborene Verkürzung der 4. Zehe. Die Patientin hat Schmerzen vor allem im Bereich der Fusssohle und teilweise auch Probleme mit den Schuhen. Zudem stört Sie sich sehr am Aussehen und zieht keine offenen Schuhe an.
Therapie

Es erfolgt eine schrittweise Verlängerung des 4. Mittelfussknochens mit einem kleinen Fixateur.
Nach der Operation

Nach 4 Monaten wird der Fixateur entfernt. Es besteht ein sehr ansprechendes funktionelles und kosmetisches Resultat.