Arthrose im unteren Sprunggelenk – wenn Infiltrationen nicht mehr helfen
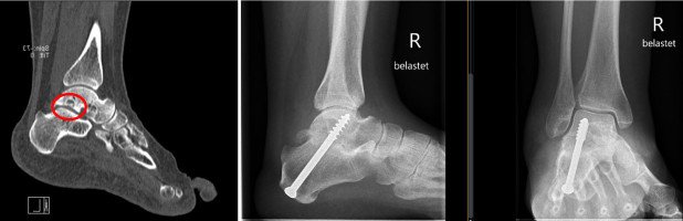
Eine 33-jährige Verkäuferin stellt sich im Rahmen unserer Sprechstunde mit belastungsabhängigen Rückfussschmerzen vor. Diese bestünden seit sie sich bei einem Treppensturz 8 Monate zuvor eine kleine Fraktur des Fersenbeins zugezogen habe. In der mitgebrachten MRI-Untersuchung sieht man degenerative Veränderungen des unteren Sprunggelenkes, welches sich zwischen Sprungbein und genanntem Fersenbein befindet. Die Fersenbeinfraktur begünstigte hier mit ihren Ausläufern ins Gelenk die degenerativen Veränderungen.
Bei Arthrosen im unteren Sprunggelenk – unabhängig davon, ob diese durch einen Unfall bedingt sind oder aufgrund degenerativer Veränderungen zustande kommen – besteht aus konservativer Sicht die Möglichkeit der Verwendung stabilen, hohen Schuhwerkes oder auch einer Infiltration mit Kortison und örtlichem Betäubungsmittel. Dabei bewirkt das Lokalanästhetikum eine vorübergehende Betäubung und das Kortison eine Beruhigung des gereizten Gelenkes, was zu einer längerfristigen Beschwerdelinderung/-freiheit führen kann. Somit dient diese Spritze nicht nur therapeutisch sondern auch diagnostisch: zeigt sie Wirkung, weiss man, dass der Schmerzfokus auch wirklich am Injektionsort liegt. Allerdings sind bei fortgeschrittenen Befunden die Erfolge der Infiltration meist leider nicht dauerhaft.
Eine weitere Therapieoption stellt dann lediglich das operative Vorgehen dar. Aufgrund der Komplexität des unteren Sprunggelenkes gibt es hier derzeit keine Möglichkeiten einer Prothese. Glücklicherweise kann aber eine Versteifung als sehr gute Therapieoption angeboten werden. Dies, da das untere Sprunggelenk von Natur aus eher einen kleinen Bewegungsumfang hat und die Anschlussgelenke zu einem gewissen Teil das durch eine Versteifung hervorgerufene Bewegungsdefizit kompensieren können.
So erfolgte bei der Patientin zunächst die konservative Therapie mit Anpassung der Schuhe, was leider nicht genügend Erfolg brachte.
Mittels der dann durchgeführten Infiltration konnte der Schmerz zumindest vorübergehend gelindert werden, kam aber nach einiger Zeit zurück. Da so aber zusätzlich nochmals das untere Sprunggelenk als Schmerzursache identifiziert werden konnte, entschlossen wir uns bei entsprechendem Leidensdruck der Patientin gemeinsam mit ihr für das operative Vorgehen und es erfolgte die Versteifung des unteren Sprunggelenkes.
Hiernach wurden der Fuss und der Unterschenkel mit einem speziellen Stiefel als Gips-Ersatz für 6 Wochen ruhiggestellt und das Bein mittels Unterarmgehstöcken mit maximal 15 kg belastet. Während dieser Zeit erfolgte die Thromboseprophylaxe mit einer Tablette, da ansonsten bei einer derartigen Ruhigstellung und Entlastung die Gefahr einer Thrombose erhöht wäre. 6 Wochen nach der Operation zeigte sich in der Röntgenaufnahme ein regelrechter Verlauf, so dass langsam zur Vollbelastung übergegangen werden konnte: der Spezialstiefel wurde noch für 2 Wochen getragen, die Stöcke immer mehr weggelassen. 2 Monate nach der Operation konnte die Patientin in normalem Konfektionsschuhwerk bereits laufen, wobei hier zunächst Schuhe mit einer stabilen Sohle und einer Abrollrampe im Vorfussbereich verwendet werden sollten. 3 Monate nach der Operation war die Patientin nahezu beschwerdefrei, die Versteifung in der Röntgenuntersuchung konsolidiert. 6 Monate nach der Operation präsentiert sich eine beschwerdefreie Patientin.
