Schmerzhafter Knick-Senkfuss: Wie behandeln?
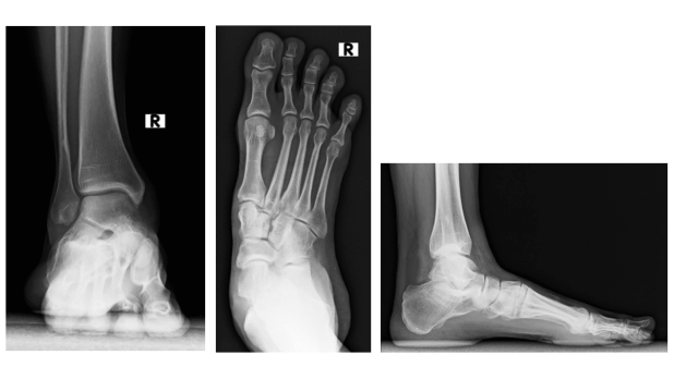
Bei einer 39-jährigen Physiotherapeutin ist seit der Kindheit ein Knick-Senkfuss bekannt. Trotz konsequentem Tragen orthopädischer Schuheinlagen leidet sie unter zunehmenden Beschwerden an der Innenseite des rechten Rückfusses.
Bei einem Knick-Senkfuss weicht der Rückfuss nach aussen ab, während sich das Längsgewölbe abflacht. Dadurch kommt es zur Überlastung der Innenbänder sowie der, für den Erhalt des Längsgewölbes wichtigen, «Tibialis posterior»-Sehne. Ab einem bestimmten Grad der Deformität kann es zu den von der Patientin geschilderten Beschwerden am innenseitigen Rückfuss kommen.
Bei sehr fortgeschrittenen Fehlstellungen können Schmerzen sogar auf der Aussenseite des Rückfusses auftreten, im Sinne eines sogenannten «Sinus-tarsi-Syndrom» oder einem knöchernen Konflikt zwischen Fersenbein und Aussenknöchelspitze.

Rechts: Abweichung des Fusses zur Aussenseite.

In der klinischen Untersuchung zeigten sich die Rückfussgelenke noch gut beweglich und die Deformität somit redressierbar, das heisst der Fuss konnte durch manuellen Druck in eine korrekte Form übergeführt werden. Bei der Untersuchung fiel allerdings - wie häufig anzutreffen - zusätzlich eine Verkürzung der Wadenmuskulatur auf, welche über den Zug der Achillessehne am Fersenbein den Rückfuss zur Seite hin abweichen lässt.
Um nun der Überlastung des Innenbandapparates und der stabilisierenden Sehne entgegenzuwirken, muss das Fusslängsgewölbe wieder aufgerichtet und der Auftrittspunkt der Ferse unter die Beinachse gebracht werden.
In vorliegendem Fall bietet sich eine sogenannte medialisierende Calcaneusosteotomie (Abb. 4) und/oder eine Verlängerung der lateralen Säule (Abb. 5) an. Bei der medialisieren Calcaneusosteotomie wird das Fersenbein durchtrennt, in Richtung Körpermitte verschoben und mit einer Schraube fixiert.

Rechts: Verlängerung der lateralen Säule (rote Markierung).
Die Verlängerung der lateralen Säule, also des Fussaussenrandes, kann mit verschiedenen Methoden bewerkstelligt werden.
Eine Möglichkeit ist die Durchtrennung des Fersenbeins im vorderen Anteil und Einfügen eines Knochenstückes aus dem Beckenkamm (Abb. 6). Hierdurch wird der Fussaussenrand verlängert und gleichzeitig das innere Längsgewölbe wieder aufgerichtet. Im Zuge dessen kommt es zu einer Entlastung des Innenbandapparates sowie der oben erwähnten stabilisierenden Sehne. Bei zusätzlich verkürzter Wadenmuskulatur kann diese verlängert werden. Ob dieser Schritt notwendig ist, wird während der Operation entschieden.
Wegen grossem Leidensdruck und ausgeschöpfter konservativer Therapie wurde gemeinsam mit der Patientin der Entschluss zur Operation gefasst.
Wie oben beschrieben wurde der vordere Fersenbeinanteil durchtrennt und ein etwa 8 mm grosses Knochenstück aus dem Beckenkamm eingesetzt. Zusätzlich wurde bei deutlich erhöhter Spannung der Wadenmuskulatur die Achillessehne am Übergang zur Muskulatur verlängert. Hierzu wird die Haut über dem Muskelsehnenspiegel auf etwa 4 cm eingeschnitten und die darunterliegenden Sehnenspiegel der Wadenmuskeln quer eingekerbt, bis die gewünschte Verlängerung erreicht ist.

Allein durch die Korrektur der Fussaussenrandlänge richtete sich die Rückfussachse gut auf, womit auf die Umstellung des Fersenbeines (medialisierende Calcaneus-Osteotomie) verzichtet werden konnte. Den Vergleich der Fussstellung vor und nach der Operation demonstrieren die Abb. 7 und 8.
Nach der Operation erfolgte eine Ruhigstellung in einem Orthese-Stiefel mit Teilbelastung von 15 kg für 8 Wochen. Nach korrekten Verhältnissen bei der radiologischen Kontrolle konnte nach diesen 8 Wochen in normalem Konfektionsschuhwerk auf Vollbelastung übergegangen werden. Eine überwiegende Beschwerdefreiheit wurde bereits 3 Monate nach der Operation erreicht mit anschliessendem Aufbau der sportlichen Aktivitäten.

