alert-checkalert-circlealert-trianglearrowassignmentbg-s-outlinesbg-sburger-whiteburgercalendarcheckclosedownloaddropdownemailFacebook iconheartinfoInstagram iconlinkLinkedIn iconlocationlocknbk_assignmentnbk_contactnbk_drivenbk_emergencynbk_servicesnbk_specialistphonesearchshow-morex_negXing iconYouTube iconyoutube2

Behandlung Juvenile Hüftkopflösung

Die Epiphysiolysis capitis femoris (Juvenile Hüftkopflösung) ist eine der wenigen Notfallsituationen in der Kinderorthopädie, die eine rasche Diagnostik und adäquate operative Versorgung erfordern. Die optimale interdisziplinäre Zusammenarbeit in der Schulthess Klinik bietet die Voraussetzungen für die bestmöglichen Ergebnisse.

Ursachen

Unter der Epiphysenlösung der Hüfte (Epiphysiolysis capitis femoris) versteht man das Abgleiten des Hüftkopfs gegen- über dem Schenkelhals im Bereich der Wachstumsfuge, die durch Hormonumstellungen während des pubertären Wachstumsschubs geschwächt ist. Übergewicht, körperliche Überbelastung und eine verstärkte Drehung des Schenkelhalses nach hinten (femorale Retrotorsion) sind prädisponierende Faktoren dafür. Bei einer Epiphysenlösung der Hüfte wandert die knorpelige Hüftkopfkappe (Kalotte) im Bezug auf den Schenkelhals hauptsächlich nach hinten. Durch das Abgleiten bildet sich eine Störung des Kopf-Hals- Übergangs (Offset-Störung, Abb. 1 und 2), wodurch bei einer Flexion Schenkelhals und Pfannenrand der Hüfte eingeklemmt werden (Impingement). Dies führt im Verlauf zu Pfannenrandschäden und später zur Arthrose.

Diagnose

Die Epiphysenlösung wird grundsätzlich in zwei Typen eingeteilt:

  • Stabil, auch «chronisch» genannt (gehfähiger Patient)
  • Instabil (nicht gehfähiger Patient).

Der instabile Typ ist ein absoluter kinderorthopädischer Notfall und öfters mit der Komplikation einer Hüftkopfnekrose verbunden. In dieser Kategorie sind die Formen «akut» und «akut auf chronisch» aufzunehmen. Die schleichenden (chronischen) Formen treten am häufigsten auf und sind diejenigen, welche vor allem im Anfangsstadium am häufigsten übersehen werden.

Klinische Untersuchung und exakte Röntgendiagnostik obligat

Die Patienten präsentieren sich bei der Konsultation typischerweise mit einem seit Langem andauernden, schmerzhaften Hinken mit Aussenrotation des Beins. Öfters werden die Schmerzen nicht im Hüftgelenk, sondern im Oberschenkel oder sogar im Kniegelenk angegeben. Bei der Untersuchung findet man meistens eine aufgehobene Innenrotation der Hüfte sowie eine Verkürzung des Oberschenkels. Die Anfertigung einer Röntgendiagnostik in zwei Ebenen ist für die Diagnosestellung zentral. Die meisten Epiphysenlösungen werden in der seitlichen, sogenannten «Imhäuser»-Projektion (90-Grad-Flexion, 45-Grad-Rotation) entdeckt. Auch das Ausmass des Hauptabrutschwinkels (nach dorsal) wird im Seitenbild beurteilt. Es müssen immer beide Hüften untersucht werden, da ein beidseitiges Auftreten (in ca. 35 Prozent unserer Serien) häufig ist.

Operative Behandlung

Ist die Diagnose einer Epiphysiolysis capitis femoris gestellt, so muss das ideale (operative) Behandlungsverfahren festgelegt werden. Die verschiedenen Verfahren werden seit Jahren kontrovers diskutiert, besonders weil die Angst vor Hüftkopfnekrosen, und nicht die Langzeitresultate, die Behandlungsrichtlinien geprägt haben.

Bei der Behandlung gilt es das weitere Abrutschen durch Fixation des Hüftkopfs mittels Schrauben oder Nägeln zu verhindern und (vor allem) eine «normale» Anatomie im Kopf-Schenkelhals-Übergang wiederherzustellen. Diese sogenannte «Reposition» ist für ein gutes Langzeitresultat entscheidend. Sie verlangt besondere chirurgische Kenntnisse und eine grosse Erfahrung, um die befürchtete Nekrose zu vermeiden und eine bestmögliche Anatomie zu erzielen. Die Fixation «in situ» ohne Reposition ist nur selten indiziert, und wenn, dann etwa bei leichten Abrutschwinkeln im jüngeren Adoleszentenalter oder zur prophylaktischen Fixation der Gegenseite. Hierbei wird die Hüftkalotte in seiner «Abrutschposition» (in situ) fixiert. In der Regel genügt eine einzige zentrale Schraube, die über eine Stich-Inzision (percutane Technik) unter Kontrolle mit dem Bildverstärker eingebracht wird.

Abrutschen der Kalotte
1 Seitliche (Imhäuser) Aufnahme, links mit deutlichem Abrutschen der Kalotte nach hinten (Pfeil)
chronischer Epiphysiolysis capitis femoris
2 AP-Projektion der linken Hüfte mit chronischer Epiphysiolysis capitis femoris. Die Epiphysenfuge zeigt sich unregelmässig verbreitert und die Epiphysenhöhe vermindert
Postoperatives Bild
3 Postoperatives Bild in der AP-Projektion nach offener Epiphysenreposition nach Trochanter flip-Ostoetomie
nach offener Reposition
4 Postoperatives seitliches Bild nach offener Reposition. Der Pfeil zeigt (vorne) die reponierte Kalotte unter leichter Verkürzung des Schenkelhalses, vergleiche präoperatives Bild Abb 2

Die offene Reposition

Wegen des Risikos der Hüftkopfnekrose wurde bis vor wenigen Jahren die Indikation zur offenen Reposition zurückhaltend und nur bei massivem Abgleiten des Kopfs von mehr als 40 Grad gestellt. Die erste Technik zur offenen Reposition unter Verkürzung des Schenkelhalses wurde vor bald 50 Jahren durch D. M. Dunn in den USA beschrieben. Die Technik wurde später durch M. E. Müller über einen ventrolateralen Zugang modifiziert. Während vielen Jahren wurde diese «klassische» Behandlung des schweren Abrutschens in der Schweiz durchgeführt. Eine ausreichende Reposition war damit nicht immer möglich und das Risiko der Hüftkopfnekrose nicht ganz beseitigt.

Prof. Dr. med. Reinhold Ganz revolutionierte in den 80erJahren in Bern die gelenkerhaltende Hüftchirurgie auf der Basis der neusten Kenntnisse der Blutversorgung des Hüftkopfs. Er verfeinerte die Technik der offenen Reposition in Seitenlage über eine Trochanter-Flip-Osteotomie (Abb. 3 und 4). Diese Technik erlaubt die bestmögliche Darstellung und damit eine anatomische Reposition der Kalotte. Sie ist mit einer niedrigen Komplikationsrate verbunden. Aus diesem Grund wird sie auch bei milderem Abrutschen verwendet.

Offset-Störung
5 Intraoperative Aufnahme (Arthroskopie) mit ausgeprägter Offset-Störung (metaphysäre Vorwölbung am Kopf-Hals-Übergang) bei Epiphysiolysis capitis femoris. Diese Vorwölbung mit Ostoephyten (Pfeil) wird intraoperativ arthroskopisch abgetragen

Minimal-invasive Operationstechnik

Dank der grossen Fortschritte, die auf dem Gebiet der arthroskopischen Hüftchirurgie (Hüftspiegelung) stattfanden, wird in der Schulthess Klinik in Zusammenarbeit mit unserem Hüftspezialisten PD Dr. med. M. Leunig (Chefarzt Untere Extremität) die minimal-invasive arthroskopische Abtragung der metaphysären Vorwölbung mit der percutanen In-situ-Fixation des Hüftkopfs mit einer zentralen Schraube kombiniert (Abb. 5, 6, 7). Diese neue Operationstechnik erlaubt die Wiederherstellung einer normalen Hüftmechanik und ist mit der kleinsten Morbidität verbunden.

Abtragung der metaphysären Vorwölbung
6 Postoperativ nach Epiphysiolysis capitis femoris links nach Abtragung der metaphysären Vorwölbung am Kopf-Schenkelhals-Übergang
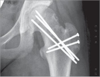
In-situ-Fixation
7 Postoperatives Bild nach In-situ-Fixation sowie Offset-Korrektur (Pfeil von vorne) links

Die Schulthess Klinik bietet eine optimale interdisziplinäre Versorgung von Kindern und Jugendlichen: Durch die enge Zusammenarbeit mit dem Hüftspezialisten PD Dr. med. M. Leunig können wir hier die arthroskopische Offset-Korrektur wie auch die offene Reposition nach Trochanter-Flip-Osteotomie (mit gleichzeitiger Fixation durch das kinderorthopädische Team) anbieten. Diese Techniken ermöglichen die beste Versorgung, um die spätere Funktion des Gelenks zu gewährleisten.

Ich bin Zuweiser und möchte einen Patienten anmelden.

Ich bin Patient und möchte einen Termin vereinbaren.