Die Chondromatose des oberen Sprunggelenkes Ein Fallbeispiel aus der Fusschirurgie
Eine Patientin litt an Blockierungserscheinungen im Sprunggelenk. Grund dafür waren freie Gelenkskörper, verursacht durch eine Chondromatose. Mit zunehmendem Leidensdruck erfolgte der Entscheid für eine Operation. Erfahren Sie mehr im folgenden Fallbeispiel.
Die 46jährige Patientin stellte sich erstmals 2016 in unserer Sprechstunde vor, da sie nach längerem Knien Blockierungserscheinungen im rechten Sprunggelenk verspürte. Ein Trauma in der Vorgeschichte war nicht erinnerlich. Äusserlich war das Gelenk unauffällig, eine Schwellung nicht nachweisbar.
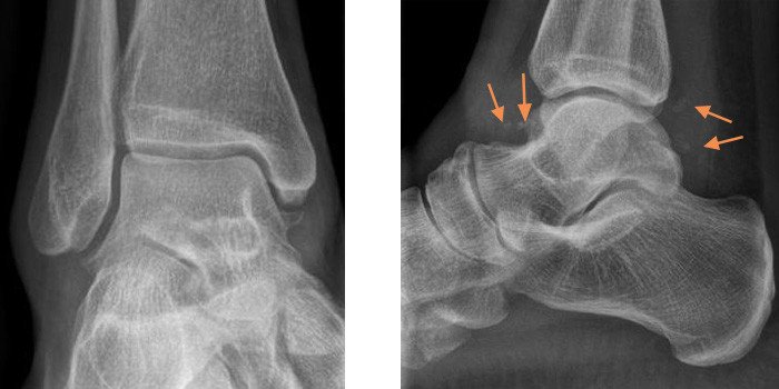
In der Bildgebung zeigte sich eine entzündliche Reaktion der Gelenkschleimhaut mit multiplen freien Gelenkkörpern (siehe Abb. 1 bis 3), die Diagnose einer Chondromatose wurde gestellt (Erkrankung, die zu freien Gelenkskörpern führen kann, vgl. Erklärung weiter unten). Da die Patientin im Alltag jedoch nur wenig eingeschränkt war, kam ein operativer Eingriff für sie nicht infrage.


Zunehmender Leidensdruck führt zu Entscheid für eine Operation
2020 suchte die Patientin erneut unsere Sprechstunde auf, da die Häufigkeit der Einklemmungsereignisse zunahm und mittlerweile auch eine persistierende Schwellung am Sprunggelenk vorhanden war. In den neu angefertigten Röntgenbildern (Abb. 4 und 5) zeigte sich eine deutliche Zunahme der - mittlerweile gut sichtbaren - freien Gelenkkörper, sodass wir bei gegebenem Leidensdruck die Indikation für eine arthroskopische Entfernung stellten.

Dieser Eingriff kann in Lokalanästhesie durchgeführt werden. Aufgrund der postoperativen Blutungsneigung findet eine Hospitalisation für eine Nacht statt. Im Anschluss erfolgt eine Mobilisation unter schmerzabhängiger Belastung des Fusses und Zuhilfenahme von Unterarmgehstützen sowie Physiotherapie zur Mobilisierung des oberen Sprunggelenkes.
Entfernung von 16 freien Gelenkkörpern
Intraoperativ konnten wir bei der Patientin insgesamt 16 freie Gelenkkörper (siehe Abb. 6 bis 9) entfernen. Ebenfalls entfernen wir die entzündete und vergrösserte Gelenkschleimhaut. Schon nach zwei Tagen verspürte die Patientin eine Erleichterung. Ein rascher Belastungsaufbau unter physiotherapeutischer Anleitung war möglich. Sechs Wochen nach dem Eingriff war die Patientin im Alltag wieder schmerzfrei und uneingeschränkt belastbar.


Abb. 9: Die im Rahmen der Operation entfernten Gelenkkörper
Die synoviale Chondromatose
Die primäre synoviale Chondromatose ist eine seltene Erkrankung der Gelenkinnenhaut (Synovia), welche zu einer krankhaften Ausbildung von Gelenkkörpern aus Knorpelgewebe führen kann. In der Folge kann es zu Schmerzen, Bewegungseinschränkungen wie auch Gelenkblockaden kommen. Am häufigsten betroffen sind das Knie- und Ellbogengelenk.
Die Ursache der synovialen Chondromatose ist noch nicht vollständig geklärt. Es kommt im Zuge der Erkrankung zu einer Umwandlung der Synovia-Zellen in knorpelproduzierende Zellen, welche im Verlauf als freie Gelenkkörper in das Gelenk abgegeben werden. Später können diese verkalken und entsprechend Einklemmungserscheinungen verursachen.
Im Spätstadium der Erkrankung lässt die Umwandlungsaktivität spontan nach, sie ist an sich also selbstlimitierend. Nicht selten ist jedoch eine Entfernung der freien Gelenkkörper notwendig, da diese mechanisch beeinträchtigen und auch zu einer Schädigung des Knorpels führen können. In der Regel kann dieser Eingriff arthroskopisch, also minimal-invasiv, erfolgen. Je nach Lokalisation kann jedoch auch eine Eröffnung des Gelenkes notwendig sein. Auch sollte im Frühstadium der Erkrankung zusätzlich eine Entfernung der Synovia erfolgen, um weiteren Neubildungen der Gelenkkörper vorzubeugen.