Schneiderballen (Bunionette Deformität) Ein Fussproblem auch schon im jungen Lebensalter
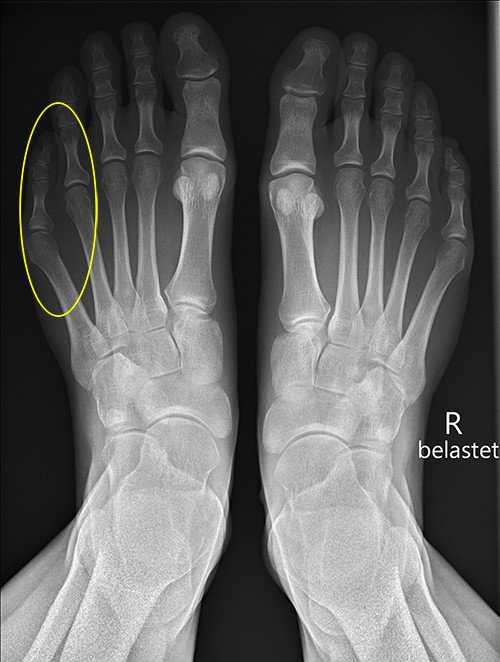
In unserer ambulanten Sprechstunde wird eine 23-jährige Patientin vorstellig. Sie ist Studentin und arbeitet Teilzeit bei einem grossen Schweizer Bankunternehmen. Seit ca. 2 Jahren leidet die junge Frau nun zunehmend an Beschwerden der äusseren Fusskante links, ausgelöst hauptsächlich durch Druck in geschlossenem Schuhwerk und verstärkt bei grösseren Belastungen. Eine Therapie ist bisher noch nicht erfolgt. Der rechte Fuss zeigt vom Aussehen her zwar die gleiche Form, diese hat bisher noch nicht zum Auftreten von Beschwerden geführt.
Bei der klinischen Untersuchung fällt eine Fehlstellung der fünften Zehe und des dazugehörigen Mittelfussknochens auf. Im Bereich der Fussaussenkante ist der Fuss nach aussen gewölbt und drückt hier sehr stark im Schuhwerk. Unsere medizinische Diagnose ist eine Bunionette Deformität – auch Schneiderballen genannt. Es zeigt sich eine deutliche Druckstelle mit Hornhautbildung, Entzündungszeichen fehlen. Die Therapiewahl hängt von der Stärke der Beschwerden ab. Bei leichteren Beschwerden kann versucht werden die Stelle abzupolstern, die Zehen mit einem Zehenspreizer zu trennen oder einfach nur weitere Schuhe zu tragen.

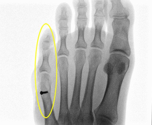
Sollte der Leidensdruck des Patienten gross sein und eine dauerhafte Lösung gewünscht werden, kann mit einer Operation in örtlicher Betäubung (Fussblock) Abhilfe geschaffen werden. Hierfür wird die Haut, nach der sicheren Betäubung, mit einem kleinen Schnitt eröffnet, der Mittelfussknochen des 5. Strahles durchtrennt und etwas nach medial (innen) geklappt. Diese Operation nennt man «adduzierende Metatarsale 5 Osteotomie». Der durchtrennte Knochen wird mit einer kleinen Schraube fixiert, welche man in der Regel nicht entfernen muss. Falls die Schraube jedoch stört, kann sie entfernt werden. Nach der Operation muss ein Spezialschuh (Vorfussentlastungsschuh) für ca. vier Wochen getragen werden. Die äussere Fusskante steht nicht mehr so weit nach aussen, die Beschwerden verschwinden. Der stationäre Aufenthalt war zwei Nächte lang.
Unsere Patientin stellt sich sechs Wochen nach der Operation erneut in unserer Sprechstunde zur Kontrolle vor, zuvor war sie durch ihren Hausarzt ohne Auftreten von Problemen betreut worden, meist wird eine Nachbehandlung direkt bei uns durchgeführt. Nach vier Wochen wurde eine Röntgenaufnahme der Patientin – auf Wunsch der Patientin - beim Hausarzt angefertigt und hier eine zunehmende Durchbauung (Heilung) des Knochens festgestellt.

Die Patientin konnte ab diesem Zeitpunkt nun langsam versuchen wieder normales Schuhwerk zu tragen, dies ist aufgrund der meist noch bestehenden Schwellung nicht immer schnell möglich. Manchmal muss das Tragen der normalen Schuhe schrittweise geübt werden. Die Patientin ist mit dem Ergebnis der Operation sehr zufrieden, berichtet über nahezu keinerlei Beschwerden mehr, sie trägt bei der Konsultation bei uns bereits normales Konfektionsschuhwerk, allerdings noch mit flacher Sohle. Es besteht noch eine leichte Schwellung, diese kann noch Monate nach der Operation vorhanden sein. Eine physiotherapeutische Beübung wurde der Patientin zum schnelleren Abschwellen des Fusses angeboten, sie wollte darauf verzichten. Sportliche Aktivitäten wie Tennis können erst nach ca. 3 Monaten wieder begonnen werden. Später können auch wieder Schuhe mit Absatz getragen werden. Wir empfehlen noch eine Narbensalbe, um die Narbe schneller weniger sichtbar zu machen sowie einen adäquaten Sonnenschutz, insbesondere über den Sommer, um Überpigmentierungen der Narbe zu vermeiden.
Die Patientin weiss, dass sie sich jederzeit bei Fragen oder Besonderheiten erneut bei uns vorstellen kann und möchte sich, sobald Beschwerden am anderen Fuss auftreten erneut zu einer Operation in der Fusschirurgie melden.