Traumatisiertes Os trigonum
Das Fallbeispiel einer Balletttänzerin zeigt, dass akzessorische Knochen vor allem bei Sportlern zu einem Problem werden können, das meist nur chirurgisch behoben werden kann.
Eine 15-jährige Balletttänzerin verspürt seit zwei Jahren zunehmende Schmerzen im Rückfussbereich oberhalb der Ferse, speziell beim Spitzentanz. Nach entsprechender Schonung klingen die Beschwerden jeweils ab. Eine längerfristige Ruhigstellung und die regelmässige Durchführung einer physiotherapeutischen Behandlung brachten keine nachhaltige Besserung. Auch die Einnahme von Schmerzmitteln konnten die Schmerzen nicht ausreichend lindern. Aufgrund der Problematik ist es der Patientin somit nicht möglich, den gehegten Ambitionen im Balletttanz gerecht zu werden.
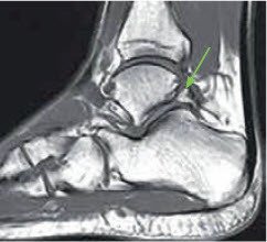
Bei der klinischen Untersuchung fällt insbesondere die ausgeprägte Druckempfindlichkeit oberhalb der Ferse medial und lateral der Achillessehne auf. Die Schmerzen können durch eine forcierte Beugung im Sprunggelenk verstärkt werden. Bei der bildgebenden Untersuchung, unter anderem anhand eines Kernspintomogramms, ist ein Os trigonum erkennbar.
Das Os trigonum wird bei der Überführung des Fusses in die Spitzfussstellung zwischen den umliegenden Knochen eingeklemmt, was schmerzhaft ist. Aufgrund des Leidensdrucks der Patientin und angesichts der Korrelation zwischen klinischem und bildgebendem Befund wird die Indikation zur Entfernung des störenden Os trigonum gestellt. Die Operation wird in lokaler Anästhesie durchgeführt. Die sensiblen fussversorgenden Nerven werden unmittelbar oberhalb des Innen- und Aussenknöchels betäubt. Die Patientin liegt auf dem Bauch, wobei der Fuss auf einem Spezialkissen gelagert ist.

Mittels zweier kleiner Schnitte werden links und rechts der Achillessehne die Zugangsportale unmittelbar oberhalb der Ferse gelegt. Über einen Zugang wird eine Kamera, über den zweiten werden die notwendigen Instrumente eingeführt. Auf diese Weise kann das Os trigonum dargestellt und vom umliegenden Gewebe gelöst werden. Über den einen Zugang wird es dann entfernt. Abhängig von der Grösse kann es zuvor zerkleinert werden.
Nach der Operation trägt die Patientin zwei Wochen lang eine Unterschenkelschiene und verwendet zur Entlastung des Gelenks über diesen Zeitraum Unterarmgehhilfen. Nach einer Woche wird die physiotherapeutische Behandlung mit abschwellenden Massnahmen sowie Übungen zur Unterstützung der Gelenkbeweglichkeit und zum Belastungsaufbau aufgenommen. Da es sich um einen minimal-invasiven Eingriff handelt, sind die Patienten in der Regel rasch wieder mobil.


Beim Os trigonum handelt es sich um einen angeborenen sogenannten akzessorischen (zusätzlichen) Knochen, der bei etwa 7 Prozent der Bevölkerung auftritt. Im Verlauf der körperlichen Entwicklung kommt es in bestimmten Skelettregionen zur Verschmelzung von Knochenkernen. Bei ausbleibender Verschmelzung können derartige akzessorische Knochen entstehen, so auch das Os trigonum, welches eigentlich zwischen dem 8. und 11. Lebensjahr mit dem Sprungbein verschmelzen sollte. Es befi ndet sich hinter dem Sprunggelenk und vor der Achillessehne. Dabei muss das Os trigonum nicht unbedingt Beschwerden verursachen. Es sind vor allem sportlich aktive Patienten, wie zum Beispiel Fussballspieler oder Balletttänzer, die im Lauf ihrer Karriere mit Beschwerden konfrontiert werden. Auch ein Umknicken des Fusses kann Schmerzen hervorrufen, die nur langsam oder eben gar nicht mehr vollständig abklingen.
Generell versucht man, die Beschwerden zunächst nichtoperativ mittels Schonung und physiotherapeutischer Behandlung anzugehen. Manchmal kann eine gezielte röntgengesteuerte Cortison-Spritze Linderung verschaffen. Bei sehr aktiven Patienten wie zum Beispiel Sportlern ist allerdings in den meisten Fällen ein chirurgisches Vorgehen notwendig.