Arthrose des unteren Sprunggelenkes nach Fraktur des Fersenbeines – nicht selten eine Erkrankung des jungen Menschen
Vorstellung einer 32jährigen Patientin in unserer Sprechstunde, welche sich im Vorjahr nach einem Sturz von einer hohen Mauer eine Fraktur des Fersenbeines zugezogen hatte (Abb. 1 und 2). Auswärtig wurde diese durch eine Plattenosteosynthese versorgt (Abb. 3), der postoperative Verlauf gestaltete sich soweit komplikationslos.



Trotz allem war die Patientin nach der Operation zu keiner Zeit beschwerdefrei. Schmerzfreies Gehen war nicht mehr möglich, an die Wiederaufnahme sportlicher Tätigkeiten gar nicht erst zu denken.
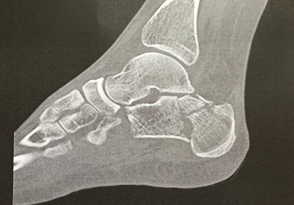
Da auf den Aufnahmen der Computertomografie (Abb. 4) bereits eine – durch die Fraktur bedingte – schwere Arthrose zwischen Sprung- und Fersenbein, welche gemeinsam das untere Sprunggelenk bilden, nachweisbar war, sahen wir eine alleinige Entfernung des Osteosynthesematerials als nicht erfolgsversprechend an und empfahlen der Patientin zusätzlich eine Versteifung dieses Gelenkes. Hierbei kommt es lediglich zu einer geringen Funktionseinbusse des Fusses und ist die einzige sinnvolle Option bei einer posttraumatischen Arthrose in diesem Bereich.

Nach einer kurzen Bedenkzeit willigte die Patientin ein, Abbildung 5 zeigt das postoperative Ergebnis. Die Nachbehandlung wurde unter Anlage einer Unterschenkel-Orthese durchgeführt, mit welcher für einen Zeitraum von 6 Wochen lediglich eine Teilbelastung an Unterarmgehstützen erlaubt war.

Unter physiotherapeutischer Anleitung erfolgte der schrittweise Belastungsaufbau, bereits 5 Monate nach dem Eingriff war die Patientin wieder uneingeschränkt im Alltag mobilisiert und zu 100% arbeitsfähig.
Als wir die Patientin das letzte Mal sahen, war ein Jahr nach der Versteifungsoperation vergangen. Sie konnte wieder schmerzfrei ihren Alltagsaktivitäten nachgehen und berichtete, dass sie nun «ein komplett neues Leben» habe.