Endoskopische Abtragung Haglund-Exostose
Eine 54-jährige Patientin klagt immer öfter über belastungsabhängige Schmerzen an der rechten Ferse. Bei der klinischen Untersuchung fällt ein auf Druck auslösbarer Schmerz im Ansatzbereich der rechten Achillessehne auf.
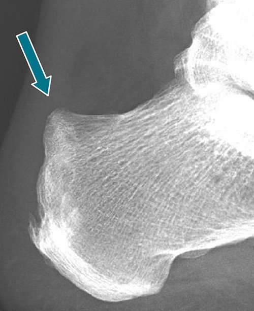
Auf dem konventionellen Röntgenbild kann eine sogenannte Haglund-Fersenkonfiguration nachgewiesen werden (Abb. 1).
 
  Nachdem die Patientin über Monate von den bisherigen nicht-operativen Behandlungen nicht profitieren konnte, wird die Indikation für eine Entfernung des Überbeins mittels minimal-invasiver Operationstechnik (2 kleine Schnitte) gestellt. Der Eingriff kann problemlos in Lokalanästhesie nur am Fuss selbst, d. h. im Fussblock, durchgeführt werden.
Die Befunderhebung während der Operation bestätigt einen Konflikt zwischen Sehne und Überbein.
Das Überbein wird mittels Meissel und Abschleifgerät unter Schutz des Achillessehnenansatzes abgetragen (Abb. 2 bis 5).
 
  Abb. 3 (rechts): Abmeisseln des Knochens
 
  Abb 5: Röntgenbild nach der Operation: Das Überbein ist weg
Die Patientin darf den Fuss nach der Operation in einer Schiene nach Massgabe der Beschwerden voll belasten. Bereits 3 Wochen nach der Operation sind die ursprünglichen Schmerzen am Achillessehnenansatz nicht mehr vorhanden.
Mit der endoskopischen Abtragung der Haglund-Exostose steht uns eine minimal invasive Technik zur Verfügung, mit der nach der Operation eine rasche Erholung und Mobilisation möglich ist. Zu bedenken gilt, dass nicht alle Fälle dafür geeignet sind. So müssen Patienten mit einer grösseren Exostose oder mit ausgeprägter Verkalkung und Verknöcherung der Achillessehne im Ansatzbereich nach wie vor mit der offenen Methode versorgt werden.