Farrukh aus Usbekistan leidet seit Geburt an einer komplexen Fehlbildung des rechten Beines, die ihn im Alltag sehr einschränkt. Herumtollen und Sport bleiben dem Jungen verwehrt. Dank der Zusammenarbeit des Friedensdorfs International und der Schulthess Klinik konnte Farrukh mit einer Operation geholfen werden. Die Behandlungskosten in der Schulthess Klinik übernahm der Patientenhilfsfonds der Wilhelm Schulthess-Stiftung.
Der inzwischen 10-jährige Farrukh stammt aus Denov, im äussersten Südosten Usbekistans in der Nähe der tadschikischen Grenze. Dort lebt er mit seinen Eltern und seiner 8-jährigen Schwester. Er besucht die 3. Klasse.
Seit Geburt hat er ein verkürztes rechtes Bein. In seiner Heimat erhielt er keine orthopädischen Hilfsmittel wie eine Schuherhöhung oder Krücken. Zur Schule gehen ging zwar, aber mit seinen gleichaltrigen Freunden zu spielen oder Sport zu treiben, war praktisch unmöglich. Die Fehlbelastung verursachte zudem Schmerzen in der Hüfte.
Die finanzielle und auch die Wohnsituation der Familie ist schlecht. Die medizinische Infrastruktur in der Gegend ist für ihn auch nicht gegeben. Folglich waren und sind die Möglichkeiten, ein verkürztes Bein zu behandeln, in seiner Heimat nicht vorhanden. Zwar fand 2017 eine erste Operation zur Streckung des Beines in Usbekistan statt. Diese brachte aber nicht gewünschten Erfolg. Vielmehr kam es anschliessend zu einer sehr starken zusätzlichen, fast 80-°-igen Deformierung des Oberschenkelknochens neben der sowieso bereits vorbestehenden Längendifferenz von 15 cm. Und schliesslich waren auch die finanziellen Mittel der Eltern am Ende, um eine weitere Behandlung zu ermöglichen.
Behandlung dank Kooperation der Schulthess Klinik mit dem Friedensdorf International
Dank der Einzelfallhilfe des Friedensdorfs International kam Farrukh aber doch noch zu einer Behandlung. Friedensdorf International holt Kinder aus Kriegs- und Krisengebieten nach einer medizinischen Abklärung vor Ort nach Deutschland und vermittelt diese zur Behandlung an spezialisierte Kliniken. Die Rehabilitation findet nach dem Klinikaufenthalt wieder im Friedensdorf statt.
Als einzige Klinik in der Schweiz pflegt die Schulthess Klinik eine Kooperation mit dem Friedensdorf. So nimmt sie jährlich zwei bis vier Kinder und Jugendliche zur Behandlung bei sich auf. Die gesamten Behandlungskosten in der Klinik finanziert der Patientenhilfsfonds der Wilhelm Schulthess Stiftung. Transport, Vor- und Nachbetreuung übernimmt das Friedensdorf. Erfahren Sie mehr über die Kooperation der Schulthess Klinik mit dem Friedensdorf International.
So kam Farrukh im Mai 2021 erst nach Deutschland, wo er bei den Kindern in der Heimeinrichtung schnell sehr beliebt war. Farrukh ist sehr tierlieb und spielt am liebsten mit Autos. Dank Schuherhöhung und Gehhilfen war er bald schon halbwegs flott unterwegs und integrierte sich gut in die Kindergruppe.
Spezialisierte Operation für die Beinverlängerung in der Schulthess Klinik
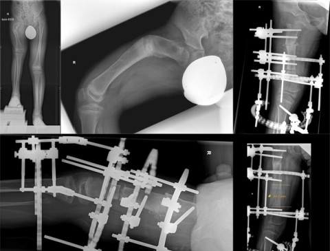
Im September ging die Reise dann weiter in die Schweiz zur Schulthess Klinik. In einer 4-stündigen Operation befestigten unsere Spezialisten der Kinder- und Jugendorthopädie von aussen einen Ilizarov-Ringfixateur am Oberschenkelknochen. «Wir konnten dank hervorragender Teamarbeit schon während der Operation die schwere Fehlstellung korrigieren. Es war nicht ganz einfach, einen so kurzen Knochen an zwei Stellen zu trennen, die Fehlstellung zu korrigieren und das Ganze in den Ringfixateur zu integrieren», erklärt Dr. med. univ. Hannes Manner die Herausforderungen der Operation. «Zeitgleich bereiteten wir die anschliessende Verlängerung des Oberschenkelknochens vor.»


Fast zwei Wochen blieb Farrukh total in der Schulthess Klinik, fern von seiner Familie und auch fern von den neuen Freunden im Friedensdorf. Sicher nicht einfach für einen so jungen Menschen, dazu noch in einem fremden Land.
Der Aufenthalt von Farrukh in unserer Klinik war sehr bewegend und geprägt vom Interesse an seinem Wohl und der intensiven Fürsorge. Fast täglich besuchte ihn eine pensionierte Mitarbeiterin der Schulthess Klinik, machte mit ihm Spaziergänge und war eine Bezugsperson für ihn. Schon nach wenigen Tagen war er zudem selbständig im Rollstuhl unterwegs und lernte, sich immer besser auf Deutsch zu verständigen – und schon bald kannte ihn fast jeder Mitarbeitende der Klinik.

Nachbehandlung im Friedensdorf
Zurück im Friedensdorf sorgte das dortige medizinische Fachpersonal für die weitere Betreuung. Dazu gehörte auch, regelmässig mittels Justierung des Fixateurs die Beinverlängerung Millimeter um Millimeter voranzutreiben und die Eintrittsstellen zu reinigen und zu pflegen. So konnte in den anschliessenden drei Monaten der Knochen um ganze 8 cm verlängert werden. Eine begleitende Physiotherapie sorgte zudem für die richtige Bewegung und den Aufbau der Muskeln. Dort veranlasste Röntgenbilder hielten unsere Kinderorthopädie über die Beinverlängerung und den Heilungsverlauf auf dem Laufenden.
Bald wieder in die Heimat
Im März ging die Reise abermals zu uns in die Schweiz. In einer ambulanten Operation entfernten wir den Fixateur und stabilisierten das Bein in einem Gips.
Zu diesem Zeitpunkt war auch Mara, ein 12-jähriges Mädchen aus Angola, bei uns und hatte bereits ihre grosse Operation hinter sich. Bei ihr bestand eine schwere Fehlstellung der Beine, die wir ebenfalls dank der Unterstützung aus dem Hilfsfonds der Wilhelm Schulthess-Stiftung operativ korrigieren konnten. Eine zweite Operation wird bei ihr noch folgen. Gemeinsam entliessen wir die beiden am 31. März wieder in das Friedensdorf.
Von dort aus wird bald ein durch das Friedensdorf organisierter Flug Farrukh zurück in seine Heimat und zu seiner Familie bringen. Dort kann er nach langer Zeit wieder seine Familie in die Arme schliessen. Und: ein Leben mit neu gewonnener Bewegungsfreiheit und Lebensqualität führen.
