Behandlung Kartilaginäre Exostosen - Knochenwucherung
Kartilaginäre Exostosen bezeichnet man mit Knorpelmasse bedeckte knöcherne Auswüchse am Knochen selber. Sie können einzeln oder im Rahmen der sogenannten vererbten «multiplen kartilaginären Exostosenerkrankung» auftreten. Je nach Ausprägungsgrad der Wucherungen reicht das Spektrum von lediglich vorhandenen, nicht störenden Exostosen bis hin zu ausgeprägten Gelenkdeformitäten.
Obwohl es sich bei den Exostosen grundsätzlich um gutartige, schmerzfreie Tumore handelt, kann insbesondere bei der multiplen Exostosenerkrankung eine schwere Wachstumsstörung resultieren, die häufig auch schwer zu behandeln ist. Mit einem gut ausgearbeiteten Behandlungsplan können aber meistens zufriedenstellende Ergebnisse erreicht werden.
Ursachen
Die Krankheit ist autosomal dominant vererbt und kann das gesamte Skelett betreffen. Nur eine Person von
50 000 ist betroffen. Mittlerweile konnten in mehreren genetischen Studien Anomalien der Chromosomen
8, 11 und 19 festgestellt werden.
Diagnose
Typischerweise präsentieren sich multiple Exostosen bereits ab dem 3. Lebensjahr mit mehreren kleineren, knochenharten Vorwölbungen insbesondere nahe der Gelenke. Arme und Beine sind gleich häufig betroffen. Bereits anhand des klinischen Bildes kann die Diagnose gestellt werden. Die Exostosen liegen entweder breitbasig oder gestielt vor. Ihre Oberfläche besteht häufig aus mehreren Lappen von hyalinem Knorpel, der die irreguläre Knochenmasse bedeckt. Normalerweise ist die knorpelige Kappe nur 1 bis 3 Millimeter dick. Der Tumor hingegen sieht von blossem Auge blumenkohlartig aus, kann aber ebenso flach oder röhrenförmig mit einem prominenten Ende ausgebildet sein.
Abb. 1 zeigt eine grosse, breitbasige Exostose am proximalen Humerus. Tatsächlich ist das Ausmass der Exostose viel grösser, da die bedeckende Knorpelkappe nativradiologisch nicht dargestellt wird.
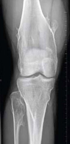
Abb. 2 zeigt ein typisches Bild der kartilaginären Exostosenkrankheit am Kniegelenk. Neben der deutlichen Verbreiterung der metaphysären Knochenanteile zeigen sich multiple Exostosen am distalen Femur, der proximalen Tibia wie auch am Fibulaköpfchen.


Aufgrund häufig vorliegender Wachstumsstörungen scheinen die Extremitäten im Verhältnis zum Rumpf häufig verkürzt. In 70 Prozent der Fälle sind der distale Oberschenkel und das proximale Schienbein und in 30 Prozent das proximale Wadenbein betroffen. Die schwerwiegendsten Wachstumsstörungen zeigen sich aber, wenn das Ellbogengelenk, das Handgelenk und das Sprunggelenk betroffen sind. Im Sprunggelenksbereich führen die Exostosen zu Gelenksfehlstellungen und einem Missverhältnis der gelenkbildenden Knochen. Im Unterarmbereich können die vorliegenden Exostosen zu einer deutlichen Verkürzung der Elle und zu einer sekundären Verbiegung des Radius mit der häufigen Folge einer Radiusköpfchenluxation führen. Üblicherweise ist eine nativradiologische Bildgebung ausreichend, um die Diagnose zu sichern und operative Massnahmen zu planen. In Einzelfällen ist eine MRI-Untersuchung notwendig.
Behandlung
Wie bei dem einzeln vorkommenden Osteochondrom ist auch bei der multiplen kartilaginären Exostosenerkrankung lediglich die funktionelle Störung oder eine durch die Exostosen bedingte Wachstumsstörung eine Indikation zum chirurgischen Vorgehen. Hierbei sind insbesondere Wachstumsstörungen mit der Folge einer Fehlstellung oder einer auftretenden Beinlängendifferenz, Einschränkungen der Gelenksbeweglichkeit und neurovaskuläre Druckprobleme behandlungsbedürftig.
Ganz besonders schwierig gestaltet sich die Behandlung, wenn nahe gelegene Gelenke durch das expansive Wachstum mechanisch eingeschränkt oder schlimmstenfalls sekundär geschädigt werden. Von diesem Wirkmechanismus der Exostosen ist insbesondere der Unterarm, häufig aber auch das Sprunggelenk betroffen. Eine genaue Diagnostik und ein exakter Behandlungsplan vor der Operation sind zwingend notwendig, damit auch langfristig ein gutes Ergebnis erreicht wird. Selbstverständlich sind regelmässige Nachkontrollen bis zum Ende des Skelettwachstums erforderlich.
Abb. 3–6 zeigen eine Ulnaverlängerung bei sekundärer Deformierung des Unterarms, Inkongruenz des Handgelenks und drohender Radiusköpfchenluxation. Durch diese Massnahme lässt sich das Problem lösen und das Handgelenksalignement wiederherstellen.

Die Rezidivgefahr der Exostosen bei Kinder ist gegenüber einer erwachsenen Person deutlich erhöht. Deshalb sollten Exostosen bei Kindern erst im jugendlichen Alter entfernt werden, und zwar zusammen mit dem Perichondrium und dem darüberliegenden Periost entlang der Basis der Exostose. Da die Exostosen häufig nahe der Wachstumsfugen liegen, muss unbedingt darauf geachtet werden, dass der perichondrale Ring der Fuge nicht verletzt wird, um eine iatrogene Achsenfehlstellung zu vermeiden. Besteht Verdacht auf eine bösartige Wucherung oder lässt sich ein schnelles Wachstum beobachten, muss der Tumor chirurgisch entfernt werden.
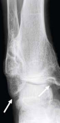
Im Gegensatz zu früheren Vermutungen ist die bösartige Entartung bei der multiplen kartilaginären Exostosenerkrankung sehr gering und liegt laut Literatur bei ca. 0.9 bis 5 Prozent. Im Verdachtsfall wird vor der operativen Behandlung eine MRI-Untersuchung empfohlen. Abb. 7–9 zeigen eine sekundäre Deformierung des oberen Sprunggelenks. Die weissen Pfeile zeigen den sekundären Aussenknöchelhochstand und die sekundäre Diastase von Innenknöchel und Sprungbein. Die Behandlung erfolgte durch Resektion der Exostose und Verlängerung des Wadenbeins unter Beckenkamminterposition und Plattenfixation (schwarzer Pfeil) sowie zeitgleicher supramalleolärer Derotationsosteotomie mit Platte. Das Ausheilungsbild am Ende des Wachstums zeigt ein wiederhergestelltes korrektes Alignement des Sprunggelenks.


