Plötzlich entsteht ein Hammerzeh: Läsionen der plantaren Platte
Eine 53-jährige Frau stellte sich vor mit Schmerzen im Bereich des Vorfusses beim Abrollen. Diese Beschwerden begannen ohne erinnerlich Ursache einige Monate zuvor und nahmen an Intensität zu. Bis dahin traten immer wieder Beschwerden auf im Bereich eines bereits lange vorbestehendem Hallux valgus, welcher nach einer Operation vor Jahren wieder aufgetreten war.
Die Untersuchung bestätigte eine typische, mittelgradige Hallux valgus Fehlstellung. Zusätzlich jedoch auch durch Druck auslösbare Schmerzen am Fussballen, genau unter dem Grundgelenk der zweiten Zehe. Die Stellung derselben war unauffällig, ebenso wie die Beweglichkeit. Die Röntgenbilder zeigten neben der Hallux valgus-Fehlstellung eine höchstens leichte relative Überlänge des zweiten Mittelfussknochens.

Bei entsprechendem Leidensdruck wurde eine operative Versorgung des Hallux valgus geplant, sowie die Verkürzung des zweiten Mittelfussknochens, um die dort bestehende Überlastung zu reduzieren. Einige Wochen vor dem geplanten Eingriff stellte sich die Patientin erneut vor, da sich innerhalb weniger Tage die Stellung der zweiten Zehe dramatisch verändert hatte, begleitet von deutlicher Schmerzzunahme.
Zu diesem Zeitpunkt zeigte sich eine sogenannte «Crossover 2nd Toe», also eine Abweichung der zweiten Zehe im Grundgelenk derart, dass diese über der ersten Zehe zu liegen kommt.

Der Grund dieser Fehlstellung ist ein Riss der sogenannten plantaren Platte. Die plantare Platte entspricht einer Verdickung der Gelenkskapsel unter dem Grundgelenk der Zehen. Sie spielt eine zentrale Rolle für die Stabilität des Gelenkes. Die Hallux valgus Fehlstellung führt dazu, dass der erste Mittelfussknochen beim Abrollen ausweicht. Die Folge ist eine schmerzhafte Überlastung des Grundgelenkes der zweiten Zehe, eine sogenannte Transfermetatarsalgie. Die relative Überlänge des zweiten Mittelfussknochens verstärkt diesen Effekt.
Die mechanische Überlastung führte in diesem Fall zu einer schmerzhaften allmählichen Ausdünnung der plantaren Platte und schlussendlich zu einem Riss. Dies markiert den Beginn einer Hammer-/Krallenzehenfehlstellung. Der Riss begann auf der Aussenseite, was zur Abweichung über den grossen Zeh führte.
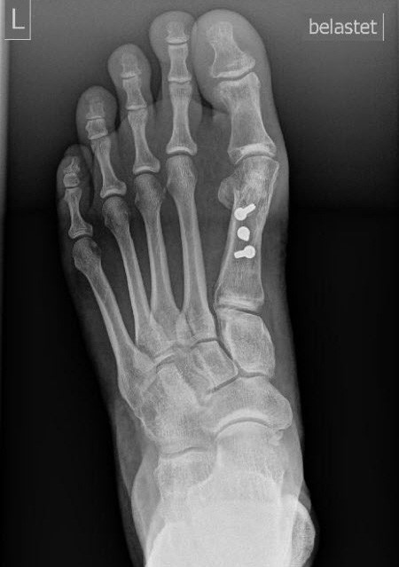
Der geplante Eingriff wurde um die Reparatur der plantaren Platte erweitert und konnte 2 Wochen später durchgeführt werden. Die direkte Reparatur der plantaren Platte stellte lange ein technisches Problem dar, da sie unter den Gelenken in der belasteten Zone des Fussballens gelegen ist. Narben in diesem Bereich werden nicht gut vertragen und führen oft zu lang andauernden Beschwerden. Mittlerweile ist die direkte Reparatur von oben möglich, indem man die Platte durch die Grundgelenke hindurch erreicht. 4 Wochen nach der Operation konnte die Patientin vom Vorfussentlastungsschuh auf normales Konfektionsschuhwerk wechseln. Ein Jahr nach dem Eingriff läuft die Patientin schmerzfrei, die Stellung der Zehen blieb seither unverändert.
