Höllische Schmerzen an der Zehenspitze – Schwannom Ein Fallbeispiel aus der Fusschirurgie
Eine Patientin litt an höllischen Schmerzen am 4. Zeh. Übeltäter war ein Schwannom, ein gutartiger Tumor der peripheren Nerven. Erfahren Sie im folgenden Fallbeispiel, wie es zur Diagnose kam und wie wir in unserer Fusschirurgie der Patientin helfen konnten.
Die 63-jährige Patientin litt seit längerer Zeit an einem punktuellen, mittlerweile unerträglichen Schmerz an der Spitze ihres 4. Zehs. Der von ihr als brennend bezeichnete Schmerz trat auf, sobald Druck auf die Zehe kam. Da sie keinen Schritt mehr schmerzfrei tun konnte, vermied sie jede nicht nötige Belastung. Wegen desselben Problems wurde ihr drei Jahre zuvor ein vermeintlich störender Knochenvorsprung am Endglied dieser Zehe entfernt. Der Schmerz verschwand danach jedoch nicht. Im Gegenteil, die Intensität nahm sogar zu.
Tumor als Übeltäter
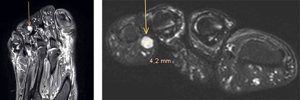
Als die Patientin erneut bei uns in der Fusschirurgie vorstellig wurde, konnte sie den Schmerz gut an der Innenseite der Zehenspitze lokalisieren. Bei der Untersuchung liess sich an dieser Stelle in den Weichteilen eine kleine kugelige, stark druckempfindliche Struktur tasten. Bei Durchsicht des mitgebrachten MRI konnten wir eine dazu passende Formation von ca. 4 mm Durchmesser identifizieren.

Rechts: Die Grösse des Tumors konnte mit ca. 4 mm bestimmt werden.
Aufgrund des starken Leidensdrucks schlugen wir der Patientin vor, diesen Befund baldmöglichst entfernen zu lassen. Den kleinen Eingriff konnten wir ambulant in Lokalanästhesie, d.h. im Zehenblock durchführen.
Intraoperativ fand sich ein kleiner weisslicher solider Tumor, den wir vom umgebenden Gewebe gut abgrenzen und somit problemlos komplett entfernen konnten.

Rechts: Der Tumor nach der Entfernung
Entfernung des Schwannoms bringt Schmerzbefreiung
Die histopathologische Untersuchung des Gewebes ergab, dass es sich hierbei um ein sogenanntes Schwannom handelte. Dies ist ein gutartiger, meist langsam wachsender Tumor der peripheren Nerven. Er entwickelt sich aus den sogenannten Schwann-Zellen, die die Hüll- und Stützschicht der Ausläufer der Nervenzellen bilden.
Nach Abheilung der kleinen Operationswunde war die Patientin von den – wie sie sich ausdrückte – höllischen Schmerzen befreit. Das Risiko eines Rezidivs, d.h. einer erneuten Entwicklung des Tumors, ist extrem gering.