Klumpfussdeformität
Im Jahr 2006 stellt sich eine damals 35-jährige Patientin erstmals in der fusschirurgischen Sprechstunde der Schulthess Klinik vor. Sie berichtet, dass sie im Kindesalter unter einer angeborenen Klumpfussdeformität links gelitten habe, weshalb im ersten Lebensjahr eine Operation mit Achillessehnenverlängerung durchgeführt wurde. Zunächst bestanden für sie keine Probleme, sie habe regelmässig Physiotherapie absolviert und die Achillessehne gedehnt. Insgesamt konnte sie bis ins Jugendalter ein normales und unbeschwertes Leben führen und Sport treiben.

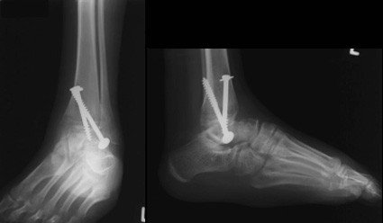
Ein Jahr später wurden die Schrauben der Versteifungsoperation entfernt. Die Patientin fühlte sich wohl und war hiernach für circa 10 Jahre schmerzfrei. Dann stellten sich erneut Schmerzen in dem versteiften «Gelenk» ein. Zudem kamen Schmerzen im Bereich des unteren Sprunggelenkes. Ein Hitzegefühl bestand im Sprunggelenk.
Die Patientin konsultierte erneut Ärzte, um eine Behandlung durchführen zu lassen. Es zeigte sich radiologisch eine Arthrose im Bereich des unteren Sprunggelenkes. Schliesslich wurde ihr angeraten, das untere Sprunggelenk aufgrund der schmerzhaften Arthrose versteifen und einzeitig die Versteifung des oberen Sprunggelenkes rückgängig machen zu lassen und ein Kunstgelenk implantieren zu lassen, um eine komplette Steifigkeit des Rückfusses zu vermeiden. Die Patientin willigte ein und liess die Operation im Februar 2002 durchführen.

Die Patientin berichtet, dass sie seit diesem Eingriff nie mehr schmerzfrei gewesen sei und für vier Jahren an Stöcken gelaufen sei. Die Operation habe zudem keine signifikante Beweglichkeit im oberen Sprunggelenk erbracht, da die umgebenden Weichteile durch die Versteifungsoperation geschrumpft waren und sich nicht dehnen liessen. Sie habe kaum ihren Alltag bewältigen können, stehen und gehen sei mit erheblichen Schmerzen verbunden gewesen.
Im Jahr 2006 stellt sich die Patientin in der Fusschirurgie der Schulthess Klinik vor. Die Untersuchung zeigte ein hinkendes Gangbild mit Entlastung des linken Fusses. Der Fuss selbst zeigte eine Fehlstellung als Residuum der angeborenen Klumpfussdeformität. Das Bewegungsausmass im Bereich des oberen Sprunggelenkes betrug 5° nach oben und 10° nach unten. Das gesamte Gelenk stellte sich überwärmt und druckschmerzhaft dar. Die im Rahmen der Konsultation durchgeführten Röntgenaufnahmen zeigten, dass die untere Prothesenkomponente, welche im Bereich des Sprungbeines verankert ist, nach unten eingesunken war. Die Schraube, die diese Komponente fixiert war gebrochen. Es bestand der Verdacht einer Nekrose (=abgestorbener Knochen) im Bereich des Sprungbeines.
Mit der Patientin wurden die möglichen Optionen besprochen. Der Wechsel der Prothese erschien nicht sinnvoll, da die Verankerung der «neuen» Prothese in einem nekrotischen Knochen nicht zu einem stabilen Einwachsen des Knochens in die Prothese führen würde. Zudem waren die Aussichten auf eine Verbesserung der Gelenkbeweglichkeit nicht gegeben.
Von konservativer Seite bestanden keine zielführenden Therapieoptionen, so dass es am sinnvollsten erschien, die Prothese auszubauen und eine erneute Versteifung des oberen Sprunggelenkes durchzuführen, um stabile Verhältnisse und eine möglichst schmerzfreie Belastung zu erreichen.
Anfang 2007 wurde die Operation an unserer Klinik durchgeführt.
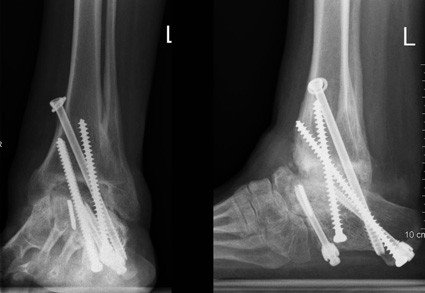
Intraoperativ zeigte sich, dass die Prothesenkomponente des Sprungbeines und der Anteil des Schienenbeines beide gelockert waren. Der unter der Sprungbeinprothese liegende Knochen zeigte eine ausgeprägte Metallose (=Metallabrieb), die wahrscheinlich durch Schrauben zustande kam, die in der vorgängigen Operation zur Versteifung des unteren Sprunggelenkes verwendet wurden. Der Knochen stellte sich avital und nekrotisch dar. Der nekrotische Knochen muss abgetragen werden bis gesunder, gut durchbluteter Knochen erscheint. Zur Defektfüllung nach Entfernung der Prothesenkomponenten wird der Patientin Knochen aus dem Beckenkamm entnommen und in die Löcher eingelegt. Ergänzend muss Knochenfremdmaterial aus der Knochenbank verwendet werden, um die Defekte ausreichend füllen zu können.
Postoperativ erhielt die Patientin einen Unterschenkelgips für insgesamt drei Monate, eine CT-Untersuchung wurde drei Monate postoperativ geplant, um genau beurteilen zu können, ob der Knochen zusammenwächst.
Die Schichtaufnahmen drei Monate nach der Operation zeigten einen vollständigen Durchbau des Knochens, so dass die Patientin die Belastung auf den Fuss steigern durfte. Zum Schutz trug sie zunächst einen Spezialstiefel für einen weiteren Monat, hiernach wurden Schuhe mit Abrollkomponente angefertigt. Acht Monate nach der Re-Arthrodese stellt sich die Patientin zur regulären Kontrolluntersuchung in unserer Sprechstunde vor.
Sowohl die Ruhe-, als auch die Belastungsschmerzen, unter welchen sie vor der Operation gelitten hatte, waren verschwunden.
Sie berichtet, den gesamten Tag den Fuss belasten und sich um ihre beiden Kleinkinder kümmern zu können. Auch Familienwanderungen von 4 bis 5 Stunden seien gut möglich. Die Patientin ist sehr zufrieden mit dem postoperativen Ergebnis, die Behandlung wurde abgeschlossen und eine Wiedervorstellung im Bedarfsfall vereinbart.

Im März 2011 erfolgte eine notfallmässige Konsultation der Patientin in unserer Sprechstunde. Sie berichtete über plötzlich aufgetretene Schmerzen im Bereich des oberen Sprunggelenkes. Es bestehe ein Hitzegefühl mit Schwellung, der Fuss sei nicht mehr belastbar. Gegen die Schmerzen müsse sie grosse Mengen an Schmerzmittel einnehmen. Ein Unfall habe sich nicht ereignet.
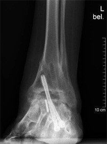
Klinisch zeigte sich eine Schwellung des Fusses mit Betonung der Sprunggelenkregion. Druckdolenzen finden im gesamten Rückfussbereich. Die durchgeführten Röntgenaufnahmen ergaben den Verdacht einer pseudarthrotischen Situation, was bedeutet, dass die im Jahr 2007 durchgeführte Versteifungsoperation sich vermutlich aufgrund einer neuerlichen Nekrosebildung aufgelöst hatte.


Zur weiteren Diagnostik erfolgte die Durchführung einer Computertomographie. Hier zeigt sich eine partielle Nekrose im Bereich der durchgeführten Arthrodese des oberen Sprunggelenkes. Vermutlich hat ein Teil des seinerzeit eingebrachten Knochens keinen adäquaten Anschluss an die Durchblutung gefunden und ist nekrotisiert.

Dies machte eine erneute Operation im Bereich des oberen Sprunggelenkes erforderlich. Mit der Patientin wurden die Therapieoptionen besprochen. Als einzige praktikable Lösung erscheint die Durchführung eines Debridements des nekrotisierten Bereiches und damit verbundener neuerlicher Verschraubung des oberen Sprunggelenkes.
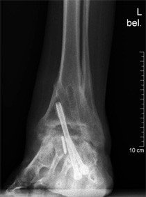
Im März 2011 erfolgte eine erneute Operation des oberen Sprunggelenkes mit Einlage von Fremdknochen in die debridierte Defektregion. Der intraoperative optische Aspekt des Knochens zeigte ebenso wie im CT eine Nekrotisierung, die Knochensubstanz stellte sich weich dar. Zahlreiche Gewebeproben wurden während der Operation entnommen und zur bakteriologischen Untersuchung eingeschickt. Die Proben zeigten ein seltenes Keimwachstum, was eine Antibiotikaeinnahme über mehrere Monate erforderlich machte.
Inzwischen sind vier Monate seit der letzten Operation vergangen. Die Heilung im Bereich des rearthrodesierten oberen Sprunggelenkes verläuft regelrecht. Sechs Wochen nach der Operation wurde eine CT-Untersuchung zur Beurteilung der Situation durchgeführt. Die Aufnahmen zeigten eine beginnende knöcherne Durchbauung und ein Einwachsen des eingebrachten Fremdknochens.


Die Patientin hat einen langen Weg mit zahlreichen Operationen hinter sich gebracht. Aktuell verläuft die Rehabilitation wie gewünscht. Die präoperativen Schmerzen sind nicht mehr vorhanden, der implantierte Knochen konsolidiert und die Antibiotikaeinnahme konnte aufgrund wiederholt unauffälliger Blutbefunde sistiert werden. Wir hoffen sehr, dass diese Operation für die Patientin den letzten Eingriff bedeutet.