Vorfussdeformität bei rheumatoider Arthritis
Die 42-jährige Patientin leidet seit ihrem 13. Lebensjahr an rheumatoider Arthritis. Schubartige Entzündungen vor allem der Zehengrundgelenke haben im Laufe der Zeit zu Arthrosen dieser Gelenke geführt; durch Beteiligung der Mittelfussköpfchen wurden die Gelenke destruiert. Es hat sich typischerweise ein Spreizfuss mit kontrakten Hallux valgus und Hammerzehendeformitäten entwickelt, weswegen die Patientin Probleme hat, passendes Schuhwerk zu finden. Am Vorfussballen haben sich ausserdem, verursacht durch Druck der Hammerzehen auf die Mittelfussköpfchen, schmerzhafte Schwielen entwickelt; diese Symptomatik wird als Metatarsalgie bezeichnet und erschwert das Barfussgehen.
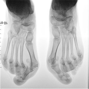
Die Röntgenaufnahmen beider Füsse zeigen, dass es bereits zu schweren Veränderungen der Zehengrundgelenke gekommen ist. Diese weisen Fehlstellungen auf, die Grundgelenke 2–5 sind ausgerenkt. Die Köpfchen der Mittelfussknochen sind destruiert und weisen Formveränderungen auf. Wenn bei schweren Vorfussdeformitäten Masseinlagen und die Anpassung des Schuhwerkes die Beschwerden nicht mehr ausreichend lindern, ist ein chirurgisches Vorgehen indiziert, die Erfolgsaussichten sind hierbei insgesamt gut.
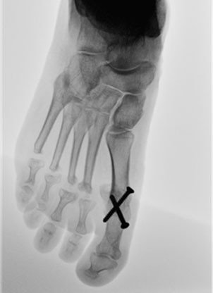
Bei schwerer Arthrose der Zehengrundgelenke mit Formveränderung der beteiligten knöchernen Strukturen und sehr kontrakten Fehlstellungen der Zehen ist es sinnvoll, die luxierten, praktisch funktionsuntüchtigen Gelenke zu entfernen. Die Hallux valgus – Deformität wurde unter Versteifung des Grosszehengrundgelenkes aufgerichtet, die 2. bis 5. Mittelfussköpfchen wurden entfernt, die Hammerzehen wurden unter Entfernung der prominenten Zwischengelenke stellungskorrigiert.
Dieser Eingriff konnte in Lokalanästhesie des Fusses durchgeführt werden, die Patientin blieb zwei Nächte im Spital. Die Nachbehandlung erfolgte in einem Barouk – Schuh für sechs Wochen, mit welchem eine Vollbelastung erlaubt war. Damit die Zehen 2 – 5 nach Entfernung der Mittelfussköpfchen nicht erneut ein Fehlstellung entwickeln, wurden sie währenddessen mit Kirschnerdrähten fixiert. Diese konnten anlässlich der ersten Röntgenkontrolle in der Sprechstunde entfernt werden. Die Erholungszeit nach diesem umfangreichen Eingriff benötigte mehrere Monate, da es über einen längeren Zeitraum zu Schwellungen des Fusses kommen kann.
Die Entfernung der Mittelfussköpfchen hat mehrere Vorteile: die dauerhaft entzündeten Gelenke sind nicht mehr vorhanden, ausserdem erreicht man eine Entspannung der äusserst kontrakten Weichteile, ohne welche die Rezentrierung der luxierten Zehen kaum gelingen würde. Metatarsalgien werden zuverlässig beeinflusst, Barfussgehen ist wieder möglich. Die Langzeitergebnisse dieser Operation sind sehr gut, die Patienten bei regelrechtem Verlauf zufrieden; zu signifikanten funktionellen Einbussen kommt es in der Regel nicht.


