alert-checkalert-circlealert-trianglearrowassignmentbg-s-outlinesbg-sburger-whiteburgercalendarcheckclosedownloaddropdownemailFacebook iconheartinfoInstagram iconlinkLinkedIn iconlocationlocknbk_assignmentnbk_contactnbk_drivenbk_emergencynbk_servicesnbk_specialistphonesearchshow-morex_negXing iconYouTube iconyoutube2

Bunionette-Deformität oder Schneiderballen nur vermeintlich ein Überbein

Die gesunde 49-jährige Patientin stellte sich mit stark beeinträchtigenden Schmerzen an der Fussaussenseite links vor, die sie gut ein Jahr nach einer auswärts durchgeführten Bunionette-Korrektur mit Abtragung eines «Überbeins» immer noch hatte.

Bei der Bunionette-Deformität – auch Schneiderballen genannt – handelt es sich um eine Fehlstellung des 5. Mittelfussknochens mit aussenseitiger Verbreiterung des Fusses. Nicht alle Betroffenen entwickeln Beschwerden, unter Umständen können sich aber zunehmend unerträgliche Druckschmerzen in geschlossenen Schuhen entwickeln, die die Patienten zum Arzt führen. Klinisch zeigt sich eine Rötung seitlich am 5. Mittelfussköpfchen, nicht selten begleitet von einer schmerzhaften Schleimbeutelentzündung.

Die Behandlungsmöglichkeiten beim Auftreten von Symptomen sind hier leider beschränkt. Einlagen mit «Anheben» des Quergewölbes haben meistens den Effekt, dass der Platzmangel im Schuh zunimmt. So kommen zunächst die üblichen entzündungshemmenden und druckentlastenden Massnahmen zum Einsatz, ferner sollten breite Schuhe mit weichem Obermaterial getragen werden. Wenn dies keine Besserung bringt oder dauerhaft nicht akzeptiert werden kann, kann ein operativer Eingriff helfen.

Die Ursache dieser spezifischen Beschwerden ist nicht die Entwicklung eines vermeintlichen Überbeins, sondern vielmehr eine zunehmende Fehlstellung des 5. Mittelfussknochens «nach aussen». Das «Überbein» entspricht einer ganz normalen anatomischen Struktur, nämlich dem 5. Mittelfussköpfchen. Demzufolge ist es ein Fehler, dieses «Überbein» abzutragen, auch wenn dies als einfachste Lösung nahegelegt wird. Vielmehr muss der 5. Mittelfussknochen, der eine wichtige tragende Funktion hat, nach «innen» gerichtet werden, um ihm seine normale anatomische Stellung wiederzugeben.

Unsere Patientin hatte nach der oben erwähnten Operation mit alleiniger Abtragung des «Überbeines» stärkere Beschwerden als vor dem Eingriff. Die Operationsnarbe hatte sich schmerzhaft verdickt, was das Tragen von engeren Schuhen unmöglich machte. Ihre kleine Zehe fühlte sich wie «leblos» an, hatte ausserdem keinen Bodenkontakt mehr.  Dies alles wirkte sich behindernd im Alltag bei der Ausübung sportlicher Aktivitäten aus.

Wir schlugen ihr vor, die immer noch vorhandene Fehlstellung des 5. Mittelfussknochens mittels einer sogenannten «adduzierenden Osteotomie» (= heranführender Knochenschnitt) dem 4. Mittelfussknochen anzunähern und das Grundgelenk der 5. Zehe zu «lösen», da diese keinen Bodenkontakt mehr hatte. Der etwa 20-minütige Eingriff ist in Lokalanästhesie allein des Fusses (Fussblock) mit Hospitalisation für eine Nacht möglich, anschliessend wird ein Vorfussentlastungsschuh unter erlaubter Vollbelastung während vier Wochen getragen. Ob allerdings die geschilderten Beschwerden zur Gänze verschwinden würden, konnten wir der Patientin nicht versprechen. Was zuverlässig bessert, sind die Druckbeschwerden an der Fussaussenseite.

Die Patientin entschied sich bei grossem Leidensdruck, den Eingriff machen zu lassen, wobei dieser und auch die Nachbehandlungsphase komplikationslos verliefen. Die Röntgenkontrolle vier Wochen postoperativ zeigte eine beginnende knöcherne Durchbauung des Knochenschnitts mit aufgerichtetem 5. Strahl, die korrekte Artikulation des Grundgelenks der 5. Zehe und die unveränderte Lage der einen Schraube, mit der der Knochenschnitt fixiert worden war. Somit war der Übergang auf Sportschuhe mit stabiler Sohle möglich, wobei der Fuss zwei Wochen lang noch nicht voll abgerollt werden sollte.

Anschliessend durfte die Belastung beschwerdeangepasst gesteigert werden. Bereits zweieinhalb Monate nach der Operation berichtete die Patientin über einen schmerzfreien und zufriedenstellenden Zustand ohne signifikante Einschränkungen im Alltag: sie war in der Lage, engere Schuhe anzuziehen, ihre 5. Zehe hatte guten Bodenkontakt, sogar die Missempfindungen in dieser Zehe waren verschwunden, womit wir nicht gerechnet hatten. Auch sportlich konnte sie sich wie gewünscht zunehmend engagieren – mit dem Joggen konnte sie etwa 4 Monate nach unserem Eingriff beginnen.

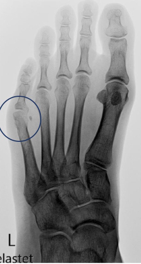
Bunionette-Deformität
Abb. 1: Bunionette-Deformität mit Abweichen des 5. Mittelfussknochens nach aussen vor der auswärts durchgeführten Abtragung des «Überbeins»
Zustand nach Abtragung des «Überbeines»
Abb. 2: Zustand nach Abtragung des «Überbeines»
Röntgenaufnahme vom linken Fuss
Abb. 3: Röntgenaufnahme vom linken Fuss vier Wochen postoperativ: der «adduzierende», d.h. «heranführende» Knochenschnitt wurde mit einer Schraube fixiert. Es zeigt sich eine korrekte Stellung des 5. Mittelfussknochens mit beginnender knöcherner Durchbauung

Ich bin Zuweiser und möchte einen Patienten anmelden.

Ich bin Patient und möchte einen Termin vereinbaren.