Behandlung Sportverletzungen des kindlichen oder jugendlichen Kniegelenkes
In den letzten Jahren haben Verletzungen am Kniegelenk bei Kindern und Jugendlichen zugenommen. Eine mögliche Ursache dafür könnte eine erhöhte sportliche Aktivität und eine frühere Spezialisierung im Sport sein. Zu den möglichen Verletzungen am Kniegelenk gehören der Kreuzbandriss, die Meniskusverletzung, eine Knorpelverletzung und die Patellaluxation.
Kreuzbandriss
Ein Kreuzbandriss am kindlichen Knie kommt generell selten vor. Jedoch nehmen Bandverletzungen in dieser Altersgruppe, aufgrund der immer intensiveren sportlichen Belastung vor allem im Kontaktsport, zu. Das Kreuzband ist ein immens wichtiger Stabilisator des Kniegelenkes. In manchen Fällen kann bei einer inkompletten Ruptur ein spontanes Zusammenwachsen beobachtet werden. Bei einer kompletten Ruptur und langfristig instabilem Kniegelenk sollte die Indikation für eine Operation eher grosszügig gestellt werden. Ein instabiles Kniegelenk kann bei jungen Menschen zu Sekundärschäden führen (Meniskusrupturen, Knorpelschäden). Der Zeitpunkt und die Operationstechnik richten sich nach dem Entwicklungsstadium des Kindes oder Jugendlichen und müssen individuell entschieden werden.
Die Operation kann minimalinvasiv durchgeführt werden. Manchmal kann das Kreuzband genäht werden. Es muss aber meistens durch ein eigenes Sehnentransplantat (Hamstrings) ersetzt werden. Im Anschluss beginnt die Rehabilitation in enger Zusammenarbeit mit der Physiotherapie. In dieser Zeit muss eine Sportpause eingehalten werden. Zeigt sich in den Nachkontrollen ein guter Fortschritt, also gute Muskulatur und ein stabiles Gelenk, kann in den meisten Fällen nach 9 bis 12 Monaten mit Kontaktsportarten wieder begonnen werden. Die Sonderform des Eminentiaausrisses wird, beim jüngeren Kind, je nach Dislokationsgrad entweder konservativ mit Gips oder operativer Refixierung des Fragments behandelt.
Verletzung des hinteren Kreuzbandes sind sehr selten. Seitenbandverletzungen werden meist konservativ behandelt.



Meniskusverletzungen
Meniskusverletzungen bei Kindern sind deutlich seltener als bei Erwachsenen. Eine typische Ursache für traumatische Meniskusverletzungen ist die Verdrehung des Kniegelenkes unter Belastung. Skifahren oder Fussball sind beispielsweise Sportarten mit einem erhöhten Risiko. Akute, verletzungsbedingte Meniskusrisse äussern sich durch Schwellung sowie Schmerzen oder Blockaden vor allem bei Dreh- und Beugebewegungen des Kniegelenkes. Die Behandlungsoptionen sind vergleichbar mit den der Erwachsenen. Liegt tatsächlich eine Meniskusverletzung vor, kann diese meistens arthroskopisch versorgt werden. Sehen wir eine Möglichkeit, den Meniskus zu erhalten, dann wird dieser genäht. Damit das verletzte Knorpelgewebe heilen kann, muss es je nach Rissform durch eine Schiene vor zu viel Bewegung und durch Krücken vor zu viel Belastung für 4 bis 6 Wochen geschützt werden. Kontaktsportarten müssen nach einer Meniskusnaht für circa 6 Monate ausgesetzt werden. Eine Sonderform stellt der Scheibenmeniskus dar. Hierbei handelt es sich um eine angeborene fehlerhafte Meniskusform, statt halbmondförmig ist er scheibenförmig. Dies führt eher selten zu Problemen, kann aber zu einem störenden Schnappphänomen führen. Auch diese Fehlform kann bei Beschwerden mittels Gelenkspiegelung korrigiert werden.


Patellaluxation
Bei der Patellaluxation springt die Kniescheibe aus dem Lager und dann meistens spontan zurück, selten verklemmt sie sich ausserhalb des Kniegelenks. Meist wird das Erstereignis traumatisch bedingt. Bei einem Erstereignis wird das betroffene Knie ruhiggestellt und anschliessend physiotherapeutisch behandelt. Wenn rezidivierende (wiederkehrende) Luxationen auftreten, sind bei Versagen der konservativen (physiotherapeutischen) Therapie eventuell operative Eingriffe angezeigt. Hierbei kommen sowohl weichteilige wie auch knöcherne Eingriffe oder auch eine Kombination aus beiden infrage.

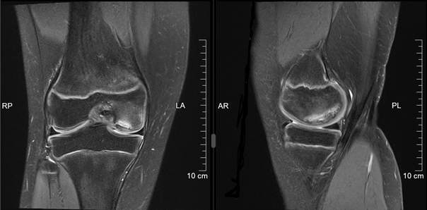
Osteochondritis dissecans
Die Ursache der Osteochondritis dissecans ist multifaktoriell und der Pathomechanismus noch nicht gänzlich geklärt. Das repetitive Trauma spielt eine wesentliche Rolle, häufig sind sportlich aktive Kinder und Jugendliche betroffen. Hormonelle, vaskuläre oder Erbfaktoren können als mögliche Ursache eine Rolle spielen. Die Schmerzen sind belastungsabhängig, im Spätstadium kann es zu Blockaden kommen. Das MRI ist die beste Untersuchung, um das Stadium zu beurteilen und somit das therapeutische Vorgehen zu entscheiden. Meistens handelt es sich zunächst um eine konservative Therapie mit Schonungsmassnahmen und Sportkarenz von 6 Wochen bis 3 Monate. Diese Entscheidungen müssen individuell erfolgen. Zu den operativen Therapien in schweren Stadien gehören die retrograde (knorpelschonende) Anbohrung, arthroskopische- oder offene Refixation. Ist dies nicht möglich, kann bei kleinen freien Gelenkskörpern die Entfernung ausreichen. Bei grösseren Defekten kommen Rekonstruktionen infrage. Grundsätzlich gilt, dass die Prognose bei jüngeren Patienten mit offenen Wachstumsfugen besser ist als nach Fugenschluss.



