Die 12-jährige Mara aus Angola litt an einer starken Fehlstellung beider Kniegelenke. Sie konnte sich zwar trotz ihrer Behinderung fortbewegen, jedoch hätten ihre Beine die Fehlbelastung nicht mehr lange toleriert. Mara hätte ihre Gehfähigkeit verloren und wäre auf einen Rollstuhl angewiesen gewesen. Dank mehreren Operationen kann sich Mara heute wieder schmerzfrei und ohne grössere Einschränkungen bewegen. Möglich gemacht wurden die Operationen durch die Unterstützung des Patientenhilfsfonds der Wilhelm Schulthess-Stiftung.
Im November 2021 verliess Mara ohne Eltern, aber in Begleitung von Mitarbeitern des Friedensdorfes International, ihre Heimat Angola, um zuerst in Oberhausen und danach an der Schulthess Klinik ein temporäres Zuhause zu finden. Das Mädchen ging in ihrer afrikanischen Heimat in die 5. Klasse der lokalen Schule und bewältigte den täglichen Schulweg (trotz der ausgeprägten Fehlstellung beider Beine) zu Fuss.
Mara litt unter einer Instabilität der Kniegelenke und hatte dadurch eine stark auffällige Deformität im Bereich beider Knie. Gemäss ihren Eltern kam das Mädchen schon mit dieser Fehlstellung auf die Welt. Obwohl sie ihren Alltag einigermassen meistern konnte, bekam sie nach längeren Strecken Schmerzen in den Gelenken der unteren Extremitäten und wäre zweifelsohne in einigen Jahren gehunfähig geworden. Was dies für Maras Zukunft bedeutet hätte, ist nicht auszumalen.
«Die Instabilität der Kniegelenke
führte zu schweren knöchernen Deformitäten.»
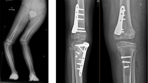
Aufgrund des Befundes hatten die Ärzte an der Schulthess Klinik den Verdacht auf eine schwerwiegende Bindegewebserkrankung mit der Folge beidseitig, vollständig luxierter Kniescheiben und durch die Instabilität bedingter schwerer, knöcherner Deformitäten. Im Endeffekt bestanden vor den Operationen funktionsuntüchtige Kniegelenke mit fehlverlaufenden Muskelzügen, knöchernen Fehlstellungen und Torsionsproblemen.

Rechts: Röntgenbild nach der Operation.
Im März 2022 fand die erste von insgesamt vier Operationen statt, bei der eine aufwändige Neupositionierung der Kniescheibe und insgesamt drei Umstellungsosteotomien am rechten Bein vom kinderorthopädischen Team um Dr. Hannes Manner durchgeführt wurden. Da sich die Operation auf der rechten Seite als komplexer als erwartet herausstellte und 4.5 Stunden dauerte, konnte anfänglich nur das eine Bein korrigiert werden. Einige Monate später wurde Mara erneut in der Schulthess Klinik aufgenommen und die Operation auf der linken Seite wurde ebenfalls erfolgreich durchgeführt. Sie war jeweils nur eine Woche bei uns, damit sie sich nicht zu sehr von ihrer «neuen Heimat», dem Friedensdorf in Dinslaken entfremdet. Das Mädchen hat die gesamte Situation bravourös gemeistert.
«Die Mitarbeiterinnen und Mitarbeiter
erlebten Mara als fröhliches, ruhiges Mädchen.»
Mara war bis Februar 2023 noch zweimal stationäre Patientin bei uns. Bei den letzten zwei Eingriffen ging es darum, die Platten von ihren Knochen zu entfernen und die Auswirkungen der Behandlung zu überprüfen.

Nach den vielen Eingriffen erholte sich das junge Mädchen gut und wurde beim Aufbautraining intensiv durch unsere Physiotherapieteam unterstützt. Eine Betreuerin des Patientenbegleitdienstes und viele Mitarbeiterinnen und Mitarbeiter besuchten Mara regelmässig und erlebten sie als fröhliche, ruhige Patientin. Während den langen Spitalaufenthalten knüpfte sie besonders gerne Armbändern für sich und ihre Freundinnen zuhause.
Auch wenn eine gewisse, nicht behandelbare Schwäche der Bänder (des schwerer betroffenen rechten Beines) bestehen bleibt, hat Mara heute von aussen betrachtet normale Beine und kann sich dank der Hilfe des Patientenhilfsfonds der Wilhelm Schulthess-Stiftung wieder schneller, funktionell besser und vor allem schmerzfrei bewegen.
Die 12-jährige flog Ende April 2023 mit einer Gruppe von 15 Kindern in ihre Heimat zurück, wo sie nun eine sehr viel bessere Zukunftsperspektive erwartet.

Mitte: Ein Dankeschön von Mara an das Team der Schulthess Klinik.
Rechts: Mara mit Dr. Hannes Manner, der sie operiert hat.