Behandlung Tarsale Coalitio im Wachstumsalter
Die sogenannte tarsale Coalitio ist eine pathologische Verbindung zwischen einem oder mehreren Knochen im Rückfussbereich, die Schmerzen und Bewegungseinschränkungen verursachen kann.
Die sicher häufigsten Coalitionen sind die pathologischen Verbindungen zwischen dem Calcaneus und dem Naviculare einerseits (ca. 70 Prozent) und dem Calcaneus und dem Talus (ca. 30 Prozent) als sogenannte subtalare Coalitio andererseits. Die Inzidenz beträgt ca. 0,03 –1 Prozent laut aktueller Literatur. Die Ätiologie der tarsalen Coalitio ist unklar. Es wird generell davon ausgegangen, dass es sich um eine Segmentationsstörung des Fussknochens handelt.
Symptome
Die tarsalen Coalitionen werden häufig in der Jugend zwischen dem 12. und 16. Lebensjahr symptomatisch. Die frühzeitigeren symptomatischen Coalitionen sind selten und werden daher am häufigsten verkannt. Die bei uns am häufigsten diagnostizierten Coalitionen (Coalitio calcaneonaviculare und Coalitio talocalcaneare) zeigen typischerweise eine unterschiedliche Symptomatik. Während bei der calcaneonavicularen Coalitio ein deutlicher Schmerz im Bereich des Sinus tarsi wie auch unmittelbar über der calcaneonavicularen Brücke (lateraler Fussrü- cken) besteht und Schmerzen vor allem bei forcierten Bewegungen im Chopardgelenk ausgelöst werden, zeigen sich bei der subtalaren Coalitio vor allem lokalisierte Schmerzen unter der Innenknöchelspitze und besonders bei Bewegungen im unteren Sprunggelenk. Beide Coalitionen bewirken typischerweise eine mehr oder weniger vollständige Einschränkung der USG-Beweglichkeit. Es handelt sich meist um einen sogenannten rigiden Plattfuss.
Typischerweise steht die Ferse deutlich valgisch, die lateralen Fussheber und vor allem die peroneale Gruppe zeigt sich sekundär spastisch, der Fuss kann weder aktiv noch passiv korrigiert werden (Abb. 1). Zudem ist häufig die Triceps-surae-Muskulatur verkürzt. Im Wesentlichen hängt die klinische Symptomatik mit dem Ausprägungsgrad der Coalitio zusammen. Zeigt sich eine fibröse bzw. fibrokartilaginäre Coalitio, ist die Beschwerdesymptomatik häufig deutlicher ausgeprägt, als wenn sich bereits eine annähernd vollständige knöcherne Überbauung dieser Zone zeigt. In einigen Fällen besteht auch eine sogenannte traumatisierte Coalitio, typischerweise bestehen persistierende Beschwerden längerfristig nach einem inadäquaten OSG-Distorsionstrauma, die trotz angemessener Schienenbehandlung keine Regredienz zeigen. Dies sind typischerweise auch die Fälle, die zu einer deutlich verschleppten Diagnose führen mit teilweise bis zu zweijährigen Schmerzen ohne adäquater Therapie.

Diagnose
Der mit dieser Problematik vertraute Kinderorthopäde kann bereits aufgrund der Anamnese und Klinik einen hochgradigen Verdacht auf eine Coalitio stellen. Die primäre Diagnostik ist nativradiologisch.
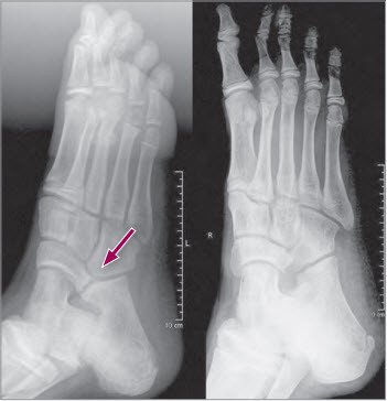
Hierbei zeigt sich bei der Coalitio calcaneonaviculare häufig sehr klar die typische Verbindung zwischen dem vorderen Calcaneus- und dem lateralen Naviculareanteil im Röntgenbild (Schrägaufnahme – Abb. 2).
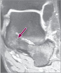
In Einzelfällen ist diese Verbindung nicht klar sichtbar, vor allem, wenn diese noch rein fibrös oder fibrokartilaginär vorliegt. In diesen Fällen empfiehlt sich eine MRI-Untersuchung (Abb. 3). In Einzelfällen führen wir zur Diagnosesicherung eine Infiltration im calcaneonavicularen Übergangsbereich durch. Zeigt sich eine unmittelbare Schmerzlinderung, ist die Diagnose gesichert.


Die Therapie richtet sich nach Klinik und dem Ausmass der Coalitio. In den meisten Fällen ist eine operative Therapie notwendig, um die Beschwerden zu beseitigen. Während sich die Coalitio calcaneonaviculare durch eine ausreichende Resektion und gegebenenfalls Interposition von Fettgewebe in den meisten Fällen unkompliziert beherrschen lässt, ist der operative Zugang zur meist medialseitig gelegenen talocalcanearen Coalitio diffiziler. Primär muss, um das geeignete Prozedere richtig bestimmen zu können, das Ausmass der subtalaren Coalitio bestimmt werden. Erfahrungsgemäss lässt eine Coalitio, die über ein Drittel der (grösseren) hinteren Gelenksfacette des Subtalargelenks betrifft, keine Resektion mehr zu. Hier sollte eher eine subtalare Arthrodese in Erwägung gezogen werden. In den Fällen, bei denen schon sekundäre Deformitäten des Fussskeletts aufgetreten sind, müssen diese gesondert – meist im Sinne von Plattfussoperationen – adressiert werden.
Nachbehandlung
Die richtige Nachbehandlung ist essenziell. Sobald die postoperative Schmerzsituation es zulässt, sollte der Fuss zumindest teilbelastet werden, um ein Frührezidiv zu vermeiden. Häufig sind auch vorübergehend varisierende Fussorthesen notwendig.